|
التعامل مع هذا النوع من السرطانات؟ إليك أهم المعلومات حول سرطان الحلق.
هذه بعض التفاصيل والمعلومات الهامة بخصوص أعراض سرطان الحلق وبعض المعلومات الهامة الأخرى التابعة له:
أعراض سرطان الحلق
قد تكون أعراض هذا النوع من السرطان صعبة التمييز في المراحل الأولى من المرض بينما تكون أكثر وضوحًا في المراحل المتأخرة، ولكن هذه هي قائمة أهم أعراض سرطان الحلق التي قد تظهر على البعض بشكل عام:
1. الأعراض الأولية لسرطان الحلق
غالبًا ما تشبه أعراض سرطان الحلق في المرحلة الأولية من المرض أعراض مرض الزكام أو نزلة البرد العادية، وهذه بعضها:
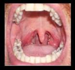
التهاب في الحلق يستمر لفترة تتجاوز الأسبوعين.
تغيرات واضحة في الصوت.
مشكلات وصعوبات في البلع.
خسارة الوزن دون سبب واضح لذلك.
تورم أو كتل واضحة في منطقة الرقبة.
2. الأعراض المتأخرة لسرطان الحلق
غالبًا ما تبدأ أعراض سرطان الحلق في المراحل المتأخرة من المرض، وبالإضافة للأعراض المذكورة آنفًا تظهر كذلك الأعراض الآتية:
كحة مستمرة لا تتوقف.
تقرحات وبقع بيضاء في الفم والحلق.
صداع وآلام في الرأس.
ألم في الفكين أو في الأذن.
مشكلات وصعوبات في التنفس.
نزيف في الأنف أو الفم دون سبب واضح.
تورم في منطقة العيون أو في الفم والحلق.
3. الأعراض الأخرى لسرطان الحلق
هناك أعراض أخرى قد تظهر على المصاب بسرطان الحلق، مثل: كحة مصحوبة بدماء، وصعوبة تحريك اللسان أو فتح الفم.
My Player placeholder
أسباب سرطان الحلق
لا سبب واضح لهذا النوع من السرطان مثله مثل الكثير من أنواع مرض السرطان الأخرى، إلا أن هناك مجموعة من العوامل التي قد ترفع من فرص الإصابة بالمرض، مثل:
تدخين التبغ بأنواعه.
الإفراط في تناول الكحوليات.
اتباع حمية غذائية فقيرة بالعناصر الغذائية الهامة.
التعرض المستمر لمسحوق الفحم.
مشكلات في صحة الفم والأسنان وإهمال نظافة الفم.
الوراثة والإصابة بأمراض جينية معينة.
الإصابة بفيروس الورم الحليمي البشري.
كما أن فرص الإصابة ترتفع بشكل خاص عند الذكور الآسيويين والذين قد تجاوزوا عمر 65 عامًا.
تشخيص سرطان الحلق
عادة ما يتم تشخيص هذا النوع من السرطانات بعد إخضاع المريض لسلسلة من الفحوصات التي قد تشمل ما يأتي:
الخزعة.
الأشعة فوق الصوتية.
الأشعة السينية.
الفحص الجسدي.
فحوصات الدم.
الفحص المقطعي.
الفحص بالرنين المغناطيسي.
علاج سرطان الحلق
إذا ما ظهرت أعراض سرطان الحلق باكرًا وتم تشخيص المرض في مراحله المبكرة، فمن الممكن احتوائه والسيطرة عليه مثله مثل أنواع السرطان الأخرى، وهذه بعض العلاجات المتاحة والتي يتم الاختيار من بينها تبعًا لحالة المريض ومرحلة المرض:
1. الجراحة
حيث يتم إزالة الورم واستئصاله تمامًا إذا كان ذلك ممكنًا، ما قيد يعني استئصال أجزاء من البلعوم والحلق والحنجرة في بعض الحالات.
2. العلاج الكيميائي
في حال كان سرطان الحلق قد انتشر وبدأ بالخروج عن السيطرة يتم استخدام هذا النوع من العلاج، وأحيانًا يتم استخدامه مدمجًا مع علاجات أخرى من هذه القائمة.
3. العلاج بالأشعة
قد يتم إخضاع المريض لعملية جراحية لاستئصال الأورام؛ ومن ثم يتم اتباع العملية بالعلاج بالأشعة، وفي أحيان أخرى قد يكون هذا العلاج هو الخيار الرئيس.
أنواع سرطان الحلق
يطلق مصطلح سرطان الحلق عادة على مجموعة من السرطانات التي قد تصيب منطقة الحلق، أو الحنجرة، أو الحبال الصوتية، أو اللوزتين، أو البلعوم، ولسرطان البلعوم نوعان رئيسان، وهما:
سرطان الخلايا القاعدية: ويؤثر عادة على الخلايا المسطحة المبطنة للحلق، وهو النوع الأكثر شيوعًا بين المصابين.
السرطان الغدي: هذا النوع من السرطانات يؤثر فقط على خلايا الغدد الموجودة في منطقة الحلق ولكنه نادر جدًا.
تبعًا للإحصائيات فإن سرطان الحلق هو من أنواع السرطانات غير الشائعة حول العالم.
<<
اغلاق
|
|
|
|
|
بحسب الحالة، دعونا نتعرف على أعراض أورام الغدة النخامية في هذا المقال.
إن معظم أورام الغدة النخامية (Pituitary tumors) هي أورام حميدة، مما يعني أنها ليست سرطانية ولا تنتشر إلى أجزاء أخرى من الجسم، فما هي أعراض أورام الغدة النخامية؟
أعراض أورام الغدة النخامية
ليست كل أورام الغدة النخامية تسبب أعراضًا، ولكن عندما يحدث ذلك فإنها يمكن أن تسبب العديد من الأعراض المختلفة كما الآتي:
أعراض أورام الغدة النخامية الوظيفية
إن أورام الغدة النخامية الوظيفية تعمل على زيادة إنتاج بعض الهرمونات بحسب نوعها، لذا تختلف أعراض أورام الغدة النخامية تبعًا لنوع الهرمون المصنع كما الآتي:
1. أعراض أورام الغدة النخامية المفرزة لهرمون النمو (Growth hormone)
إن هرمون النمو مسؤول عن طريقة نمو وكيفية استخدامه للسكر والدهون، وبالتالي فإن زيادة إفرازه قد تسبب العديد من المشكلات، ومنها الآتي:
نمو الأطفال بشكل أطول بكثير من المعتاد فيما يسمى بالعملقة.
نمو عظام الوجه واليد والقدم عند البالغين في حالة تسمى ضخامة الأطراف.
مشكلات قلبية.
ارتفاع نسبة السكر في الدم.
ألم في المفاصل.
زيادة التعرق.
2. أعراض أورام الغدة النخامية المفرزة للهرمون الموجِّه لقشر الكظرية
تؤدي المستويات المرتفعة من الهرمون الموجه لقشر الكظرية إلى زيادة إنتاج هرمون الكورتيزول من الغدد الكظرية، مما يسبب الإصابة بمتلازمة كوشينغ (Cushing’s syndrome) المرتبطة بالأعراض الآتية:
زيادة الوزن غير المبررة غالبًا في الوجه والصدر والبطن.
علامات تمدد أرجوانية على الصدر أو البطن.
زيادة نمو شعر الجسم.
حب الشباب.
تراكم الدهون في مؤخرة العنق.
مزاجية أو اكتئاب.
صداع.
تغييرات الرؤية.
كدمات.
ارتفاع السكر في الدم.
ضغط دم مرتفع.
ضعف العظام.
3. أعراض أورام الغدة النخامية المفرزة للهرمون المنشط للدرقية
عندما يفرز ورم الغدة النخامية الهرمون المنشط للدرقية بإفراط، فإن ذلك يزيد من إنتاج هرمون الغدة الدرقية، مما يسبب الإصابة بفرط نشاط الغدة الدرقية الذي يؤدي إلى تسريع عملية التمثيل الغذائي في الجسم، وبالتالي ظهور الأعراض الآتية:
تسارع نبضات القلب أو عدم انتظامها.
فقدان الوزن.
العصبية أو التهيج.
كثرة التبرز.
فرط التعرق.
4. أعراض أورام الغدة النخامية المفرزة للبرولاكتين (Prolactin)
قد يؤدي ارتفاع مستويات البرولاكتين إلى الأعراض الآتية عمومًا:
الأعراض عند النساء: يسبب تقليل فترات الحيض أو توقفها، كما يمكن أن يؤدي ارتفاع مستويات البرولاكتين أيضًا إلى إنتاج غير طبيعي لحليب الثدي.
الأعراض عند الرجال: يمكن أن تتسبب مستويات البرولاكتين المرتفعة في نمو الثدي وضعف الانتصاب.
الأعراض لدى كل من الرجال والنساء: تشمل فقدان الرغبة الجنسية، والعقم، وهشاشة العظام.
5. أعراض أورام الغدة النخامية لمفرزة لموجهات الغدد التناسلية (Gonadotropins)
هذه الأورام تصنع الهرمون الملوتن (LH) والهرمون المنبه للجريب (FSH)، ولكنها عادة ما تكون ليست عالية بما يكفي لإحداث أعراض.
ولكن في حالات نادرة، يمكن أن تسبب العقم وعدم انتظام الدورة الشهرية عند النساء.
أعراض أورام الغدة النخامية الكبيرة
يمكن أن تسبب أورام الغدة النخامية الكبيرة التي يزيد حجمها عن 1 سنتيمتر ضغطًا على المنطقة المحيطة بها، مما قد يسبب المشكلات الآتية:
1. أعراض أورام الغدة النخامية الناجمة عن الضغط على الأعصاب
إن الضغط على الأعصاب القريبة من الورم أو أجزاء من الدماغ يمكن أن يؤدي إلى أعراض، مثل:
ضعف في عضلات العين، بحيث لا تتحرك العينان بنفس الاتجاه في نفس الوقت.
عدم وضوح الرؤية أو ازدواجها.
فقدان الرؤية المحيطية.
العمى المفاجئ.
فقدان الوعي.
الصداع.
خدر أو ألم في الوجه.
دوخة.
2. أعراض أورام الغدة النخامية الناجمة عن الضغط على الغدة النخامية
إن هذه الأورام يمكن أن تضغط على الأجزاء الطبيعية من الغدة النخامية وتدمرها، مما يسبب نقص واحد أو أكثر من هرمونات الغدة النخامية، وتختلف الأعراض بحسب الهرمونات المتأثرة، ولكنها قد تشمل الآتي بشكل عام:
نمو الثدي وقلة شعر الوجه وصعوبة الانتصاب عند الرجال.
قلة فترات الحيض أو عدم وجود حليب للثدي عند النساء.
الشعور بالبرد.
تأخر النمو والتطور الجنسي للأطفال.
انخفاض الدافع الجنسي.
التقيؤ.
اضطراب المعدة.
تغيرات الوزن.
طرق تشخيص الأورام النخامية
ينظر الطبيب في الأعراض والتاريخ الطبي للمريض ويُجري فحصًا بدنيًا، كما قد يقوم بعمل الفحوصات الآتية:
فحوصات العين لمعرفة ما إذا كان الورم يؤثر على الرؤية.
فحص عصبي لاختبار كيفية عمل الدماغ والحبل الشوكي والأعصاب.
اختبارات الدم والبول للتحقق من مستويات الهرمونات.
التصوير المقطعي أو التصوير بالرنين المغناطيسي بحثًا عن أي ورم محتمل.
متى يجب أن تزور الطبيب؟
قم باستشارة الطبيب في الحالات الآتية:
ظهور أي من علامات وأعراض أورام الغدة النخامية، إذ يمكن علاج أورام الغدة النخامية غالبًا لإعادة مستوى الهرمونات إلى حالتها الطبيعية وتخفيف الأعراض.
إذا كان هناك حالات إصابة بالورم الصماوي المتعدد من النوع 1 (Multiple endocrine neoplasia type 1) في العائلة، حيث يجب استشارة الطبيب بشأن الفحوصات الدورية التي يمكن أن تساهم في اكتشاف ورم الغدة النخامية مبكرًا.
<<
اغلاق
|
|
|
|
|
الآتية:
التهاب الجيوب الأنفية المزمن غير المستجيب للعلاج الدوائي.
عدم نجاح العمليات الجراحية بأسلوب التنظير.
حدوث مضاعفات بسبب التهاب الجيوب الأنفية.
مضاعفات إجراء جراحة الجيوب الأنفية
تتضمن مضاعفات جراحة التهاب الجيوب الأنفية عدة أمور، مثل ما يأتي:
النزيف الحاد.
تسرّب السوائل التي تحيط بالدماغ والنخاع الشوكي.
التهاب السحايا.
الإصابة بالعمى.
ما قبل إجراء الجراحة
يجب على المريض إخبار الطبيب بجميع الأدوية التي يتناولها قبل إجراء الجراحة.
أثناء إجراء الجراحة
يتم خلال جراحة الجيوب الأنفية إجراء فتحة تصل لداخل الجيوب الأنفية عن طريق تجويف الفم أو عن طريق جلد الوجه، ويعتمد ذلك على مكان الجيوب الملتهبة واختيار الطبيب، يتم بعدها إزالة الأنسجة التي تمنع تنقية الجيوب الأنفية.
من المهم معرفة أن جراحة الجيوب الأنفية باستخدام المنظار تعد من أكثر طرق علاج التهاب الجيوب الأنفية المزمنة انتشارًا، إلا أن إجراء العملية الجراحية التقليدية ما زال يعد الخيار الأفضل في بعض الحالات.
يعتمد اختيار نوع جراحة التهاب الجيوب الأنفية على عدة اعتبارات، أهمها هو: موقع الالتهاب في الجيوب الأنفية، وشدة الإصابة فيه.
مرحلة ما بعد الجراحة
يبقى الأنف بعد جراحة التهاب الجيوب الأنفية ملفوفًا بالضمادات من أجل امتصاص الدم والسوائل الأخرى، كما يجب على المريض اتباع بعض التعليمات مثل ما يأتي:
تغيير الضمادة عدة مرات في اليوم.
استخدام المحاليل الملحية من أجل الحفاظ على رطوبة المنطقة.
تجنب ممارسة أية نشاط بدني قد يؤذي المنطقة، مثل الانحناء.
<<
اغلاق
|
|
|
|
|
التهاب العصب السمعي وكيفية علاجه من هنا.
يعد التهاب العصب السمعي المعروف أيضًا بالتهاب العصب الدهليزي، اضطرابًا يصيب عصب الأذن الداخلية، فعندما يلتهب هذا العصب فإنه يعطل الطريقة المعتادة التي يفسر بها الدماغ المعلومات، سنتعرف في ما يأتي على أبرز أعراض التهاب العصب السمعي:
التي عادةً ما تتمثل في كل من الاتي:
1. أعراض التهاب العصب السمعي عامةً
تختلف أعراض التهاب العصب السمعي في حدتها من شخص لاخر، ولكن قد يشعر المصاب في الغالب بمجموعة من الأعراض، سنذكر الان بعض من أهم أعراض التهاب العصب السمعي هذه فيما يأتي:
فقدان السمع الخفيف إلى الشديد.
تذبذب في الصوت، وكأنه يأتي ثم يتلاشى.
صعوبة فهم الكلمات المنطوقة.
سمع طبيعي، ولكن إدراك ضعيف للكلام.
عدم القدرة على فهم الكلام في الأماكن الصاخبة.
2. أعراض التهاب العصب السمعي وفقًا لمرحلة المرض
قد يعاني مريض التهاب العصب السمعي من أعراض حادة أو من أعراض خفيفة ويعود السبب في ذلك إلى اختلاف مراحل المرض، إليك أبرز أعراض التهاب العصب السمعي وفقًا لمرحلة الإصابة به:
أعراض المرحلة الحادة
عادةً ما تظهر الأعراض في هذه المرحلة بشكل مفاجئ، إذ يصاب المريض بدوار شديد مفاجئ أثناء ممارسته الأنشطة اليومية الروتينية، وقد يصاب اخرون في الدوار فور الاستيقاظ صباحًا، وقد يكون التعرض المفاجئ لمثل هذه الأعراض مخيفًا للمصاب، الأمر الذي يجعلهم يذهبون إلى غرفة الطوارئ أو يزورون طبيبهم في نفس اليوم.
أعراض المرحلة المزمنة
بعد فترة من التعافي التدريجي من التهاب العصب السمعي الذي قد يستمر لعدة أسابيع، قد لا يشعر بعض المرضى بوجود أي عرض في حين قد يعاني البعض الاخر من الدوخة المزمنة خاصةً إذا كان الفيروس قد أضر في العصب الدهليزي.
يعاني العديد من المصابين بالتهاب الأعصاب عمومًا أو التهاب العصب السمعي من صعوبة في وصف أعراضهم، وغالبًا ما يشعرون بالإحباط؛ لأنهم يلاحظون أنهم غير قادرين على ممارسة أنشطتهم اليومية بشكل صحيح، فهو يسبب لهم الإرهاق، وعدم القدرة على التوازن.
علاج التهاب العصب السمعي
قد يختفي التهاب العصب الدهليزي من تلقاء نفسه عند معظم المصابين، وقد يستغرق الأمر عادةً أسابيع عدة، ويعالج بالطرق الاتية:
المضادات الحيوية: قد يصف الطبيب المضادات الحيوية إذا كان سبب الالتهاب عدوى بكتيرية، ولكن معظم الحالات ناتجة عن عدوى فيروسية ولا يمكن علاجها بالمضادات الحيوية.
أدوية السترويد: قد يصف طبيبك أيضًا أدوية الستيرويد التي قد تساعد في تخفيف شدة الأعراض.
أدوية أخرى: قد يزودك بأدوية أخرى، مثل: مضادات القيء، ومضادات الهيستامين، والمهدئات للمساعدة في السيطرة على الغثيان والقيء الناجمين عن الدوار.
العلاج المنزلي: قد يساعدك البقاء النشط في العلاج، بالإضافة إلى إجراء بعض تمارين التوازن البسيطة في المنزل، ولكن استشر الطبيب حول الطريقة الامنة لإجراء تمارين التوازن.
<<
اغلاق
|
|
|
|
|
مكافحة الجراثيم في الجسم.
ويشمل الجهاز اللمفاوي العقد اللمفاوية (الغدد اللمفاوية) والطحال والغدة الزعترية ونخاع العظم. قد تؤثر اللمفومة على تلك الأجزاء جميعها وكذلك الأجهزة الأخرى في جميع أنحاء الجسم.
يوجد العديد من أنواع اللمفومة. وتتضمن الأنواع الفرعية الرئيسية:
لمفومة هودجكين (المعروف سابقًا باسم مرض هودجكين)
اللمفومة اللاهودجكينية
يعتمد اختيار أنسب علاج لك للمفومة على نوع اللمفومة وشدتها. قد يشمل علاج سرطان الغدد اللمفاوية العلاج الكيميائي أو أدوية العلاج المناعي أو العلاج الإشعاعي أو زرع نخاع العظام أو مزيج منها.
الأنواع
اللمفومة اللاهودجكيِنية
سرطان الدَّم اللمفاوي المُزمِن
لمفومة الخلايا البائية الجلدية
لمفومة الخلايا التائية الجلدية
لمفومة هودغكين (مرض هودغكين)
وجود الغلوبيولين الكبروي في الدم المنسوب لفالدنشتروم
الأعراض
من الممكن أن تتضمن مؤشرات سرطان الغدد اللمفية وأعراضه ما يلي:
تورُّمًا غير مؤلم في العُقَد اللمفية في العنق أو الإبطين أو المنطقة الأربية
إرهاقًا مستمرًّا
الحُمَّى
التعرُّق الليلي
ضيق النفَس
فُقدان الوَزن غير المُفسَّر
حكَّة في الجلد
متى تزور الطبيب؟
حدِّد موعدًا مع الطبيب، إذا كان لديكَ أي علامات أو أعراض مستمرة تُثير قلقكَ.
الأسباب
لم يتأكد الأطباء من مسبِّبات اللمفومة. لكنها تبدأ عندما تُطور خلية دم بيضاء مكافِحة للأمراض، تُسمَّى الخلايا اللمفاوية، طفرة وراثية. تعمل الطفرة على إجبار الخلية على التكاثر سريعًا؛ مما يؤدي إلى استمرار تكاثر العديد من الخلايا اللمفاوية المصابة بالمرض.
كما تسمح الطفرة للخلايا بأن تعيش عندما تموت خلايا طبيعية أخرى. هذا يسبِّب نشأة الكثير من الخلايا اللمفاوية المريضة وغير الفعالة في العقد اللمفية، ويؤدي إلى تضخُّم العُقَد اللمفية، والطحال، والكبد.
عوامل الخطر
تتضمن العوامل التي قد تزيد من خطر سرطان الغدد الليمفاوية ما يلي:
سِنَّك. تشيع أنواع معينة من سرطان الغدد الليمفاوية أكثر بين اليافعين، في حين تُشخَّص أنواع أخرى بين ممَّن يبلغون أكثر من 55 عامًا.
كونك ذكرًا. الرجال أكثر عرضةً للإصابة بسرطان الغدد الليمفاوية من الإناث.
ضعف الجهاز المناعي. تشيع الإصابة بسرطان الغدد الليمفاوية لدى الأشخاص الذين يَشْكون من أمراضٍ بالجهاز المناعي، أو الذين يتناولون الأدوية المثبطة للجهاز المناعي.
الإصابة ببعض أنواع العدوى. ترتبط بعض أنواع العدوى بزيادة خطر الإصابة بسرطان الغدد الليمفاوية، ويشمل ذلك عدوى فيروس إيبِشتاين-بار وعدوى الملوِية البوابية.
<<
اغلاق
|
|
|
|
|
العصب الدهليزي، اضطرابًا يصيب عصب الأذن الداخلية، الذي يسمى بالعصب الدهليزي القوقعي، الذي تتمثل وظيفته في إرسال معلومات التوازن من الأذن الداخلية إلى الدماغ، لكن عندما يلتهب هذا العصب فإنه يعطل الطريقة المعتادة التي يفسر بها الدماغ المعلومات.
يمكن أن يحدث التهاب العصب السمعي عند الأشخاص في جميع الفئات العمرية، لكن نادرًا ما يصاب به الأطفال.
أعراض التهاب العصب السمعي
تختلف أعراض التهاب العصب السمعي في حدتها من شخص لاخر، لكن قد يشعر المصاب في الغالب بهذه الأعراض التي تتمثل في ما يأتي:
فقدان السمع الخفيف إلى الشديد.
تذبذب في الصوت، وكأنه يأتي ثم يتلاشى.
صعوبة فهم الكلمات المنطوقة.
سمع طبيعي، لكن إدراك ضعيف للكلام.
عدم القدرة على فهم الكلام في الأماكن الصاخبة.
أعراض التهاب العصب السمعي وفقًا لمرحلة المرض
قد يعاني مريض التهاب العصب السمعي من أعراض حادة، واخر من أعراض خفيفة، يعود السبب في ذلك إلى اختلاف مراحل المرض، إليك أبرز أعراض التهاب العصب السمعي وفقًا لمرحلة الإصابة به:
أعراض المرحلة الحادة
عادةً ما تظهر الأعراض في هذه المرحلة بشكل مفاجئ، إذ يصاب المريض بدوار شديد مفاجئ أثناء ممارسته الأنشطة اليومية الروتينية.
قد يصاب اخرون في الدوار فور الاستيقاظ صباحًا، قد يكون التعرض المفاجئ لمثل هذه الأعراض مخيفًا للمصاب، الأمر الذي يجعلهم يذهبون إلى غرفة الطوارئ، أو يزورون طبيبهم في نفس اليوم.
أعراض المرحلة المزمنة
بعد فترة من التعافي التدريجي من التهاب العصب السمعي الذي قد يستمر لعدة أسابيع، قد لا يشعر بعض المرضى بوجود أي عرض، في حين قد يعاني البعض الاخر من الدوخة المزمنة، خاصةً إذا كان الفيروس قد أضر في العصب الدهليزي.
يعاني العديد من المصابين بالتهاب الأعصاب عمومًا، أو التهاب العصب السمعي من صعوبة في وصف أعراضهم، وغالبًا ما يشعرون بالإحباط؛ لأنهم يلاحظون أنهم غير قادرين على ممارسة أنشطتهم اليومية بشكل صحيح، فهو يسبب لهم الإرهاق، وعدم القدرة على التوازن.
علاج التهاب العصب السمعي
قد يختفي التهاب العصب الدهليزي من تلقاء نفسه عند معظم المصابين، قد يستغرق الأمر عادةً أسابيع عدة، وتعالج بالطرق الاتية:
المضادات الحيوية: قد يصف الطبيب المضادات الحيوية، إذا كان سبب الالتهاب عدوى بكتيرية، لكن معظم الحالات ناتجة عن عدوى فيروسية ولا يمكن علاجها بالمضادات الحيوية.
أدوية السترويد: قد يصف طبيبك أيضًا أدوية الستيرويد التي قد تساعد في تخفيف شدة الأعراض.
أدوية أخرى: قد يزودك بأدوية أخرى، مثل: مضادات القيء، ومضادات الهيستامين، والمهدئات للمساعدة في السيطرة على الغثيان والقيء الناجمين عن الدوار.
العلاج المنزلي: قد يساعدك البقاء النشط في العلاج، وإجراء تمارين التوازن البسيطة في المنزل، استشر الطبيب حول الطريقة الامنة لإجراء تمارين التوازن.
<<
اغلاق
|
|
|
|
|
tongue أو الفم mouth أو الشفتين lips أو اللثة gums.
كما قد تُصيبُ الأورامُ الغددَ اللعابية salivary glands واللوزتين tonsils والبلعوم pharynx (وهو جزءٌ من الحلق throat يصل بين الفم والرغامى windpipe)، إلاَّ أنَّ هذه الحالات تكون أقلّ شيوعاً.
تشتمل أعراضُ سرطان الفم على ما يلي:
ظهور بقع حمراء أو بيضاء على بطانة الفم أو اللسان.
قرحات ulcers.
كتلة lump.
ينبغي مراجعةُ الطبيب إذا استمرَّت هذه الأعراضُ لأكثر من ثلاثة أسابيع، وخصوصاً إذا كان الشخصُ من المدخِّنين أو ممَّن يتناولون الكحول.
أنواع سرطان الفم
يُسمَّى السرطانُ الذي يحدث داخل أو خارج طبقات الجسم بالسرطانة carcinoma، وتُصنَّفُ هذه الأنواعُ من السرطان بحسب نوعٍ الخلايا الذي يبدأ فيها السرطان.
تُعدُّ سرطانةُ الخلايا الحرشفيَّة squamous cell carcinoma النوعَ الأكثر شيوعاً لسرطان الفم، حيث يُصاب بها حوالى 90% من إجمالي حالات سرطان الفم. توجد الخلايا الحرشفيَّة في عدَّة أماكن من الجسم، ومنها الجزءُ الداخلي من الفم وتحت الجلد.
تُعدُّ الأنواعُ التالية أنواعاً أقلّ شيوعاً من سرطان الفم:
· الورم الميلانيني الفموي الخبيث oral malignant melanoma، حيث يبدأ ظهورُ السرطان في خلايا تُسمَّى الخلايا الميلانينيَّة melanocytes، وهي الخلايا التي تُعطي لونَ الجلد.
· السرطانات الغُدَّيَّة adenocarcinomas؛ وهي السرطاناتُ التي تحدث داخل الغدد اللعابية salivary glands.
أسباب سرطان الفم
تظهر معظمُ حالات سرطان الفم عند حدوث تغيُّر في دورة الحياة الطبيعية للخلية، ممَّا يؤدي إلى نموِّها وتكاثرها دون سيطرة عليها.
تشتمل عواملُ خطر حدوث سرطان الفم على ما يلي:
التدخين أو استعمال المنتجات التي تحتوي على التبغ.
تناول الكحول، حيث يكون خطرُ إصابة المدخِّنين الذين يتناولون الكحولَ بسرطان الفم أكبرَ بكثير عندَ مقارنته بخطر إصابة بقية الأشخاص بشكلٍ عام.
الإصابة بعدوى فَيروس الوَرَمِ الحُلَيمِيّ البَشَرِيّ human papilloma virus (hpv)، وهو الفيروسُ الذي يتسبَّبُ بالإصابة بالثآليل التناسليَّة genital warts.
الأشخاص المعرَّضون للإصابة بسرطان الفم
يُعدُّ سرطانُ الفم من أنواع السرطانات غير الشائعة، حيث تُقدَّر نسبةُ الإصابة به بحوالى 2% من نسبة الإصابة بجميع السرطانات.
تبدأ معظمُ حالات سرطان الفم بالظهور للمرَّة الأولى عندَ كبار السنِّ الذين تتراوح أعمارهم بين 50-74 عاماً.
ولكن، يمكن أن يُصابَ الشبابُ بهذا السرطان، ويُعتقدُ أنَّ عدوى فيروس الورم الحليمي البشري قد تكون المسؤولةَ عن أغلب الحالات التي تُصيب الشباب.
تكون نسبةُ الإصابة بسرطان الفم أكبرَ عند الرجال، مقارنةً بنسبة إصابته للنساء، حيث يُعتقدُ إنَّ نسبةَ تناول الرجال للكحول أكثر من نسبة تناول النساء له.
معالجة سرطان الفم
توجد ثلاثةُ خياراتٍ علاجيَّة رئيسيَّة لسرطان الفم. وهي:
المعالجة الجراحيَّة surgery، حيث تُستأصلُ الخلايا السرطانيَّة جراحيَّاً، بالإضافة إلى بعض الأنسجة المحيطة بها في بعض الحالات.
المعالجة الكيميائية chemotherapy، حيث تُستَعملُ أدويةٌ شديدة الفعاليَّة للقضاء على الخلايا السرطانية.
المعالجة الشعاعية radiotherapy، حيث تُستَعملُ أشعةٌ سينيَّة ذات طاقة مرتفعة X-rays للقضاء على الخلايا السرطانية.
يجري استعمالُ جميع هذه المعالجات معاً غالباً؛ فمثلاً، قد ينطوي شوطُ المعالجة التالي للمعالجة الجراحيَّة على اللجوء إلى المعالجة الشعاعية والكيميائيَّة في آنٍ واحد، وذلك لمنع عودة السرطان.
مضاعفات سرطان الفم
قد تؤدِّي المعالجتان الجراحيَّة والإشعاعيَّة إلى إحداث صعوبة في البلع والكلام (عُسر البلع dysphagia).
ويعدُّ عُسرُ البلع مشكلةً قد تكون كبيرة، لأنَّ دخولَ أجزاء صغيرة من الطعام إلى المسالك الهوائية واستقرارها في الرئتين قد يتسبَّب بعدوى في الصدر، وتُسمَّى هذه الحالة بالالتهاب الرئوي الشفطي أو الاستنشاقي aspiration pneumonia.
التقليل من خطر الإصابة بسرطان الفم
توجد ثلاثُ طرق أثبتت فعَّاليةً واضحة في الوقاية من الإصابة بسرطان الفم، أو منع عودة الإصابة به بعد المعالجة الناجحة، وهي:
الامتناع عن التدخين.
الامتناع عن تناول الكحول.
اتباع "النظام الغذائي لدول البحر الأبيض المتوسط "Mediterranean-style diet، مع الكثير من الخضار الطازجة ( خصوصاً البندورة) والحمضيَّات وزيت الزيتون والسمك.
كما أنَّه من الضروري إجراءُ فحوصاتٍ دوريَّةٍ للأسنان، ذلك أنَّ التهابات الأسنان يمكن أن تكشفَ المراحلَ الأولى من سرطان الفم.
المآل
يمكن تحقيقُ الشفاء الكامل من سرطان الفم غالباً إذا شُخِّصَ مُبكِّراً، وذلك باستعمال توليفةٍ من المعالجة الشعاعية والكيميائية والجراحية.
يختلف مآلُ سرطان الفم باختلاف الجزء المصاب من الفم، ومدى انتشاره من الفم إلى الأنسجة المُحيطة به. ويكون مآلُ الإصابة أفضلَ بكثير إذا شُخِّصت مبكِّراً.
تُشير التقديراتُ إلى أنَّ 40% من الأشخاص المصابين بسرطان الفم والبلعوم يعيشون 5 سنواتٍ على الأقلّ بعدَ تشخيص الإصابة بشكلٍ عام، ويعيش الكثيرُ منهم أكثر من ذلك؛ إلاَّ أنَّ مآلَ السرطان يكون أفضل إذا كانت الإصابةُ في مناطق محدَّدة من الفم، كالشفتين أو اللسان أو جوف الفم.
<<
اغلاق
|
|
|
|
|
غير الشائِعة للسرطان نسبيَّاً، حيث يُوجَد أكثر من 30 منطقة في الرَّأس والعُنق يُمكن أن يُصيبها السَّرطان، وتنطوي على:
- الفم والشَّفتين.
- الحَنجرَة larynx.
- البلعوم pharynx.
- الغُدد اللعابيَّة salivary glands.
- الأنف والجُيوب sinuses.
- المنطقة خلف الأنف والفم (البلعُوم الأنفي أو الخيشُوم nasopharynx).
لا يُصنَّف سرطانُ المريء oesophageal cancer وسرطان الغدَّة الدَّرقيَّة thyroid cancer وأورام الدِّماغ وسرطان العين ضمن أنواع سرطان الرَّأس والعُنق.
سرطان الفم
يُعدُّ سرطانُ الفمّ من أكثر أنواع سرطان الرَّأس والعُنق شُيوعاً، حيث يُمكن أن يُصِيب عدداً من المناطق في الفم وحوله، مثل الشَّفتين واللسان وباطن الخدِّين وقاع أو سقف الفم واللثتين.
يُمكن أن تنطوي أعراضُ سرطان الفم على تقرُّحات مُستمرَّة وكُتلة في الفم، وقد تُسبِّب الألم في جميع الحالات.
سرطان الحنجرة laryngeal cancer
يُصِيبُ سرطانُ الحنجرة النسيجَ الحنجري، وتنطوي أعراضُه على التالي:
- تغيُّر في الصوت، مثل خشونة الصوت بشكلٍ مُستمرّ.
- صُعوبة أو ألم عند البع.
- تنفُّس مسمُوع.
- ضيق النَّفس shortness of breath.
- سُعال مُزمن.
- كُتلة أو تورُّم في العُنق.
سرطان الحلق throat cancer
ينطوي هذا النَّوعُ من السرطان على العديدِ من الأجزاء المُختلِفة التي يُمكن أن يُصِيبها، وتشتمل المناطقُ الرئيسيَّة على:
- البلعُوم الفموي (الحلقُوم oropharynx)، وهُو جزء من الحَلق يقع خلف الفم.
- البلعُوم السفليّ hypopharynx، وهُو جزء من الحَلق يصل البلعُوم الفمويّ بالمريء والرغامى windpipe.
- البلعُوم الأنفي (الخيشُوم nasophyrynx)، وهُو جزء من الحَلق يصِلُ بين القسم الخلفيّ من الأنف والقسم الخلفيّ من الفم.
تنطوي أكثرُ الأعراض شُيوعاً للسرطان في البلعُوم الفمويّ أو البلعُوم السفليّ على كُتلةٍ في العُنق والتِهاب مُتواصِل في الحلق persistent sore throat، وصُعوبة في البلع.
سرطان الغدد اللعابيَّة
تُنتِجُ الغُددُ اللعابيَّة اللعاب saliva الذي يُحافِظُ على رُطوبة الفم، ويُساعِد على البلع والهضم. هناك 3 أزواج رئيسيَّة من الغُدد اللعابية هي:
- الغُدتان النكفيَّتان parotid glands، وتقعان بين الخدَّين والأذنين.
- الغُدتان تحت اللسانيَّتين sublingual glands، وتقعان تحت اللسان.
- الغُدَّتان تحت الفكّ submandibular glands، وتقعان تحت كل جانِبٍ من عظام الفك.
يُصِيبُ سرطانُ الغدد اللعابيَّة الغدَّتين النكفيتين أكثر من غيرهما.
العرضُ الرئيسيّ لسرطان الغدد اللعابيَّة هُو كتلة أو تورُّم على الفك أو بالقرب منه، أو في الفم أو الرَّقبة، على الرغم من أنَّ مُعظمَ هذه الكُتل ليست سرطانيَّة؛ وتنطوي الأعراضُ الأخرى على شُعور بالخدَر numbness في جزء من الوجه وتدلِّي جانِب من الوجه.
سرطان الأنف والجُيوب
يُصِيب هذا السرطانُ التجوِيف الأنفيّ nasal cavity (فوق سقف الفم) والجُيوب (التجاويف الصغيرة المليئة بالهواء في داخِل عِظام الأنف وفي عِظام الخدِّين والجبهة).
تُشبِهُ أعراضُ سرطان الأنف والجُيوب الأعراض التي تظهر عند الإصابة بعدوى فيروسيَّة أو بكتيريَّة، مثل نزلات البرد الشائِعة أو التِهاب الجُيوب sinusitis، وتنطوي على:
- انسِداد مُزمن في الأنف، وهُو يُصيب جانباً واحِداً غالباً.
- نزف من الأنف.
- ضعف في حاسة الشمّ.
- خروج مُخاط من الأنف أو خلف الحلق.
سرطان الفم
يُعدُّ سرطانُ الفمّ من أكثر أنواع سرطان الرَّأس والعُنق شُيوعاً، حيث يُمكن أن يُصِيب عدداً من المناطق في الفم وحوله، مثل الشَّفتين واللسان وباطن الخدِّين وقاع أو سقف الفم واللثتين.
يُمكن أن تنطوي أعراضُ سرطان الفم على تقرُّحات مُستمرَّة وكُتلة في الفم، وقد تُسبِّب الألم في جميع الحالات.
سرطان الحنجرة LARYNGEAL CANCER
يُصِيبُ سرطانُ الحنجرة النسيجَ الحنجري، وتنطوي أعراضُه على التالي:
- تغيُّر في الصوت، مثل خشونة الصوت بشكلٍ مُستمرّ.
- صُعوبة أو ألم عند البع.
- تنفُّس مسمُوع.
- ضيق النَّفس shortness of breath.
- سُعال مُزمن.
- كُتلة أو تورُّم في العُنق.
سرطان الحلق THROAT CANCER
ينطوي هذا النَّوعُ من السرطان على العديدِ من الأجزاء المُختلِفة التي يُمكن أن يُصِيبها، وتشتمل المناطقُ الرئيسيَّة على:
- البلعُوم الفموي (الحلقُوم oropharynx)، وهُو جزء من الحَلق يقع خلف الفم.
- البلعُوم السفليّ hypopharynx، وهُو جزء من الحَلق يصل البلعُوم الفمويّ بالمريء والرغامى windpipe.
- البلعُوم الأنفي (الخيشُوم nasophyrynx)، وهُو جزء من الحَلق يصِلُ بين القسم الخلفيّ من الأنف والقسم الخلفيّ من الفم.
تنطوي أكثرُ الأعراض شُيوعاً للسرطان في البلعُوم الفمويّ أو البلعُوم السفليّ على كُتلةٍ في العُنق والتِهاب مُتواصِل في الحلق persistent sore throat، وصُعوبة في البلع.
سرطان الغدد اللعابيَّة
تُنتِجُ الغُددُ اللعابيَّة اللعاب saliva الذي يُحافِظُ على رُطوبة الفم، ويُساعِد على البلع والهضم. هناك 3 أزواج رئيسيَّة من الغُدد اللعابية هي:
- الغُدتان النكفيَّتان parotid glands، وتقعان بين الخدَّين والأذنين.
- الغُدتان تحت اللسانيَّتين sublingual glands، وتقعان تحت اللسان.
- الغُدَّتان تحت الفكّ submandibular glands، وتقعان تحت كل جانِبٍ من عظام الفك.
يُصِيبُ سرطانُ الغدد اللعابيَّة الغدَّتين النكفيتين أكثر من غيرهما.
العرضُ الرئيسيّ لسرطان الغدد اللعابيَّة هُو كتلة أو تورُّم على الفك أو بالقرب منه، أو في الفم أو الرَّقبة، على الرغم من أنَّ مُعظمَ هذه الكُتل ليست سرطانيَّة؛ وتنطوي الأعراضُ الأخرى على شُعور بالخدَر numbness في جزء من الوجه وتدلِّي جانِب من الوجه.
سرطان الأنف والجُيوب
يُصِيب هذا السرطانُ التجوِيف الأنفيّ nasal cavity (فوق سقف الفم) والجُيوب (التجاويف الصغيرة المليئة بالهواء في داخِل عِظام الأنف وفي عِظام الخدِّين والجبهة).
تُشبِهُ أعراضُ سرطان الأنف والجُيوب الأعراض التي تظهر عند الإصابة بعدوى فيروسيَّة أو بكتيريَّة، مثل نزلات البرد الشائِعة أو التِهاب الجُيوب sinusitis، وتنطوي على:
- انسِداد مُزمن في الأنف، وهُو يُصيب جانباً واحِداً غالباً.
- نزف من الأنف.
- ضعف في حاسة الشمّ.
- خروج مُخاط من الأنف أو خلف الحلق.
السرطان البلعُوميّ الأنفيّ NASOPHARYNGEAL CANCER
يُصِيب هذا السرطانُ الجزء من الحلق الذي يصِلُ القسم الخلفيّ من الأنف بالقسم الخلفيّ من الفم، وهُو من أندر أنواع سرطان الرَّأس والعُنق، وتنطوي أعراضُه على:
- كُتلة في العُنق بسبب انتشار السرطان إلى العُقَد اللمفيَّة lymph nodes (كُتل من النسيج بحجم حبة الفاصولياء تُشكِّلُ جزءاً من جِهاز المناعة) في العُنق.
- انسداد الأنف.
- نزف من الأنف.
- ضعف السَّمع (في أذنٍ واحِدةٍ عادةً).
<<
اغلاق
|
|
|
|
|
هي جزءٌ من الحلق، تُوجَد عند مدخل الرُّغامى trachea. وللحنجرة ثلاثُ وظائفَ رئيسيَّة:
تمرير الأكسجين إلى الرُّغامى في أثناء عمليَّة التنفُّس.
العمل كصمَّام، وذلك بإغلاق الرُّغامى ومنع الطعام أو الشراب من العبور إلى الرئتين.
إصدارُ الصوت. حيث تحتوي الحنجرةُ على طيَّتين نسيجيتين (الحبال الصوتيَّة vocal cords) تهتزَّان عندَ عبور الهواء من خلالهما.
يُعدُّ سرطانُ الحنجرة laryngeal cancer نوعاً غيرَ شائع للسرطان يحدث في أنسجة الحنجرة larynx (صندوق الصوت).
الأعراض
قد تتضمَّن أعراضُ الإصابة بسرطان الحنجرة ما يلي:
حدوث تغيُّرات في الصوت، كأن يصبحَ الصوتُ مثل صوت الحصان.
الشعور بالألم عندَ البلع أو بصعوبة في البلع.
السعال المستمر.
ظهور كتلة أو تورُّم في الرقبة.
متى ينبغي الحصول على استشارة الطبيب
ينبغي مراجعةُ الطبيب إذا استمرَّ أحدُ الأعراض السابقة لمدَّةٍ تتجاوز ثلاثة أسابيع.
بما أنَّ هذه الأعراضَ مشابهةٌ لأعراض مجموعةٌ من الحالات الأخرى، فمن غير المحتمل أن يكونَ السرطانُ قد أدَّى إلى ظهورها. ولكن، إنَّها لفكرةٌ جيِّدة أن نستبعدَ جميعَ الأسباب المحتملة لهذه الأعراض من خلال زيارة الطبيب.
أسباب سرطان الحنجرة
السببُ الذي يؤدِّي إلى الإصابة بسرطان الحنجرة ليس واضحاً بشكلٍ دقيق، ولكن، أَمكنَ التعرُّفُ إلى العوامل التي قد تزيد من خطر حدوث الإصابة، والتي تتضمَّن:
التدخين.
شرب الكحول.
وجود تاريخ عائلِي لسرطان الرأس والعنق.
التعرُّض لبعض المواد الكيميائيَّة ولبعض المواد الأخرى، مثل غُبار الفحم ودخان المُحرِّكات.
قد يؤدِّي اتِّباعُ نمط حياةٍ صحيّ، والذي من ضمنه عدمُ شرب الكحول وتجنُّب التدخين، إلى خفض احتمالات حدوث سرطان الحنجرة بشكلٍ كبير.
الأشخاص المُعرَّضون للإصابة
يُعدُّ سرطانُ الحنجرة من الأنواع غير الشائعة للسرطان، حيث تُسجَّل إصابةُ حوالي 2300 حالة جديدة من سرطان الحنجرة سنويَّاً في المملكة المتَّحدة، على سبيل المثال.
تعدُّ هذه الحالةُ نادرةَ الحدوث عند الأشخاص الذين هم دون 40 سنة من العمر، وتظهر معظمُ الحالات عند الأشخاص الذين بلغوا 60 عاماً أو أكثر.
تبلغ نسبةُ الإصابة بسرطان الحنجرة عند الرجال أربعةَ أضعاف نسبتها عندَ النساء.
علاجُ سرطان الحنجرة
يُعدُّ العلاجُ الإشعاعي والجراحة والعلاج الكيميائي الطرقَ الرئيسيَّة لمعالجة سرطان الحنجرة.
وقد يؤدِّي العلاجُ الإشعاعي والجراحي لإزالة الخلايا السرطانيَّة إلى الشفاء من سرطان الحنجرة في أغلب الحالات، إن جرى تشخيصُ المرض بشكلٍ مُبَكِّر.
إذا جرى تشخيصُ المرض بعدَ بدء انتشاره، يمكن أن يقومَ العلاجُ على المشاركة بين الجراحة لإزالة جزءٍ من الحنجرة أو كامل الحنجرة، والعلاج الإشعاعي والكيميائي.
عند القيام بجراحةٍ لإزالة كامل الحنجرة، لا تبقى هناك قدرةٌ على الكلام أو التنفُّس بالطريقة المألوفة. وعوضاً عن ذلك، سوف يكون تنفُّسُ المصاب عن طريق فتحةٍ دائمةٍ في عنقه (فُغرَة stoma)، وسوف تكون هناك حاجةٌ إلى علاج إضافي لمساعدته على استعادة صوته. وقد يشتمل ذلك على إجراء زرع طُعم في الحنجرة، أو تثبيت جهازٍ كهربائي عندَ الحلق لإصدار الصوت.
العواقب
يعتمد مآلُ سرطان الحنجرة على مدى انتشار المرض قبلَ تشخيصه وعلاجه. ويُعرفُ هذا بمرحلة السرطان.
ومن الجيِّد أنَّ معظمَ حالات سرطان الحنجرة تُشَخَّص في مرحلةٍ مُبكِّرة، ممَّا يعني أنَّ مآلَها يكون أفضلَ من بعض الأنواع الأخرى من السرطان عادةً.
وبشكلٍ عام، يعيش ما يقرب من 65 من كلِّ 100 مُصاب لمدَّة 5 سنوات على الأقلّ بعدَ تشخيص المرض لديهم، وحوالي 57 من كل 100 مصاب لمدَّة 10 سنوات على الأقل.
قد يُساعد توقُّفُ المُصاب المُدخِّن عن التدخين، بعدَ تشخيص سرطان الحنجرة، على حدوث تحسُّنٍ في مآل المرض.
<<
اغلاق
|
|
|
|
|
زيد الضوي استشاري انف واذن و حنجرة وجراحة اورام الرأس و العنق ومناظير الجيوب الانفية و الحنجرة ، حيث باشر الاستشاري العمل في العيادة و استقبل المرضى .
وحرصاً من مدير مستشفى شرورة العام الاستاذ/ عوض جريبة الصيعري بتوفير الخدمات الطبية وتخليص المرضى من عناء وعبء السفر خارج المحافظة فقد اكدت ادارة المستشفى على جميع المرضى الذين يرغبون في زيارة الاستشاري والإستفادة من تواجده سرعة مراجعة المستشفى لتحديد المواعيد .
<<
اغلاق
|