|
وما هي المشكلات التي قد يسببها جسر الأسنان؟ أهم المعلومات والتفاصيل تجدها هنا.
هناك العديد من الحالات التي قد تستدعي اللجوء لتركيب جسر الأسنان بأنواعه المختلفة، فلنتعرف أكثر على جسر الأسنان فيما يأتي:
ما هو جسر الأسنان؟
هو قالب يتم تصميمه من مواد خاصة على شكل أسنان كاملة متصلة وذلك لملء بعض الأماكن الفارغة من الأسنان.
ويتم تثبيته عادة بربطه بطريقة خاصة بالأسنان الأصلية المجاورة له في الفك، وعادة ما يصنع من مواد، مثل: البورسلان ليحاكي مظهر الأسنان الطبيعية في الفم.
أنواع جسر الأسنان
هناك عدة أنواع مختلفة وهذه بعضها:
1. جسر الأسنان التقليدي (Traditional Dental Bridge)
في هذا النوع يتم تصنيع قالب على هيئة سن واحد أو أكثر، ويتم تثبيته في المنطقة الفارغة من اللثة عبر ربطه بإحكام بالأسنان المجاورة من الجانبين والتي تسمى بالأسنان الداعمة.
2. جسر ماريلاند (Maryland dental bridge)
في هذا النوع يتم تصنيع ما يشبه الأجنحة الخلفية على جانبي الأسنان المصنعة، ومن ثم يتم تثبيت الجسر في مكانه عبر تثبيت هذه الأجنحة جيدًا خلف الأسنان المحيطة بجانبي الجسر.
3. الجسر الناتئ (Cantilever bridges)
هنا يتم تثبيت الأسنان المصنعة الجديدة فقط على السن الوحيد المجاور للجسر، إذ إن هذا النوع من الجسور يتم تركيبه في منطقة يكون فيها السن المفقود متطرفًا ولا يجاوره إلا سن واحد طبيعي فقط.
حالات تستدعي تركيب الجسر
يتم عادة استخدامه لاستبدال سن أو مجموعة من الأسنان المفقودة كبديل لعملية زراعة الأسنان، وذلك لتحقيق الأغراض الآتية:
استعادة القدرة على مضغ الطعام بشكل طبيعي.
الحفاظ على المسافات بين الأسنان، وتحسين مظهر الوجه والفكين.
استعادة القدرة على نطق الأحرف بشكل سليم والتكلم دون مشكلات أو صعوبات.
الحصول على ابتسامة صحية وجميلة.
حماية الأسنان المتبقية في الفم، وتحسين شكل الإطباق أو العض.
خطوات تركيب الجسر
عادة ما يحتاج الأمر زيارتين فقط لطبيب الأسنان لتركيب جسر الأسنان بنجاح، وهذا ما عليك توقعه عند الخضوع لهذا النوع من الإجراءات الطبية التجميلية:
تحضير الأسنان الطبيعية المحيطة بمنطقة جسر الأسنان لعملية تركيب الجسر، وهذا يتضمن برد الأسنان ووضع تيجان مؤقتة عليها ريثما يتم تصنيع التيجان الدائمة التي سوف تثبت الجسر في مكانه.
تركيب الجسر مع التيجان السنية الجديدة المتصلة به وتثبيته في مكانه بمواد خاصة في الزيارة التالية، ثم يتأكد الطبيب من أن عضة المريض مناسبة وأن الأسنان ليست مرتفعة بالنسبة له.
إمكانية تطلب الأمر عدة زيارات لاحقة لتعديل العضة، والتأكد من أن أسنان الفكين ينطبقان على بعضهما بطريقة مناسبة ومريحة.
ما بعد تركيب الجسر
بعد تركيب الجسر من المتوقع أن يشعر المريض بما يأتي:
انزعاج عام في الفم.
تورم وليونة في اللثة في المنطقة المحيطة بالجسر.
نزيف بسيط في اللثة.
إيجابيات جسر الأسنان
قد يتم اختياره وتفضيله على بعض الإجراءات الأخرى، مثل: زراعة الأسنان، وذلك للأسباب الآتية:
الخفة ما يجعل المريض يشعر بالراحة أثناء المضغ دون أي إزعاج.
عدم الحاجة لفترة طويلة حتى يعتاد الشخص عليه.
عملية سريعة نسبيًا، إذ لا يستغرق الأمر أكثر من زيارتين حتى يتم تركيب الجسر بالكامل في أغلب الأحيان.
إمكانية أن يدوم لفترة طويلة في الفم إذا تم اتباع قواعد النظافة الشخصية بحذافيرها ودون إهمال.
سلبيات مشكلات محتملة
لا يخلو تركيبه من بعض السلبيات والمشكلات المحتملة، وهذه أهمها:
ضغط إضافي على الأسنان الداعمة المجاورة، مما قد يتسبب مع الوقت في بعض المشكلات فيها، خاصة إن كان الجسر طويلًا بعض الشيء أو إن كان طرفيًّا ويرتكز على سن واحد فقط.
تركيب جسر الأسنان يعني أن عليك برد الأسنان المجاورة لتركيب تيجان سنية جديدة، ما يعني أنك سوف تفقد بالضرورة جزءًا من أسنانك السليمة بلا عودة.
مشكلات كبيرة في عصب السن الداعم والتي قد تظهر مع الوقت بعد تركيبه.
الحاجة لاستبدال جسر الأسنان الحالي، وتركيب جسر جديد كل 5 - 15 عامًا، وذلك حسب حالة الأسنان والتزام المريض بتنظيف أسنانه بشكل جيد.
تسوس في الأسنان المجاورة، خاصة عند عدم اتباع قواعد التنظيف والعناية الضرورية.
إمكانية انخلاع الجسر من مكانه وانزلاقه، وهنا قد يحتاج الأمر لتدعيم مضاعف للجسر أو حتى زرعات سنية.
التهابات وقيح ومشكلات في اللثة في المنطقة المحيطة بالجسر أو تحت الجسر مباشرة.
<<
اغلاق
|
|
|
|
|
طبيب الأسنان لإزالة التسوس وتخفيف الألم، في هذه المقال سنتحدث عن حشو العصب.
قد يعتقد البعض أن عملية حشو العصب مؤلمة وتؤثر على صحة الأسنان، لكنها في الحقيقة عملية بسيطة وغير مؤلمة، في ما يأتي كُل ما يجب معرفته عن حشو العصب:
حشو العصب: نظرة عامة
هو علاج يقوم به أخصائي أعصاب الأسنان لإصلاح والحفاظ على لُب السن الملتهب أو الميت، والذي يُعرف بأنه مادة لينة توجد في منتصف السن تحتوي على كُل من العصب، والنسيج الضام، والأوعية الدموية.
قد يلتهب أو يتهيّج كل من العصب واللب بسبب حدوث تسوس عميق، وعمليات متكررة في السن، والحشوات الكبيرة، والشقوق، وإصابة في الوجه.
وفي حال عدم علاج السن الملتهب فقد تُصاب الأنسجة المحيطة به، وقد يتشكل الخراج.
قد يتخوف البعض من إزالة العصب بأنه قد يؤثر على وظيفة وصحة السن، لكن في الحقيقة أن إزالته ليس لها ذلك التأثير الحيوي؛ لأن وظيفة العصب الأساسية هي وظيفة حسيّة لتحسس الساخن والبارد.
حشو العصب: الأسباب
يتم إجراء إزالة العصب واللب وحشو العصب في حال تلفهما؛ لأن ذلك يؤدي إلى تحللهما ثم تبدأ البكتيريا بالانتشار في تجويف اللُب.
إضافة إلى ذلك فإن ترك السن دون علاج قد يسبب ما يأتي:
حدوث انتفاخ في منطقة السن الذي قد ينتشر في مناطق أخرى في الوجه، أو الرقبة، أو الرأس.
فقدان العظام حول طرف جذر السن.
موت لُب السن أو فقدان السن تمامًا.
حشو العصب: الطريقة
يتم إجراء عملية حشو العصب في ثلاث خطوات ويتم إجرائها خلال جلسة إلى ثلاث جلسات اعتمادًا على حالة كُل فرد.
ففي الحالات التي تكون شكل القناة منحنية، أو لديها عدّة القنوات، أو حجم الالتهاب كبير فقد تحتاج إلى جلسة أو جلستين إضافيات عن باقي الحالات.
ويتم حشو العصب كالآتي:
تنظيف قناة الجذر
في هذه الخطوة يقوم طبيب الأسنان بإزالة كل ما هو بداخل قناة الجذر، وتتم كالآتي:
يقوم الطبيب أولًا بتخدير المريض موضعيًا.
يقوم بإجراء فتحة صغيرة على سطح السن للوصول إلى محتوياته الداخلية.
يبدأ بإزالة نسيج اللُب المُصاب والميت باستخدام أدوات دقيقة.
ملء قناة الجذر
تتم هذه الخطوة بالإجراءات الآتية:
يبدأ طبيب الأسنان بتنظيف وتشكيل وتطهير المنطقة المجوفة باستخدام أدوات دقيقة ومحلول خاص.
يقوم بحشو السن بمادة شبيهة بالمطاط، ومُستخدمًا مادة لاصقة يقوم بإغلاق القنوات بالكامل وبشكل مُحكم.
بعد إزالة قناة الجذر فإن المريض سوق يفقد قدرته على الإحساس بأي ألم في هذا السن، وذلك بسبب إزالة الأنسجة العصبية منه وثم علاج الالتهاب.
إضافة حشوة أو تاج للسن
في هذه المرحلة يكون السن أكثر هشاشة مما كان عليه قبل حشو العصب، لذلك يتم اللجوء إلى إضافة تاج أو حشوة للسن لحمايته.
لحين تجهيز حشو أو تاج السن يجب على المريض عدم المضغ أو العض على السن.
وبعد تركيب التاج يستطيع المريض استخدام السن كما كان من قبل.
حشو العصب: المضاعفات
قد تحدث المضاعفات في الحالات الآتية:
قد لا يجد الطبيب جميع القنوات الجذرية للسن، قد يجد ثلاث قنوات للسن الذي له أربع جذور، في هذه الحالة سوف تنتشر العدوى من قناة الجذر المُصابة إلى العظام.
لا يوجد تناسب بين حجم الحشوة وحجم قناة الجذر؛ فقد تدخل البكتيريا إلى السن ويتكرر الالتهاب مرة أخرى.
قد يتشقق الجذر أثناء العملية، أو قد تنكسر الأدوات في القناة؛ الذي يجعل من عملية ملء السن أصعب.
في حال حدوث أي من المضاعفات سيقوم الطبيب بالتعامل معها وإكمال عملية حشو العصب، ولتجنّب حدوث المضاعفات اتبع تعليمات الطبيب، وفي حال تم وصف المضادات الحيوية فيجب الالتزام بتناول الأقراص كاملة حتى وإن شعرت بتحسن.
<<
اغلاق
|
|
|
|
|
فما هي الحالات التي تستدعي سحب العصب؟ وهل من مضاعفات له؟
عملية سحب العصب هو إجراء شبه روتيني ولا يستدعي القلق، سوف نستعرض فيما يأتي أهم المعلومات التي عليك معرفتها عن هذا الإجراء الطبي:
ما هو سحب العصب؟
سحب العصب هو أحد الإجراءات الطبية العلاجية في عالم الأسنان، ويتم اللجوء إلى هذا النوع من العلاجات لإنقاذ سن يكاد أن يتاكل من التسوس، أو لإنقاذ سن تعرض لالتهاب أو تلف حاد، ويستهدف هذا العلاج لب العصب السني الذي يتواجد في داخل قناة الجذر للسن، ويتكون من مزيج من الأعصاب والأوعية الدموية.
خلال عملية سحب العصب يتم الاتي:
استئصال لب العصب السني (The Pulp) الذي تعرض للتلف أو الالتهاب بالكامل من داخل السن.
تنظيف المنطقة المحيطة به في داخل تجويف السن.
حشو السن وإغلاقه جيدًا.
رغم أن عملية سحب العصب قد تبدو مخيفة ومؤلمة، إلا أن معظم الأشخاص الذين خضعوا لها وجدوا أن المعاناة الفعلية كانت في الفترة السابقة لعملية سحب العصب، والتي قد تتضمن الكثير من المماطلة والتحمل قبل أن يقرر المريض الخضوع للعملية، أما عملية سحب العصب بحد ذاتها فهي شبيهة إلى حد كبير بعمليات حشو الأسنان العادية.
لم يتم اللجوء لسحب العصب؟
عندما يتضرر عصب السن ويلتهب، فإن الالتهاب الحاصل قد يتسبب بمضاعفات خطيرة إن لم يتم علاجه والسيطرة عليه في الوقت المناسب، مثل:
تكون حبوب مؤلمة وملوثة تحتوي على صديد خارج منطقة جذر السن.
تورم قد يمتد وينتشر للوجه والعنق والرأس.
تاكل العظام في المنطقة المحيطة بالسن المصاب.
تقرحات قد تخرج عن السيطرة وتنتشر إلى الجلد.
في بعض الحالات يفضل أطباء الأسنان القيام بسحب العصب والاحتفاظ بالسن الميت بدلًا من خلع السن بالكامل للأسباب الاتية:
تسهيل المضغ.
الحفاظ على إطباقة فكين سليمة.
الاحتفاظ بابتسامة طبيعية وجميلة.
حماية الأسنان المتبقية من أي ضغط إضافي.
أعراض تعني أن عليك القيام بسحب العصب
عندما تكشف صور الأشعة السينية للسن أن لب العصب السني قد تعرض للتلف، فهذا قد يعني أنه يجب الخضوع لسحب العصب، ومع بدء تلوث عصب السن والتهابه، هذه هي الأعراض المتوقع ظهورها:
ألم في السن المصاب عند تناول طعام أو شراب ساخن أو بارد.
تخلخل السن المصاب.
ألم في السن المصاب عند إطباق الفكين أو عند محاولة مضغ الطعام.
لكن في المراحل اللاحقة من التهاب عصب السن، غالبًا ما تختفي الأعراض المذكورة، فيظن المريض أن السن قد تعافى، ولكن ما حصل في الحقيقة هو انتشار البكتيريا لدرجة أنه تمكن من قتل عصب السن، ثم تبدأ الأعراض الاتبة بالظهور:
ألم عند إطباق الفكين أو المضغ.
تورم اللثة في المنطقة المحيطة بالسن المصاب.
تورم الوجه.
اكتساب السن لونًا داكنًا مع مرور الوقت.
خروج قيح وصديد من منطقة السن المصاب.
كما يجب اللجوء لطبيب الأسنان عند الشعور بأي ألم في السن لتجنب تفاقم الحالة وزيادة الأعراض سوءًا، ومن الجدير بالذكر أن المضادات الحيوية لا تجدي نفعًا عندما يتعلق الأمر بعلاج الالتهابات البكتيرية لقناة جذر الأسنان.
خطوات عملية سحب العصب
قد لا يتطلب سحب العصب أكثر من جلسة واحدة، وقد يحتاج عدة جلسات أقصاها 3 حسب حالة السن، وهذه هي الخطوات التي يتم اتباعها عادة قبل وأثناء عملية سحب العصب:
التحضير لسحب العصب
قبل بدء العملية يتم التحضير لها جيدًا عبر اتباع الخطوات الاتية:
يتم تصوير السن المتضرر بالأشعة السينية، لتحديد شكل قناة الجذر ومعرفة ما إذا كان هناك التهاب في داخل السن أو المنطقة المحيطة به.
يخضع المريض لتخدير موضعي (وهو أمر قد لا يحتاجه كافة المرضى، خاصة الذين مات العصب السني لديهم).
يتم وضع أداة مطاطية خاصة حول السن لعزله عن باقي الفك وحمايته من التعرض للعاب الذي قد يحتوي على البكتيريا، وذلك لحماية السن من أي تلوث أثناء عملية سحب وتنظيف العصب.
عملية سحب العصب
بعد أن يقوم الطبيب باستكمال التحضيرات السابقة، تبدأ العملية الفعلية لسحب العصب، والتي تتضمن الخطوات الاتية:
يقوم الطبيب بفتح السن بحفارة خاصة حتى يصل إلى قناة الجذر ولب العصب المتضرر.
يقوم الطبيب بإزالة لب العصب من الداخل وتنظيف قناة الجذر جيدًا باستخدام أدوات خاصة.
يتم تحضير حشوة خاصة بقوام يشبه المطاط لتملأ تجويف قناة الجذر، قبل أن يتم إغلاق قنوات الجذر التي تم علاجها بمادة خاصة، وذلك بعد أخذ كافة القياسات الداخلية الضرورية لقناة الجذر.
يتم تركيب تاج للسن، خاصة في الحالات التي يكون السن فيها قد تاكل تمامًا، وتصنيع وتركيب تاج السن قد يحتاج عدة أيام أو أسابيع ريثما يقوم فني المختبر بتجهيز السن بعد أخذ قياساته.
مضاعفات ومشاكل سحب العصب
مثل أي إجراء طبي، قد يتخلل عملية سحب العصب مجموعة من المضاعفات أو التعقيدات، هذه قائمة بأهمها:
قد لا يتم علاج كافة القنوات بشكل صحيح، أو قد تتعرض قنوات الجذور لتلوث غير مقصود، أو قد لا تدخل الحشوة في كافة فراغات قنوات الجذور كما يجب، هذه الأمور سوف تتسبب بعودة الألم والالتهاب من جديد، وسحب العصب مرة أخرى.
قد تتسبب الأدوات المستخدمة أثناء عملية سحب العصب بحدوث شق في جذر السن أو قد تنكسر هذه الأدوات أثناء عملية حفر وتنظيف قناة الجذر، الأمر الذي سوف يجعل عملية سحب العصب أكثر تعقيدًا.
قد يضطر الطبيب لتحويل عملية سحب العصب البسيطة إلى عملية جراحية معقدة بعض الشيء أحيانًا.
قد يتغير لون السن الذي خضع لسحب العصب بشكل تدريجي ليصبح داكنًا مع الوقت، وهو أمر من الممكن أن يحصل بعد موت العصب وقبل الخضوع لعلاج سحب العصب، أو قد يحصل بعد الخضوع للعلاج.
الوقاية قبل علاج سحب العصب
لحماية السن وعصب السن من التلف الذي يستدعي الخضوع لعملية سحب العصب، يجب الحرص على اتباع الإجراءات الوقائية الاتية:
تنظيف الأسنان بفرشاة مناسبة ومعجون يحتوي على الفلورايد مرتين يوميًا على الأقل.
استعمال خيط الأسنان وغسول الفم الطبي مرة واحدة يوميًا على الأقل.
زيارة طبيب الأسنان بشكل دوري مرتين على الأقل سنويًا.
الخضوع لتنظيف أسنان طبي في عيادة الطبيب مرة واحدة سنويًا على الأقل.
اتباع حمية غذائية شبه خالية من السكريات والأطعمة المعالجة.
<<
اغلاق
|
|
|
|
|
مخاطر وإيجابيات مرتبطة بها؟ كل هذا وأكثر ستعرفونه من خلال المقال.
لاحظنا في السنوات الماضية ميل كثير من الأشخاص للاعتناء بأسنانهم أكثر مما مضى، أو حتى تقليدهم للمشاهير فيما يخص ابتسامة هوليوود، إذ أصبح جل اهتمامهم الحصول على أسنان مصفوفة بدقة وذات بياض ناصع.
لكن ما هي ابتسامة هوليوود؟ وكيف نحصل عليها؟ وهل هناك أي ضريبة جراء الحصول عليها؟ التفاصيل كاملةً سنستعرضها في ما يأتي:
ما هي ابتسامة هوليود؟
ابتسامة هوليوود هي وضع قشور فينير (Veneers) الرقيقة جدًا على الجهة الأمامية من السن، وتعمل قشور فينير على تغيير لون وشكل وحجم وحتى طول الأسنان بما يتوافق مع شكل الفك والفم الخاص بالمريض، والهدف من ذلك هو الآتي:
تحسين شكل الأسنان.
زيادة بياض الأسنان بشكل دائم.
تحسين الشكل العام للشخص.
عادةً ما يتم تصنيع هذه القشور من الخزف (Porcelain)، فهي مادة قادرة على مقاومة البقع، كما أنها تعكس بشكل قريب جدًا طبيعة السن، لتكون أشبه بابتسامة طبيعية وليست مصطنعة.
لمَ يتم اللجوء لابتسامة هوليوود؟
إن اللجوء إلى هذا النوع من الابتسامة يكون بهدف التجميل بشكل رئيس، لكن بالطبع بإمكان ابتسامة هوليوود وهذه القشور الخزفية أن تعالج بعض مشكلات الأسنان، والتي تتمثل في:
الأسنان التي تغير لونها وتصبغت ببعض البقع.
الأسنان التي يوجد بها حشوات تجميلية كبيرة، والتي فقدت لونها وأصبحت مختلفة عن لون الأسنان المجاورة.
الأسنان التي تكسرت.
الأسنان التي تعاني من الانحراف أو غير المتساوية في الحجم والطول وشكلها غير ملائم مع باقي الأسنان.
الأسنان التي تحوي فراغات فيما بينها.
كيفية الحصول على ابتسامة هوليوود
إن اتخاذ قرار الحصول على ابتسامة هوليوود يتبعه ثلاثة زيارات إلى طبيب الأسنان المختص بالتجميل، وهي موزعة على النحو الآتي:
الزيارة الأولى للطبيب تكون بهدف الاستشارة.
الزيارة الثانية والثالثة للطبيب تكون من أجل صنع القشور، ثم تركيبها.
خطوات التحضير والتركيب
إن الحصول على ابتسامة هوليوود وتركيب القشور قد لا يشمل جميع الأسنان، وقد يكتفي الطبيب بتركيب هذه القشور على الأسنان الأمامية فقط أو تلك الأسنان التي تُعاني المشكلات المذكورة سابقًا.
تشمل خطوات الحصول على ابتسامة هوليوود ما يأتي:
1. التشخيص والتخطيط للعلاج
هذه الخطوة تشمل الشرح للطبيب حول النتائج التي يتوقعها المريض، كما يقوم الطبيب بفحص الأسنان للتأكد من أن القشور تناسب المريض، ويشرح للشخص الآلية التي سيقوم باتباعها.
2. التحضيرات
إن تحضير الأسنان لوضع القشور عليها يتضمن إزالة 0.5 ملليمتر من مينا سطح السن، وهو ما يقارب سماكة القشور التي ستوضع على السن، ثم يقوم الطبيب بعمل نموذج للقشور عن طريق إرسالها إلى المختبر، هذه العملية تستغرق 1 - 2 أسبوعًا تقريبًا.
3. التجربة والانتهاء
قبل الوضع النهائي للقشور للحصول على ابتسامة هوليوود سيقوم الطبيب بعدة خطوات كما الآتي:
وضع القشور على أسنان المريض للتأكد من اللون والحجم، إذ سيكون بإمكانه تهذيب القشور وفق المطلوب إن لم تكن مناسبة.
تنظيف الأسنان لتركيب القشور بشكل نهائي باستخدام لاصق مخصص، بعد التأكد من مناسبة القشور للأسنان.
وضع موجات من الضوء مخصصة لتثبيت القشور.
قد يطلب الطبيب من المريض العودة بعد عدة أسابيع لفحص اللثة والتأكد من ردة فعلها تجاه القشور الجديدة، إضافةً إلى التحقق من موقع هذه القشور.
إيجابيات ابتسامة هوليوود
إن الحصول على ابتسامة هوليوود وتركيب القشور يضمن للمريض الإيجابيات الآتية:
توفر منظر طبيعي للأسنان بشكل أجمل.
تحمي الأسنان من البقع المختلفة، وبالتالي تبقى بيضاء لفترة طويلة من الزمن، حيث أن القشور الخزفية مقاومة للتصبغات.
تساعد في الحصول على ابتسامة جميلة مع تصحيح بعض مشكلات الأسنان المذكورة سابقًا بسهولة وبعيدًا عن الألم.
سلبيات ابتسامة هوليوود
أما في ما يخص سلبيات ابتسامة هوليوود فهي تشمل:
لا يمكن نزع القشور والعودة للأسنان بشكلها الطبيعي دون القشور، وذلك بسبب نزع طبقة المينا عن الأسنان.
تعد القشور مكلفة ماديًا.
تكون القشور غير قابلة للإصلاح في حال تشققت.
قد تصبح الأسنان أكثر حساسية تجاه المشروبات والأطعمة الساخنة أو الباردة بسبب نزع طبقة المينا.
يعد لون القشور غير قابل للتغيير بعد وضعها، لذا يجب اختيار اللون المناسب بدقة.
يمكن أن تسقط القشور، لذا يجدر على الشخص الذي وضعهم الابتعاد عن بعض العادات، مثل:
قضم الأظافر.
عض الأقلام.
تكسير الثلج بالأسنان.
فتح العلب باستخدام الأسنان.
نصائح هامة حول ابتسامة هوليوود
في ما يأتي أهم المعلومات التي يجب مراعتها قبل اتخاذ قرار وضع القشور:
القشور عادةً ما تبقى على الأسنان ما بين 5- 10 سنوات تقريبًا قبل استبدالها.
لا تستلزم القشور أي عناية إضافية، لكن يجب أن يُستمر في تنظيف الأسنان باستخدام الفرشاة وخيط الأسنان وغسول الفم كالمعتاد.
بالرغم من أن القشور الخزفية مقاومة للبقع، إلا أن الطبيب قد ينصح بتقليل كمية الطعام والشراب الذي يسبب هذه البقع على الأسنان، مثل: الشاي، والقهوة.
قبل اتخاذ قرار الحصول على ابتسامة هوليوود ووضع القشور يجب معرفة كل المعلومات المترتبة على الموضوع، فيجب التحدث مع الطبيب، طرح عليه جميع الأسئلة.
<<
اغلاق
|
|
|
|
 . القرى، حملة للتوعية الصحيّة بعنوان: "سر الابتسامة الجميلة"، تزامناً مع الأسبوع الخليجي لتعزيز صحة الفم والأسنان، بهدف زيادة الوعي لدى الطالبات والمنسوبات بأهمية صحة الفم والأسنان، وطرق المحافظة على نظافتها، والوقاية من التسوس.
تمت الحملة تحت إشراف مساعدة المدير العام للمركز الطبي الجامعي د. ثريا الطيب، وبحضور منسوبات المركز الطبي من الممارسين الصحيين، ومنسوبات الجامعة، في ساحة بوابة الجوهرة، في تطبيق تام للإجراءات الاحترازية اللازمة.
وأكدت استشاري العلاج التحفظي وإصلاح الأسنان بالمركز الطبي الجامعي د. تهاني جمل، إن المركز يحمل مسؤولية توعية منسوبات وطالبات الجامعة بضرورة الالتزام بعناية صحة الفم والأسنان؛ وأنها جزء هام جداً لصحة الجسم، إضافة إلى ضرورة حثهم على الزيارة الدورية لطبيب الأسنان كل ستة أشهر.
تضمنت الحملة عرضًا مرئيًا لأهمية العناية بنظافة الفم والأسنان، وطرقها، مع توضيح أهمية تناول الغذاء الصحي المتوازن، وأعراض التهاب اللثة والوقاية منه، وفوائد اللعاب، وثقوب الفم وأضرارها، وكيف يمكن الحد من النَّفَس السيئ والوقاية منه، وأسباب وعلاج رائحة الفم الكريهة، وآثار التدخين على صحة الأسنان، وتأثير الإجهاد والضغط النفسي على صحة الفم والأسنان.
اشتملت الحملة على مدونة إلكترونية لعرض المواد العلمية والتثقيفية الصحية، من خلال فيديو مرئي، وإرشادات ونصائح ومعلومات على الحساب الإلكتروني للمركز الطبي؛ تحقيقاً لتقديم الخدمات الصحية والوقائية للمجتمع وفقاً للرؤى الوطنية.
<<
اغلاق
|
|
|
|
|
وجمالي"، والتي نظمتها لجنة التثقيف الصحي بفرع المركز الطبي الجامعي بمقر الطالبات، بإشراف مساعدة مدير عام المركز الطبي الجامعي للشؤون الفنية الدكتورة تهاني بنت رشاد الجمل، بالتعاون مع إدارة العلاقات العامة والإعلام، في يوم الأربعاء 4 ربيع الأول 1439هـ. وذلك بالتعاون مع إدارة الأمراض المزمنة وطبيبات من مستشفى حراء؛ حيث فعّلت الحملة القياسات الحيوية لمعرفة معدل سكر الدم، وضغط الدم، والطول والوزن، وحساب مؤشر كتلة الجسم للطالبات ومنسوبات جامعة أم القرى، وبمشاركة شركة سدافكو تم توزيع عيّنات مجانية من الحليب لتعزيز أهمية الغذاء الصحي المتوازن للإنسان.
وقد قامت الحملة بالتوعية بالأمراض المزمنة، وكيفية تجنبها والوقاية منها؛ بعرض الجوانب التثقيفية والوقائية وأضرار السمنة والأمراض الوراثية عن طريق اللوحات الجدارية والمطويات الطبية التي استعرضها فريق الحملة من لجان التوعية في المراكز الصحية في حي الكعكية، والمركز الصحي في مخطط الأمير أحمد، والمركز الصحي في الجموم وجبل النور.
<<
اغلاق
|
|
|
|
|
العمودي، وبرفقتها مساعدة مدير إدارة العلاقات العامة والإعلام الدكتورة أمل بنت مسحل القثامي فعاليات الأسبوع الخليجي لتعزيز صحة الفم والأسنان بعنوان (أسنانك خلقت لتبقى مدى الحياة)، والذي نظمته لجنة التثقيف الصحي بفرع المركز الطبي الجامعي بالزاهر، ممثلةً في نائبةمدير عام المركز الطبي الجامعي الدكتورة ثريا بنت عبدالوهاب الطيب، ومساعدة مدير عام المركز الطبي الجامعي للشؤون الفنية الدكتورة تهاني بنت رشاد الجمل، بالتعاون مع عمادة الدراسات الجامعية للطالبات، وبرنامج مكافحة التدخين من وزارة الصحة، وذلك في تمام الساعة التاسعة والنصف من يوم الثلاثاء 11 جمادى الآخرة 1439هـ، والذي سيستمر على مدار ثلاثة أيام حتى يوم الخميس الثالث عشر من هذا الشهر، وذلك أمام المركز الطبي الجامعي الدور الأرضي بمبنى (أ) بمقر عمادة الدراسات الجامعية للطالبات بالزاهر.
وقد أثْرت الفعاليات الحضور بأركان فعّالة وحيوية غنية بالمعلومات المفيدة ما بين صحة الأسنان والفم وطريقة المحافظة عليهما بالكلام والصورة، وما بين أضرار التدخين على صحة الإنسان عامة وعلى صحة الفم والأسنان خاصة، كما يصاحب الفعالية كشف عام على أسنان الحاضرات الراغبات من قِبَل مساعدة مدير عام المركز الطبي الجامعي للشؤون الفنية الدكتورة تهاني بنت رشاد الجمل استشارية إصلاح أسنان وعلاج تحفظي والحاصلة على زمالة البورد السعودي، وقامت الأركان بنشر الابتسامات من خلال توزيعات عينيّة قيّمة تفيد صحة الفم والأسنان نالت إعجاب كافة الحضور.
وقد شكرت عميدة الدراسات الجامعية للطالبات المركز الطبي الجامعي على مجهوداته المعهودة في إثراء الطالبات والمنسوبات على حد سواء بالمعلومات الصحية القيّمة في كافة المجالات الطبية.
<<
اغلاق
|
|
|
|
|
في جامعة أم القرى تحت شعار "وعيك الآن... أمل وأمان" في شطر الطالبات بالزاهر، والذي نظمتها إدارة العلاقات العامة والإعلام بإشراف عمادة الدراسات الجامعية، وبالتعاون مع المركز الجامعي الطبي ممثلةً في لجنة التثقيف الصحي، بإشراف مساعدة مدير عام المركز الطبي الجامعي للشؤون الفنية الدكتورة تهاني بنت رشاد الجمل، خلال الفترة من 9- 11صفر للعام 1439هـ.
حيث استمرت فعاليات الحملة التوعوية بسرطان الثدي بنشر الوعي الصحي والثقافي ضمن المعرض التوعوي المقام أمام قاعة الجوهرة، وقد تم استقبال الطالبات باللوحات التوعوية، وتوفير المطويات والكتيبات التعريفية بكيفية الفحص ودور التغذية الصحية السليمة وأهميتها في علاج مرضى السرطان، بالإضافة للعروض المرئية عبر شاشات الجامعة في بث التعليمات والتوجيهات الصحية للوقاية من سرطان الثدي، وذلك بالتزامن مع إجراءات الكشف المبكر لسرطان الثدي حيث تراوح عدد حالات الكشف اليومي ما بين 100إلى 150 حالة.
<<
اغلاق
|
|
|
|
|
مع عمادة الدراسات الجامعية للطالبات، وبإشراف الدكتورة تهاني بنت رشاد الجمل حملة "العقل السليم في الجسم السليم"، يوم الأحد 1438/03/19هـ، واستمرت لمدة يومين من تاريخه بالمقر، وستستكمل الحملة إلى نهاية الأسبوع جولتها ببقية الكليات والفروع بالعزيزية، وريع ذاخر، وعمادة السنة التحضيرية بالششة.
وتمحورت الحملة حول السمنة آفة العصر، وكيف يمكن تجنبها، معاً ضد السكري، ومرض هشاشة العظام. واشتملت الحملة على القيام بعمل قياس مستوى السكر بالدم، وضغط الدم، والطول والوزن، وحساب مؤشر كتلة الجسم للطالبات ومنسوبات جامعة أم القرى، ومن خلال هذه الاختبارات تمّ اكتشاف حالات مصابة بالسكري والضغط، وتمّ توجيههن للمركز الطبي الجامعي لاتخاذ العلاج اللازم.
واستعرض فريق الحملة بأقراص CD واللوحات الجدارية والمطويات مجموعة الأمراض التي تناولتها الحملة، وأعراضها، وطرق علاجها. بالتعاون مع لجنة التوعية بوازرة الصحة، وبمشاركة شركة سدافكو تم توزيع عيّنات مجانية من الحليب لتعزيز أهمية فيتامين "د" للعظام، ولصحة الإنسان.
<<
اغلاق
|
|
|
|
|
الطلابي بوكالة عمادة الدراسات الجامعية بريع ذاخر، بالتعاون مع المركز الطبي الجامعي، يوم الأحد الموافق 1438/03/05هـ لقاءً بعنوان "أسنانك خُلقت لتبقى مدى الحياة"، ألقتها الطبيبة تهاني بنت رشاد جمل استشارية العلاج التحفظي وإصلاح الأسنان.
بُدئ اللقاء بسؤال الحاضرات عن الأسنان، وتقديم الجوائز التشجيعية لهن، ثم تحدثت عن الهدف من الحملة وعن فوائد الأسنان، وأمراض الفم واللثة، وكيفية الوقاية من تسوس الأسنان، وقد شاركت فنية الأسنان تهاني رشاد جمل بشرح الطريقة الصحيحة لتنظيف الأسنان، كما شاركت شركة الخدمات الطبية والصيدلانية، وشركة باطوق للبان، وشركة كولجيت بالموليف، وذلك بتوزيع بعض العينات للطالبات والمنسوبات، وفي نهاية اللقاء تم تكريم المشاركات وتقديم الشهادات لهن.
<<
اغلاق
|
|
|
|
|
العلمي والإداري الأستاذة الدكتورة علياء عبدالله الجندي، نظم نادي طالبات السنة التحضيرية بعمادة شؤون الطلاب، بالتعاون مع المركز الطبي الجامعي، وشركة كولجيت بالموليف، وشركة باطوق القابضة، وشركة الخدمات الطبية الصيدلانية، فعالية "أسنانك خُلقت لتبقى مدى الحياة"، بمناسبة الأسبوع الخليجي لصحة الفم والأسنان، وذلك يوم الثلاثاء 07 / 03 / 1438هـ.
وقد هدفت الفعالية إلى توعية الطالبات والمنسوبات بأهمية العناية بصحة الفم والأسنان، والتركيز على أهمية العمل الوقائي لخفض نسبة الإصابة بأمراض الأسنان والأمراض الفموية. كما تم شرح عملية تنظيف الأسنان للطالبات، واستخدام الخيط الطبي. وانتهت الفعالية بتكريم الشركات المشاركة فيها.
<<
اغلاق
|
|
|
|
|
عمادة الدراسات الجامعية للطالبات بالزاهر، يوم الاثنين 1438/05/23هـ، تزامناً مع انطلاق برنامج "إبدأ ب5 نحو تحقيق رؤية 2030"، بجوار المركز بالدور الأرضي، مبنى (د)، حملة بعنوان "أغسل يديك واحمي حياتك وحياة الآخرين"، تهدف إلى أهمية نشر ثقافة الوعي الصحي في المجتمع وفي الحرم الجامعي بجامعة أم القرى من خلال تفعيل الأيام العالمية للفعاليات والأنشطة الصحية، وذلك بناءً على توجيهات معالي وزير الصحة، بإشراف الدكتورة تهاني بنت رشاد جمل استشاري علاج تحفظي وإصلاح أسنان، واستمرت الحملة لمدة يومين.
وتطرقت سعادة الدكتورة تهاني جمل إلى ضرورة معرفة طريقة غسل اليدين الصحيحة حتى يتم الحد من انتشار الأمراض، حيث أن 50% من الأمراض تنتشر عبر اليدين. وتم التعاون مع شركة لايف بوي لتعليم المنسوبات الطريقة العملية الصحيحة بمغاسل متحركة.
وأشادت الدكتورة تهاني بالجهود المبذولة من قبل وزارة الصحة، وذلك لتعاونها مع المركز الطبي الجامعي، وتقديم أدوات النظافة الشخصية كالمعقمات والمطهرات، والقيام بتوزيعها عن طريق محطات لجذب الطالبات، وتعريفهن بأهمية غسل اليدين، وطريقة استخدامها.
وتم تثبيت الأجهزة التي تضخ المعقمات عند أجهزة البصمة الخاصة بموظفات عمادة الدراسات الجامعية بالزاهر، كما تم تثبيتها في أماكن متفرقة عند بوابات الجامعة، كذلك تمّ توزيع بروشورات توعوية عن كيفية غسل اليدين؛ كل ذلك من أجل خلق أجواء صحية آمنة للجميع.
<<
اغلاق
|
|
|
|
|
الدكتورة هالة بنت سعيد العمودي برنامج (ابدأ بخمس لتحقيق رؤية 2030)، الذي نظمته اللجنة الثقافية بعمادة الدراسات الجامعية للطالبات ممثلاً في سعادة نائبة رئيسة اللجنة الثقافية الأستاذة الدكتورة شيخة بنت سعود عاشور، ومشاركة إدارة شؤون أعضاء هيئة التدريس والموظفات يوم الثلاثاء 1438/05/23هـ، بقاعة الجوهرة، بمقر الطالبات بالزاهر، بحضور وكيلة عمادة الدراسات الجامعية للطالبات الدكتورة فريدة بنت محمد الغامدي، وسعادة وكيلات العمادات، ووكيلات رؤساء الأقسام، والمنسوبات .
بدأ الحفل بقراءة آيات من الذكر الحكيم، ثم ألقت سعادة الدكتورة هالة العمودي كلمة أشارت فيها إلى أن التعاون البناء يحقق الأهداف بفضل الله، التي تسعى إليها جامعة أم القرى، وبرنامج ابدأ بخمس يفعّل هذه المساعي لتحقيق أهداف الجامعة المتزامنة مع رؤية 2030، وختمت كلمتها بشكر القائمين على هذا البرنامج.
تلا ذلك عرض مرئي يحمل في طياته رؤية 2030، ثم عرض قصة حلم موظف قدمتها الأستاذة بدرية المالكي عضو هيئة التدريس بقسم اللغة العربية، أعقبتها قصيدة وطنية ألقتها الأستاذة سارة الأنصاري، ثم توالت المشاركات من الجهات المشاركة في البرنامج مصحوبة بعروض تقديمية، ابتداءً بمشاركة المعهد العالي لهيئة الأمر بالمعروف والنهي عن المنكر قدمتها الدكتورة حصة السديس بعنوان (أيّ الغاديين أنتِ؟)، وأشارت الدكتورة نوف الجعيد وكيلة رئيس قسم الدورات التدريبية بالمعهد أن الدورات بالمعهد تُعطى للموظفة المتميزة بالمجان نظير تميّزها، ثم مشاركة معهد الإبداع وريادة الأعمال قدمتها وكيلة المعهد الدكتورة فائزة اللحياني، تلتها مشاركة معهد البحوث والدراسات الاستشارية قدمتها وكيلة المعهد الدكتورة أميرة الخصيفان، ثم مشاركة عمادة التطوير الجامعي والجودة النوعية قدمتها وكيلة العمادة الدكتورة سوزان برديس.
الجدير بالذكر مشاركة المركز الطبي الجامعي بعمادة الدراسات الجامعية، حيث تقدمت الدكتورة تهاني بنت رشاد جمل استشاري علاج تحفظي وإصلاح أسنان وعرّفت بالمركز الطبي الجامعي، والخدمات العلاجية، والتخصصات الطبية التي يقدمها المركز، بالإضافة إلى عرض الجدول الزمني للفعاليات التثقيفية الصحية، كذلك تمّ التطرق والتعريف بعلم الهندسة البشرية Ergonomics، وذلك لزيادة إنتاجية الموظفة، وتمّ تقديم هدايا من المركز عبارة عن أدوات نظافة شخصية كمعقم الأيدي وغيرها، كذلك تمّ توزيع بروشورات توعوية عن كيفية غسل اليدين.
أخيراً عرضت الدكتورة نوار الحربي عضو هيئة التدريس بقسم علم النفس بكلية التربية مسابقة لاحتضان مواهب موظفات أم القرى، ودعت المنسوبات للمشاركة فيها.
<<
اغلاق
|
|
|
|
|
للطالبات الدكتورة هالة بنت سعيد العمودي، فعالية (حياتي أغلى) للتوعية بأضرار التدخين بأنواعه، بحضور سعادة نائبة المدير العام للمركز الطبي الجامعي الدكتورة ثريا الطيب، والتي أقامها المركز الطبي الجامعي تحت إشراف رئيسة لجنة التثقيف الصحي الدكتورة تهاني الجمل، وإدارة العلاقات العامة والإعلام بإشراف مساعدة مدير إدارة العلاقات العامة والاعلام الدكتورة أمل القثامي، بالتعاون مع لجنة مكافحة التدخين بالشؤون الصحية، وذلك يوم الاثنين 1438/07/21هـ، في ساحة بوابة الجوهرة بمقر الطالبات في الزاهر، والذي استمر على مدار ثلاثة أيام من تاريخها.
وتجولت الدكتورة هالة العمودي على الأركان التي تضمنت ركناً عن ماهية التدخين وأنواعه، وأضراره وطرق الإقلاع عنه، وتم توزيع مطويات توعوية، وكتيبات إرشادية، بشرح وافٍ من الأستاذات المشاركات بالفعالية من الشؤون الصحية بمنطقة مكة المكرمة ومكتب الدعوة والإرشاد وتوعية الجاليات، وتمّ توزيع هدايا للزائرات.
من جهتها أعربت عميدة الدراسات الجامعية الدكتورة هالة العمودي بإعجابها بالمعرض التوعوي، وشكرت سعادتها جميع القائمين على ما بذلنه من جهود لإنجاح هذه الفعالية وتحقيق الهدف منها، وأخيراً قدمت لهّن شهاداتٍ تقديرية نظير مشاركتهن الفعالة، سائلةً المولى أن يوفقهن ويسددهن لما فيه الخير.
الجدير بالذكر أنه تم الترويج للفعالية ببثِّ فيلم توعوي عنها على شاشات العرض بمباني الجامعة.
<<
اغلاق
|
|
|
|
|
الدكتورة هالة بنت سعيد العمودي حملة "اهتمامي أساس صحتي وجمالي"، والتي كانت بتنظيم لجنة التثقيف الصحي بفرع المركز الطبي الجامعي بمقر الطالبات، وبإشراف مساعدة مدير عام المركز الطبي الجامعي للشؤون الفنية الدكتورة تهاني بنت رشاد الجمل، وبمشاركة وحدة مكافحة السمنة والأمراض المزمنة بوزارة الصحة، بالتعاون مع إدارة العلاقات العامة والإعلام، وذلك خلال الفترة 2 - 4 صفر للعام 1439هـ، أمام مقر المركز الطبي الجامعي، وعلى مدار ثلاثة أيام.
حيث تضمنت الحملة أركان توعوية تعريفية بالأمراض المزمنة مثل داء السكري وارتفاع ضغط الدم والعوامل المؤدية للإصابة، وسبل الوقاية والتغذية العلاجية المناسبة لمرضى السكرى وضغط الدم التي تعتبر من الأمراض المزمنة واسعة الانتشار في العالم.
كما شمل كذلك التوعية بالأمراض الوراثية والمزمنة من خلال عرض اللوحات التثقيفية وتوزيع المطويات الطبية؛ بإشراف طبيبات وأخصائيات التغذية وطب الأسرة، للتعرف على مخاطر السمنة ومضاعفاتها، وأهمية الغذاء المتوازن ونصائح للوصول إلى الوزن المثالي، وكيفية الحفاظ عليه من خلال اللوحات الإرشادية والنشرات الطبية ومحطات طبية بعنوان "شخص حالتك بنفسك" لقياس الوزن والطول ومعدل نسبة السكر في الدم وقياس ضغط الدم وكتلة الجسم.
<<
اغلاق
|
|
|
|
|
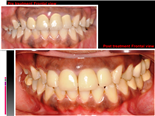
يحملها نجوم هوليود، والتي تشمل لثة زهرية سليمة وأسنان بيضاء متراصة وشفاه متناسقة، فالتناغم بين هذه الأمور الثلاثة ومدى تناسقها مع الوجه، هو سر الابتسامة الهوليودية كما يسميها البعض ويشهد العالم الآن ثورة في مجال تجميل الاسنان بدون تقويم التي تكون فيه أسلاك أو حاصرات معدنية
اللومنير أو (العدسات اللاصقة) :هي طبقات سيراميك غاية في الدقة يتم تصنيعها بواسطة جهاز خاص في المعمل.
فوائدها: يمكن من خلال هذه الطبقة الرقيقة تغيير جذري في ابتسامة المريض من الممكن تغيير لون وشكل وحجم الأسنان وإغلاق الفراغات بين الأسنان..
مميزاتها: على كل التركيبات والترميمات السنية الأخرى كالتلبيسات والفينير فان اللومنير لا يحتاج لعمل برد في الأسنان كما انه ليس هناك حاجة إلى تخدير المريض بأي مرحلة من مراحل العمل وعليه فان المريض لا يعاني من أي الم خلال العمل ولا بعد التطبيق ..وبما أن هذه العدسات مصنفة من السيراميك فإنها لا تتلون مع الوقت..
طريقة عملها:
في الزيارة الأولى يتم اخذ قياسات دقيقة للأسنان وكتابة بعض الملاحظات عند ملف المريض كما يمكن اخذ بعض الصور الفوتوغرافية..
يتم إرسال كل هذه المقاسات والمعلومات للمعمل لعمل اللومنير..
بعد أن ينجز المعمل هذه الطبقات تعاد إلى الطبيب خلال فترة مابين أسبوع وعشرة أيام..
في الزيارة الثانية للعيادة يقوم الطبيب بتركيبها بدقة وعناية على الأسنان بفترة وجيزة لنحصل على ابتسامة رائعة وأسنان بيضاء جميلة..
الفـيـنــير: وهي أيضا قشرة من البورسلان (السيراميك) سماكتها تقريبا 0.5 مم تثبت على الأسطح الظاهرة للأسنان لتغير لونها إلى الأبيض وللحصول على ابتسامة جميلة .. وتستخدم في حالات عدة منها:
الأسنان ذات اللون الداكن:التي لا يمكن أن تستجيب إلى التبييض.
الأسنان المكسورة: سواء بسبب التسوس أو الحوادث أو غيرها فيمكن للفينير أن يعوض
عنها بشكل ولون رائعين..
المسافات بين الأسنان: يمكن للفينير أن يغلق المسافات بين الأسنان ويعطي ابتسامةجذابة.
ازدحام الأسنان:عادة يكون علاج الازدحام بالتقويم وهذا يتطلب وقت سنةأوأكثر.ولزيارات
دورية وعديدة للطبيب فلاختصار الزمن والوقت يمكن وضع هذه القشور (الفينير) لتعديل ازدحام الأسنان خلال فترة وجيزة جدا أسبوع تقريبا ولهذا يطلق عليه البعض بالتقويم الفوري.
كيفية عملها:
1.اخذ مقاسات أولية وإرسالها للمعمل لعمل قشر مؤقتة..
2.ويتم تحضير لإزالة جزء من (السطح الأمامي) الظاهري للأسنان بمقدار 0.5 ملم أي بمقدار سماكة القشرة التي ستضعها
3.اخذ طبقات رقيقة مع بعض الصور أن ألزم وإرسالها للمعمل..
4.بعد أسبوع آو عشرة أيام تكون الفينير جاهزة بحيث يتم تثبيتها بسهولة وسرعة في فم المريض..
5.يمكن طبعا خلال الفترة بين التحضير وتثبيت القشرة وضع القشور المؤقتة حتى يتم حماية السن وعدم تعرضه للتغيرات الفموية من برودة وحرارة..
مميزاتها:
تغيير القشرة التجميلية (الفينير) من العلاجات الأكثر جمالا مع بقية علاجات الأسنان في الطب الحديث حيث تعطي لونا ابيضا وشكلا متجانسا للأسنان..
تتأقلم اللثة بصورة جيدة مع مادة القشرة..
تعتبر القشرة محافظة لمادة الميناء السنية مقارنة مع العلاجات الأخرى كالتلبيسات..
لا تتصبغ مع الوقت نتيجة شرب القهوة أو الشاي أو التدخين ..
لا تحتاج للتبييض في المستقبل لكنها تحتاج للتنظيف الجيد بالفرشاة والعناية المنزلية الممتازة..
<<
اغلاق
|
|
|
|
|
أسنانك، غالبا ما توضع على الوجه الخارجي للأسنان العلوية الأمامية.تصنع و تلصق هذه القشرة لتغير لون الأسنان أو حجمها بهدف تحسين شكل الأسنان ومظهر الابتسامة. يمكن صنع القشرة التجميلية من البورسلان أو من الحشوة البيضاء. القشرة المصنوعة من البورسلان تعد أفضل لأنها تقاوم البقع بشكل أفضل ويمكن أن تعكس الصفاء بشكل أفضل كالأسنان الطبيعية . ناقش طبيب أسنانك عن نوع القشرة التجميلية الذي يناسبك.
ما هي المشاكل التي تعالجها القشرة التجميلية؟
تغير لون الأسنان: يمكن للعديد من الأسباب أن تغير لون الأسنان،التسوس.
الأسنان المتشققة أو المكسورة: نتيجة للصدمات، للتسوس أو غيرها من الأسباب.
وجود مسافات بين الأسنان: يمكن القشرة أن تغلق هذه المسافات.
الأسنان غير مرتبة في صف واحد.
ما هي مميزات القشرة التجميلية؟
1. تعطي القشرة التجميلية لونا ناصعا متجانسا مع بقية الأسنان.
2. تتأقلم اللثة بصورة جيدة مع مادة البورسلان.
3. تعتبر القشرة وسيلة فعالة لتجميل الأسنان وغير مدمرة لطبقة المينا أو للأسنان بالمقارنة مع علاج الحشوة البيضاء التي يمكن استخدامها لتغير أو تحسين شكل الأسنان .
3. لأن تحضير السن للقشرة يتطلب إزالة جزء من طبقة المينا قد يصبح السن أكثر حساسية للبرودة أو الحرارة.
4. قد لا تطابق القشرة التجميلية لون أسنانك تماما. تجدر الإشارة هنا أن لون القشرة لا يتغير بعد وضعه، لذلك إذا أردت تبيض أسنانك عليك فعل ذلك قبل وضع القشرة.
5. يمكن للقشرة التجميلية أن تسقط من مكانها. بالرغم من ندرة حدوث ذلك إلا أنه يفضل إلا تعض على أظافرك أو على أقلام أو عض أي شيء شديد الصلابة. إذا اضطررت إلى عض أجسام صلبة حاول استخدام أسنانك الطبيعية.
6. يمكن طحن الأسنان قد يؤدي إلى تشقق القشرة أو سقوطها من مكانها.
كم يمكن أن تعيش القشرة التجميلية؟
بشكل عام يمكن أن تعيش القشرة ما بين 5 - 7 سنوات بعد ذلك يجب تبديل القشرة.
هل تتطلب القشرة عناية خاصة؟
لا . اتبع خيط الأسنان وزيارة طبيب الأسنان كل ستة أشهر.
بالرغم من أن القشرة التجميلية المصنوعة من البورسلان تقاوم البقع قد أن يطلب منك طبيب أسنانك التقليل أو الامتناع عن التدخين أو تناول المؤكلات أو المشروبات التي تسبب تلون أو تبقع الأسنان.
حشوة بيضاء أو بوضع تاج. يتم استخدام الحشوة البيضاء في حال كون التبقع أو التسوس طفيفا أو صغيرا. أما التاج فيستخدم في حال كون السن متسوسا بشكل كبير. تستخدم القشرة، كحل وسط للأسنان المتبقعة أو المتسوسة بشكل متوسط على السطح الأمامي فقط
<<
اغلاق
|
|
|
|
|
يحملها نجوم هوليود، والتي تشمل لثة زهرية سليمة وأسنان بيضاء متراصة وشفاه متناسقة، فالتناغم بين هذه الأمور الثلاثة ومدى تناسقها مع الوجه، هو سر الابتسامة الهوليودية كما يسميها البعض، وهناك العديد من المعاييرالتي قام بتطويرها أهم اختصاصيي التجميل في طب الأسنان، والتي تتحكم أيضاَ بشكل هذه الابتسامة، فشكل الأسنان «الطول والعرض واللون» سيتم اختياره، بناءً على دراسة تفاصيل الوجه ولون البشرة ونوع الجنس...الخ، فمها كانت المشكلة التي تعانيها أسنانك، سيتم علاجها بخطوات بسيطة ومريحة خلال بضعة أيام فقط، من خلال:
· الوجوه الخزفية «فينير»
الفينير veneer: هو عبارة عن قشرة أو قطعة قليلة السمك تكون بلون أسنانك، غالبا ما توضع على الوجه الخارجي للأسنان العلوية الأمامية.
تصنع و تلصق هذه القشرة لتغير لون الأسنان أو حجمها بهدف تحسين شكل الأسنان ومظهر الابتسامة.
يمكن صنع القشرة التجميلية من البورسلان أو من الحشوة البيضاء.
القشرة المصنوعة من البورسلانتعد أفضل لأنها تقاوم البقع بشكل أفضل ويمكن أن تعكس الصفاء بشكل أفضل كالأسنان الطبيعية .
ما هي المشاكلات التي تعالجها القشرة التجميلية؟
تغير لون الأسنان : يمكن للعديد من الأسباب أن يتغير لون الأسنان، كعلاج العصب غير المحكم أو الصدمات أو تسمم الفلورايد أو بعض المضادات الحيوية مثل التيتراسيكلن ـ Tetracyclin.
الأسنان المتآكلة: بسبب أي من العادات غير السليمة كعض القلم أو الأضافر أو طحن الأسنان ببعضها، أو بسبب التسوس.
الأسنان المتشققة أو المكسورة: نتيجة للصدمات، للتسوس أو غيرها من الأسباب.
وجود مسافات بين الأسنان: يمكن القشرة أن تغلق هذه المسافات.
الأسنان غير مرتبة في صف واحد.
ما هي مميزات القشرة التجميلية؟
تعطى القشرة التجميلية لونا ناصعا متجانسا مع بقية الأسنان.
تتاقلم اللثة بصورة جيدة مع مادة البورسلان.
-تعتبر القشرة وسيلة فعالة لتجميل الأسنان وغير مدمرة لطبقة المينا
أو الأسنان بالمقارنة مع علاج التيجان والجسور.
ما هي عيوب القشرة التجميلية؟؟
-عملية التحضير للقشرة لارجعه فيه لايمكن لاى طبيب ارجاع أسنانك كما كانت قبل بداية الحفر.
-القشرة أكثر كلفة من الحشوة البيضاء التى يمكن استخدامها لتغيير أو تحسن شكل الأسنان.
-لأن تحضير السنة للقشرة يتطلب ازالة جزء من طبقة المينا حتى يصبح السنة اكثر حساسية للبرودة أو الحراة.
-قد لاتتطابق القشرة لون اسنانك تماما,تجدر هنا الاشارة أن لون القشرة لايتغير بعض وضعها لذلك اذا أردات تبيض اسنانك عليك فعل ذلك قبل وضع القشرة.
-يمكن للقشرة التجميلية ان تسقط من مكانهاعلى الرغممن ندرة ذلك يتوجب عليكعدم عض اظافرك أو اشياء شديدة الصلابة.
-يمكن للتسوس ان يحل على السن الحامل لقشرة التجميل.
-لا تعد القشرة التجميلة علاجا مجزيا للمصابين بأمراض اللثة
كم يمكن أن تعيش القشرة التجميلية؟
بشكل عام يمكن أن تعيش القشرة ما بين 5 - 7 سنوات بعد ذلك يجب تبديل القشرة.
هل تتطلب القشرة عناية خاصة ؟
لا . اتبع إرشادات نظافة الفم والأسنان. كتفريش الأسنان مرتين في اليوم على الأقل واستخدام خيط الأسنان وزيارة طبيب الأسنان كل ستة أشهر.
بالرغم من أن القشرة التجميلية المصنوعة من البورسلان تقاوم البقع قد يطلب منك طبيب أسنانك التقليل أو الامتناع عن التدخين أو تناول المؤكلات أو المشروبات التي تسبب تلون أو تبقع الأسنان.
هل هناك بديل للقشرة التجميلية ؟
نعم، يمكن تجميل الأسنان الأمامية بوضع حشوة بيضاء أو بوضع تاج. يتم استخدام الحشوة البيضاء في حال كون التبقع أو التسوس طفيفا أو صغيرا. أما التاج فيستخدم في حال كون السن متسوسا بشكل كبير. تستخدم القشرة، كحل وسط للأسنان المتبقعة أو المتسوسة بشكل متوسط على السطح الأمامي فقط .
هذه الطريقة يستخدمها عدد كبير جدا
من الأشخاص الذين يظهرون على شاشات التلفزة،
من مذيعي ومذيعات وممثلين وممثلات ومغنيين ومغنيات
وهذه الطريقة أفضل من تبييض الأسنان،
لانها تعطي درجة عالية من البياض، لا يمكن تحقيقها في عمليات التبييض
وإن حدث ذلك فعلى حساب صحة السن
وتجنب المريض وأسنانه بعض مخاطر التبييض
ويمكن لأي طبيب أسنان درس موضوع الفنيير ان يقوم بعمله
ولكني أنصح باللجوء إلى الاخصائيين
والأخصائي الذي يقوم بهذا العمل يسمى أخصائي استعاضة سنية
من الصعب أن تزال أو تسقط القشرة لوحدها،
إذا تم تثبيتها بشكل صحيح وسليم
لأن المادة التي تستحدم لتثبيتها هي مادة قوية جدا،
حتى الطبيب لا يمكن أن يزيلها ويخرجها قطعة واحدة متماسكة
إذ أنها ستتكسر بسبب رقتها وقلة سماكتها
فوائد الأوجة الخزفية :
1- تغطية الآلوان الداكنة والتصبغات الموجودة على الأسنان واكسابها لون فاتح لا يتغير على مدى العمر.
2- سد الفراغات الموجودة بين الآسنان الأمامية بدون الحاجة للتقويم ( للحالات البسيطة ) .
3- تجميل حجم الآسنان .
- ومن أهم ميزات الوجوه الخزفية:
أولاً: أنها دائمة أي بمعنى آخر أن اللون الأبيض الذي نعطيه للأسنان هو بياض دائم وثابت وكذلك هو الأمر بالنسبة لحجم وشكل الأسنان.
ثانياً: إن فترة العلاج ليست طويلة فهي أسبوع واحد على أبعد تقدير وخلال زيارتين أو ثلاث على الأكثر.
ثالثاً: يستطيع المريض خلال هذه الفترة ممارسة حياته الاعتيادية وذلك بفضل التركيبات المؤقتة والتي يتم تركيبها فور البدء بالعلاج ريثما يتم الانتهاء من تحضير الأوجه الخزفية الدائمة له.
<<
اغلاق
|