|
مع الطرق التي كانت تُتبع في الماضي.
زراعة الأسنان تعرف اليوم كعلاج أبسط بكثير من ذي قبل، وذلك لأنه طريقة زراعة الأسنان قديمًا كانت معقدة، فقد كانت تتطلب الذهاب إلى المستشفيات، والانتظار طويلًا، مما كان يضطر المرضى لقضاء الكثير من الوقت في العيادة، لكن زراعة الأسنان اليوم، أصبحت علاجًا شائعًا ضمن العمليات الجمالية، فهي تتم في العديد من عيادات الأسنان خلال بضع ساعات.
طريقة زراعة الأسنان
تتم طريقة زراعة الأسنان من خلال اتباع الخطوات الآتية:
أخذ حقنة التخدير أو حبة الطمس.
بدء الطبيب بالحفر في عظمة الفك في الأماكن المعدة للزرع.
إدخال الغرسات التي تلصق بها التيجان المؤقتة داخل الثقوب الناتجة عن الحفر.
وضع التيجان النهائية عند استيعاب الغرسات في مكانها، وعندما تصبح التيجان جاهزة، يتم استدعاؤكم للعيادة لإجراء التثبيت للغرسات.
كيفية الاستعداد لزراعة الأسنان
يبدأ علاج زرع الأسنان عادةً بالآتي:
فحص شامل عند طبيب الأسنان، للتأكد من أن عملية الزرع هي الحل الأنسب.
فحص الخلفية الطبية من قبل الطبيب المختص ،وذلك إذا تقرر زرع الأسنان.
إجراء فحص التصوير بالأشعة السينية للأسنان والفكين.
إجراء فحص التصوير المقطعي المحوسب.
قيام الطبيب بأخذ قياسات للزرع.
قيام الطبيب بشرح كيفية تنفيذ عملية الزرع، وكيف يجب عليكم أن تتصرفوا في هذا اليوم؟ فإذا كنتم تعانون من الخوف الشديد من علاج الأسنان، يمكنكم استيضاح ما إذا كان بالإمكان إجراء زراعة الأسنان تحت التخدير العام، بالإضافة إلى قيامه بشرح إيجابيات وسلبيات هذا إجراء.
الهدف من زراعة الأسنان
إن زراعة الأسنان علاج يهدف إلى تصحيح الوضع الذي تكون فيه سن واحدة ناقصة أو عدة أسنان، وذلك نتيجة التعرض لضربة أو خلل أو لأي سبب آخر، حيث تُجرى عمليات زرع الأسنان في المعتاد، عندما لا تكون هناك إمكانية لإجراء علاج جذر أو تاج لإصلاح الوضع
نصائح بعد زراعة الأسنان
الجدير بالعلم أنكم ستشعرون بعد علاج زارعة الأسنان بألم، والذي سيزول في غضون يوم إلى يومين، وفي هذا الوقت يزول أيضًا التورم، كما يجب عليكم في هذه الأيام اتباع بعض النصائح التي تشمل كل من:
إجراء شطف لتطهير الفم.
أخذ المضادات الحيوية.
أخذ بضعة أيام عطلة من العمل، من أجل تسهيل عملية الشفاء.
تجنب التدخين.
أكل الأطعمة اللينة فقط.
<<
اغلاق
|
|
|
|
|
فما هي الحالات التي تستدعي سحب العصب؟ وهل من مضاعفات له؟
عملية سحب العصب هو إجراء شبه روتيني ولا يستدعي القلق، سوف نستعرض فيما يأتي أهم المعلومات التي عليك معرفتها عن هذا الإجراء الطبي:
ما هو سحب العصب؟
سحب العصب هو أحد الإجراءات الطبية العلاجية في عالم الأسنان، ويتم اللجوء إلى هذا النوع من العلاجات لإنقاذ سن يكاد أن يتآكل من التسوس، أو لإنقاذ سن تعرض لالتهاب أو تلف حاد، ويستهدف هذا العلاج لب العصب السني الذي يتواجد في داخل قناة الجذر للسن، ويتكون من مزيج من الأعصاب والأوعية الدموية.
خلال عملية سحب العصب يتم الآتي:
استئصال لب العصب السني (The Pulp) الذي تعرض للتلف أو الالتهاب بالكامل من داخل السن.
تنظيف المنطقة المحيطة به في داخل تجويف السن.
حشو السن وإغلاقه جيدًا.
رغم أن عملية سحب العصب قد تبدو مخيفة ومؤلمة، إلا أن معظم الأشخاص الذين خضعوا لها وجدوا أن المعاناة الفعلية كانت في الفترة السابقة لعملية سحب العصب، والتي قد تتضمن الكثير من المماطلة والتحمل قبل أن يقرر المريض الخضوع للعملية، أما عملية سحب العصب بحد ذاتها فهي شبيهة إلى حد كبير بعمليات حشو الأسنان العادية.
لمَ يتم اللجوء لسحب العصب؟
عندما يتضرر عصب السن ويلتهب، فإن الالتهاب الحاصل قد يتسبب بمضاعفات خطيرة إن لم يتم علاجه والسيطرة عليه في الوقت المناسب، مثل:
تكون حبوب مؤلمة وملوثة تحتوي على صديد خارج منطقة جذر السن.
تورم قد يمتد وينتشر للوجه والعنق والرأس.
تآكل العظام في المنطقة المحيطة بالسن المصاب.
تقرحات قد تخرج عن السيطرة وتنتشر إلى الجلد.
في بعض الحالات يفضل أطباء الأسنان القيام بسحب العصب والاحتفاظ بالسن الميت بدلًا من خلع السن بالكامل للأسباب الآتية:
تسهيل المضغ.
الحفاظ على إطباقة فكين سليمة.
الاحتفاظ بابتسامة طبيعية وجميلة.
حماية الأسنان المتبقية من أي ضغط إضافي.
أعراض تعني أن عليك القيام بسحب العصب
عندما تكشف صور الأشعة السينية للسن أن لب العصب السني قد تعرض للتلف، فهذا قد يعني أنه يجب الخضوع لسحب العصب، ومع بدء تلوث عصب السن والتهابه، هذه هي الأعراض المتوقع ظهورها:
ألم في السن المصاب عند تناول طعام أو شراب ساخن أو بارد.
تخلخل السن المصاب.
ألم في السن المصاب عند إطباق الفكين أو عند محاولة مضغ الطعام.
لكن في المراحل اللاحقة من التهاب عصب السن، غالبًا ما تختفي الأعراض المذكورة، فيظن المريض أن السن قد تعافى، ولكن ما حصل في الحقيقة هو انتشار البكتيريا لدرجة أنه تمكن من قتل عصب السن، ثم تبدأ الأعراض الآتبة بالظهور:
ألم عند إطباق الفكين أو المضغ.
تورم اللثة في المنطقة المحيطة بالسن المصاب.
تورم الوجه.
اكتساب السن لونًا داكنًا مع مرور الوقت.
خروج قيح وصديد من منطقة السن المصاب.
كما يجب اللجوء لطبيب الأسنان عند الشعور بأي ألم في السن لتجنب تفاقم الحالة وزيادة الأعراض سوءًا، ومن الجدير بالذكر أن المضادات الحيوية لا تجدي نفعًا عندما يتعلق الأمر بعلاج الالتهابات البكتيرية لقناة جذر الأسنان.
خطوات عملية سحب العصب
قد لا يتطلب سحب العصب أكثر من جلسة واحدة، وقد يحتاج عدة جلسات أقصاها 3 حسب حالة السن، وهذه هي الخطوات التي يتم اتباعها عادة قبل وأثناء عملية سحب العصب:
التحضير لسحب العصب
قبل بدء العملية يتم التحضير لها جيدًا عبر اتباع الخطوات الآتية:
يتم تصوير السن المتضرر بالأشعة السينية، لتحديد شكل قناة الجذر ومعرفة ما إذا كان هناك التهاب في داخل السن أو المنطقة المحيطة به.
يخضع المريض لتخدير موضعي (وهو أمر قد لا يحتاجه كافة المرضى، خاصة الذين مات العصب السني لديهم).
يتم وضع أداة مطاطية خاصة حول السن لعزله عن باقي الفك وحمايته من التعرض للعاب الذي قد يحتوي على البكتيريا، وذلك لحماية السن من أي تلوث أثناء عملية سحب وتنظيف العصب.
عملية سحب العصب
بعد أن يقوم الطبيب باستكمال التحضيرات السابقة، تبدأ العملية الفعلية لسحب العصب، والتي تتضمن الخطوات الآتية:
يقوم الطبيب بفتح السن بحفارة خاصة حتى يصل إلى قناة الجذر ولب العصب المتضرر.
يقوم الطبيب بإزالة لب العصب من الداخل وتنظيف قناة الجذر جيدًا باستخدام أدوات خاصة.
يتم تحضير حشوة خاصة بقوام يشبه المطاط لتملأ تجويف قناة الجذر، قبل أن يتم إغلاق قنوات الجذر التي تم علاجها بمادة خاصة، وذلك بعد أخذ كافة القياسات الداخلية الضرورية لقناة الجذر.
يتم تركيب تاج للسن، خاصة في الحالات التي يكون السن فيها قد تآكل تمامًا، وتصنيع وتركيب تاج السن قد يحتاج عدة أيام أو أسابيع ريثما يقوم فني المختبر بتجهيز السن بعد أخذ قياساته.
مضاعفات ومشاكل سحب العصب
مثل أي إجراء طبي، قد يتخلل عملية سحب العصب مجموعة من المضاعفات أو التعقيدات، هذه قائمة بأهمها:
قد لا يتم علاج كافة القنوات بشكل صحيح، أو قد تتعرض قنوات الجذور لتلوث غير مقصود، أو قد لا تدخل الحشوة في كافة فراغات قنوات الجذور كما يجب، هذه الأمور سوف تتسبب بعودة الألم والالتهاب من جديد، وسحب العصب مرة أخرى.
قد تتسبب الأدوات المستخدمة أثناء عملية سحب العصب بحدوث شق في جذر السن أو قد تنكسر هذه الأدوات أثناء عملية حفر وتنظيف قناة الجذر، الأمر الذي سوف يجعل عملية سحب العصب أكثر تعقيدًا.
قد يضطر الطبيب لتحويل عملية سحب العصب البسيطة إلى عملية جراحية معقدة بعض الشيء أحيانًا.
قد يتغير لون السن الذي خضع لسحب العصب بشكل تدريجي ليصبح داكنًا مع الوقت، وهو أمر من الممكن أن يحصل بعد موت العصب وقبل الخضوع لعلاج سحب العصب، أو قد يحصل بعد الخضوع للعلاج.
الوقاية قبل علاج سحب العصب
لحماية السن وعصب السن من التلف الذي يستدعي الخضوع لعملية سحب العصب، يجب الحرص على اتباع الإجراءات الوقائية الآتية:
تنظيف الأسنان بفرشاة مناسبة ومعجون يحتوي على الفلورايد مرتين يوميًا على الأقل.
استعمال خيط الأسنان وغسول الفم الطبي مرة واحدة يوميًا على الأقل.
زيارة طبيب الأسنان بشكل دوري مرتين على الأقل سنويًا.
الخضوع لتنظيف أسنان طبي في عيادة الطبيب مرة واحدة سنويًا على الأقل.
اتباع حمية غذائية شبه خالية من السكريات والأطعمة المعالجة.
<<
اغلاق
|
|
|
|
|
على ماهيته وأسبابه وأعراضه وطرق علاجه وكيفية الوقاية منه في المقال.
فلنتعرف في ما يأتي على كافة المعلومات الهامة عن التهاب عصب الأسنان:
ماذا يقصد بالتهاب عصب الأسنان؟
التهاب عصب السن هو التهاب بكتيري أو فيروسي يصيب عصب السن، وعصب السن هو عصب يمتد من الجهاز العصبي إلى جذور السن، ويحتوي على أوعية دموية ونسيج داعم.
عادةً يمتد الالتهاب الحادث في العصب إلى المناطق المجاورة له، ليصل إلى منطقة المينا والعاج مؤديًا إلى ألم الأسنان الشديد.
أسباب التهاب عصب الأسنان
تتمثل أسباب التهاب عصب الأسنان في ما يأتي:
إهمال نظافة الفم والأسنان.
إصابة السن بالتهاب، وتركه دون علاج ليمتد لاحقًا إلى العصب.
التعرض لكسور مختلفة تصل إلى لب السن وعصبه.
إصابة اللثة بالالتهاب قد يصل إلى جذور الأسنان، ومنها يصل إلى لب الأسنان وعصبها.
إهمال علاج تسوس الأسنان مما يسبب التعرض إلى مشكلة التهاب عصب الاسنان.
أعراض التهاب عصب الأسنان
تترافق الإصابة بالتهاب عصب الأسنان مع عدد من الأعراض المختلفة، ومن أبرزها الاتي:
الإصابة بألم شديد في السن بشكل متواصل.
حدوث انتفاخ وتورم في اللثة.
حدوث خراج في الأسنان أو اللثة، والخراج يعرف بأنه قيح ذو لون أصفر ورائحة كريهة.
كيفية علاج التهاب عصب الأسنان
علاج التهاب عصب الأسنان يتم بثلاثة طرق مختلفة، كما الاتي:
علاج المسبب
عند علاج المسبب الرئيس لالتهاب عصب الأسنان فإن العصب يشفى تمامًا ويختفي الألم، وغالبًا هذه الحالة تنجح في حال مراجعة الطبيب فور الشعور بالألم الخفيف قبل أن يصبح شديد.
غالبًا يكون المسبب في هذه الحالة:
تسوس الأسنان: ويعالج بوضع التلبيسات.
التهاب اللثة: ويعالج بالأدوية المضادة للجراثيم.
سحب العصب والتخلص منه
إذ كان العصب جدًا متضرر ولا يوجد أي نسبة محتملة في علاجه فيتم سحب العصب للتخلص من التهاب عصب الأسنان بشكل قطعي، وإصلاح السن، ويتم ذلك باتباع الخطوات الاتية:
ينظف الطبيب في البداية السن من التسوس بشكل كامل.
يقوم الطبيب بعمل فتحة في السن للوصول إلى حجرة العصب.
يعمل الطبيب على سحب العصب والأنسجة المتضررة بأدوات خاصة وبدقة متناهية، حيث ينظف الطبيب جميع القنوات في العصب السني؛ وذلك لأن نسيان تنظيف أي جزء يؤدي إلى عودة الالتهاب والألم مجددًا، ومع تطور الأجهزة المستخدمة أثناء العملية أصبح الأمر أسهل، فالأشعة السينية تستخدم لتحديد عمق الجذور وبالتالي تنظيف كامل اللب.
يعمل الطبيب على حشو السن بحشوة مؤقتة إلى حين تجهيز الحشوة الدائمة والتي تدعى التاج الصناعي.
يقوم الطبيب بإجراء عدة جلسات تتطلب القيام بحشو العصب والسن كاملًا، وقد يضيف الطبيب وتدًا على السن المصاب إذا كان متاكلًا جدًا.
قلع السن
هو خيار يرغبه المريض كثيرًا، كونه خيار سريع وغير مكلف ومفعوله فوري، لكن غالبًا يحتاج المريض إلى علاج التهاب عصب الأسنان بالمضادات حتى يتمكن الطبيب من قلع السن دون قلق من انتشار الالتهاب وزيادة الألم.
هذه الطريقة بالرغم من إيجابيتها المعتقدة من قبل المريض إلا أنها طبيًا جدًا سلبية، فهي تؤدي إلى الاتي:
خسارة سن، وهذا جدًا مضر في العملية الهضمية.
الضغط سيصبح على اللثة مما يزيد احتمالية أمراض اللثة.
الوقاية من التهاب عصب الأسنان
للوقاية من التهاب عصب الأسنان تتبع الإرشادات الاتية:
المحافظة على نظافة الفم والأسنان، وذلك من خلال تنظيفهما بشكل يومي.
استعمال المواد الفعالة في تنظيف الأسنان من حيث المعجون والفرشاة.
استخدام الخيط والغسول الملائم.
مراجعة الطبيب مرتين سنويًا.
<<
اغلاق
|
|
|
|
|
الأسنان التالفة نتيجة الإصابة بعدوى جرثومية مزمنة في الأنسجة المحيطة بالسن.
مخاطر إجراء العملية
يرتبط إجراء عملية زرع الأسنان ببعض المخاطر، مثل ما يأتي:
عدوى في الشق الجراحي.
نزيف مكان العملية.
فرط التحسس تجاه أدوية التخدير.
فقدان الإحساس وخدر في الفم.
الحساسية تجاه الحرارة.
ما قبل إجراء الجراحة
في ما يأتي إجراءات تتبع قبل الجراحة:
تتم معظم عمليات زراعة الأسنان تحت تأثير التخدير الموضعي فقط، ويمكن إجراءها في بعض الأحيان تحت تأثير التخدير العام.
يجب عمل إجراء فحص تصوير للأسنان، وقد يطلب الطبيب إجراء صورة بانوراميّة للأسنان لتشخيص المشكلات التي لا يمكن رؤيتها من خلال الفحص الاعتيادي.
يُطلب من الأشخاص الذين يعانون من اضطرابات في تخثر الدم إجراء فحوصات لوظائف تخثر الدم قبل العملية؛ لأنهم أكثر عُرضة للإصابة بنزيف.
يقوم الطبيب بإعطاء بعض المضادات الحيوية للأشخاص الذين يكونون أكثر عُرضة للإصابة بالتهاب الشغاف (Endocarditis)، مثل: الأشخاص ذوي الصمامات الاصطناعية، والذين يعانون من نقص في المناعة.
يتم إجراء مجموعة من الاختبارات الأولية لإنشاء مبنى سن ذو لون وملمس مشابه قدر الإمكان للأسنان الأصلية، وفي بعض الحالات تكون هناك حاجة للقيام بعلاجات مسبقة قبل زراعة الأسنان لإنشاء منطقة مناسبة في الأنسجة لغرس الأسنان الجديدة.
أثناء إجراء العملية
يقوم طبيب أسنان متخصص في زراعة الأسنان وجراحة الفم والفك بإجراء العملية تحت ظروف معقمة، كما يأتي:
يتم تخدير المريض بواسطة حقنه بمخدر موضعي في منطقة دواعم السن.
يمكن البدء بعملية زرع الأسنان إذا كان العظم على استعداد لتلقي الزرع، حيث يتم تثبيت المسامير المعدنية اللولبية بعظم الفك.
تبدأ عمليات إعادة البناء عن طريق أخذ القياسات وإنشاء مجموعة الغرسات الملائمة، وعادةً ما يتم الانتظار لمدة 6 أسابيع على الأقل حتى تلتئم الأنسجة قبل تركيب الأسنان النهائي.
ما بعد إجراء الجراحة
أمور مهمة بعد الجراحة في ما يأتي:
يجب على المريض تجنب الأكل والشرب لمدة ساعتين بعد الجراحة أي حتى ينتهي تأثير التخدير.
قد يشعر بألم في المنطقة خصوصًا في اليوم الأول بعد زرع الغرسات المعدنية؛ لذلك يمكنه استخدام المسكنات حسب الحاجة.
يجب العناية بالأسنان وتنظيف الفم بشكل منتظم، وذلك باستخدام فرشاة ناعمة لمنع إصابة دواعم السن، وأدوات التنظيف الأخرى للحصول على أفضل نتيجة للعملية.
يجب على المريض التوجه للطبيب بشكل فوري في حال ظهور بعض الأعراض، مثل: ارتفاع في درجة الحرارة، وألم شديد، ونزيف، وإفرازات موضعية من الفم.
<<
اغلاق
|
|
|
|
|
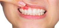
إلى تهيج الفم من الداخل وظهور تورم مملوء بالقيح يعرف بالخراج.
وفي حال تجمع القيح بشكل أكبر سيصبح التورم أكبر حجمًا وأكثر ألمًا، لذلك يجب اللجوء إلى الطبيب في أسرع وقت ممكن وبالأخص لأن خراج اللثة لا يختفي من تلقاء نفسه إلا بمساعدة طبية.
أنواع خراج اللثة
ينقسم خراج اللثة إلى نوعين أساسيين، وهما:
خراج دواعم السن (Periodontal abscess): يحدث هذا النوع في أنسجة اللثة.
الخراج حوائط الذروة (Periapical abscess): هذا النوع يحدث داخل السن نفسه ويعد أكثر خطورة من النوع السابق، ويتطلب علاجه علاج قناة الجذر وغيرها حسب الحالة.
أعراض خراج اللثة
تتفاوت أعراض خراج اللثة من شخص إلى اخر وأيضًا حسب حجم التورم، وتشمل أهم هذه الأعراض ما يأتي:
ألم عميق يظهر بشكل مفاجئ.
ظهور رائحة كريهة للفم.
تمدد الغشاء المخاطي فوق الخراج.
تورم واحمرار اللثة.
قيح متراكم بسبب الضغط الشديد على اللثة.
خفقان في منطقة الفم.
ألم في الأسنان.
صعوبة مضغ الطعام.
ألم عند تنظيف الأسنان.
تورم الغدد الليمفاوية في الرقبة مصحوب بحمى وألم عند البلع.
ضغط على الجيوب الأنفية.
أسباب خراج اللثة
هناك العديد من الأمور المسببة لخراج اللثة، وأبرزها:
تراكم البلاك والبكتيريا في الفم.
عدم الاهتمام بنظافة الفم والأسنان، حيث تسبب الأحماض الناجمة عن البكتيريا ضرر في اللثة والأسنان، مثل: أمراض اللثة وتسوس الأسنان.
تناول كميات كبيرة من الأطعمة والمشروبات النشوية والسكرية، الأمر الذي يساعد على نمو البكتيريا في الفم.
إصابات اللثة أو إجراء جراحة فيها، بحيث تدخل البكتيريا إلى الأجزاء التالفة من اللثة.
ضعف جهاز المناعة، بالأخص لدى الأشخاص الذين يعانون من داء السكري أو الأشخاص الذين يتلقون علاج كيميائي أو علاج بالأدوية الستيرويدية.
علاج خراج اللثة
هناك طرق عديدة يمكن اللجوء إليها للتعامل مع خراج اللثة، ومنها:
المضادات الحيوية: تساعد على وقف العدوى والتحكم في نمو البكتيريا في اللثة.
العلاجات الموضعية: تخفف الألم والحساسية التي يسببها خراج اللثة.
تنظيف الفم العميق: يساعد على التئام اللثة، ويزيل البلاك المتراكم في الفم.
تصريف الخراج: يتم اللجوء إلى هذا الإجراء للتخلص من القيح والتورم الموجود في اللثة.
كيف أتجنب الإصابة بخراج اللثة؟
حتى تتجنب الإصابة بخراج اللثة مجددًا، يجب عليك اتباع النصائح الاتية:
حافظ على نظافة فمك دائمًا واستخدم الفرشاة والخيط لتنظيفها مرتين في اليوم على الأقل، وبهذا يمكن أن تتلافى تراكم البلاك أو تشكل خراج اللثة، وفي حال كنت تعاني من الأساس من خراج اللثة فعليك تنظيفها بلطف حتى تتجنب النزيف.
ابتعد عن المشروبات السكرية والأطعمة المصنعة قدر الإمكان.
تجنب التدخين لأنه يؤثر على عمل الجهاز المناعي ويقلل من فاعلية الأدوية المستخدمة للعلاج.
استخدم غسول الفم، ولكن لا تسرف في استخدامه لأنه يسبب الالتهاب والتهيج والجفاف، ويمكنك استبداله بالماء والملح وكرر استخدام هذه المضمضة 3 مرات في اليوم.
استعن ببيروكسيد الهيدروجين لتقلل من نمو البكتيريا في فمك، ولكن كن حذرًا عند استخدامه.
<<
اغلاق
|
|
|
|
|
صديد يمكن أن يتشكل فى أجزاء مختلفة من السن نتيجة لعدوى بكتيرية، إذا ترك الخراج دون علاج، فقد تتحول إلى حالة خطيرة تهدد الحياة
خراج الاسنان خراج الاسنان
انواع خراج الأسنان
وفقا لموقع " healthline " هناك أنواع مختلفة من خراجات الأسنان تعتمد على الموقع، ولكن الأنواع الثلاثة الأكثر شيوعًا هي:
- الخراج المحيطي: وهو خراج فى نهاية الجذر من السن.
- خراج جذور الاسنان: هذا الخراج الموجود على اللثة بالقرب من جذر السن، وقد ينتشر أيضًا إلى الأنسجة والعظام المحيطة.
- خراج اللثة: وهو الخراج الذى يظهر على اللثة.
أسباب خراج الأسنان
دخول البكتيريا فى الأسنان أو اللثة يؤدى إلى ظهور الخراج فى الأسنان، ومع ذلك كل نوع له أسبابه:
- الخراج المحيطي: يحدث عندما تدخل البكتيريا إلى اللب داخل أسنانك ، عادة من خلال التجويف، حيث يشير اللب إلى الجزء الداخلى الناعم من السن الذى يتكون من الأعصاب والأنسجة الضامة والأوعية الدموية.
- خراج جذور الأسنان:عادة ما تتسبب أمراض اللثة فى هذا النوع من الخراج ولكن يمكن أن يكون أيضًا نتيجة للإصابة.
- خراج اللثة: قد يحدث نتيجة دخول جسم غريب مثل فرشاة الأسنان واندماجها فى اللثة.
خراج الاسنان1 خراج الاسنان
أعراض خراج الأسنان
أحد الأعراض الرئيسية لخراج الأسنان هو الخفقان بالقرب من الأسنان أو اللثة، يحدث الألم عادة فجأة ويزداد سوءًا مع مرور الوقت، كما تشمل الأعراض الأخرى:
- ألم عند المضغ أو العض.
- احمرار الوجه والتورم.
- تورم واحمرار اللثة.
- حساسية الأسنان.
- رائحة الفم الكريهة.
- طعم كريهة فى فمك.
- ضعف أو تضخم الغدد الليمفاوية فى رقبتك أو تحت فكك.
كيف يتم علاج خراج الأسنان
يركز علاج خارج الأسنان على إزالة العدوى وتخفيف الألم. اعتمادا على الأعراض الخاصة بك ، قد يبدأ طبيب الأسنان بالأشعة السينية للأسنان والتى تساعده فى معرفة ما إذا كانت العدوى قد انتشرت إلى مناطق أخرى.
اعتمادًا على نوع وشدة الخراج ، تشمل خيارات العلاج ما يلي:
القضاء على الخراج: سيقوم طبيب الأسنان بعمل قطع صغير فى الخراج لتصريف الصديد منه، ثم تنظيف المنطقة بمحلول ملحي.
استخراج الأسنان التالفة: فى حالة تلف الأسنان بشدة قد يقوم طبيب الأسنان بإزالتها قبل تجفيف الخراج.
تناول المضادات الحيوية: إذا انتشرت العدوى خارج منطقة المصابة أو كنت تعانى من ضعف الجهاز المناعى ، فقد يصف لك طبيب الأسنان المضادات الحيوية عن طريق الفم للمساعدة فى إزالة العدوى.
<<
اغلاق
|
|
|
|
|
وعندما يؤدِّي هذا المفصل وظيفتَه بطريقة صحيحة، يستطيع الإنسان أن يتكلَّم ويمضغ ويتثاءب. أمَّا الأشخاص الذين يعانون من خَلَل وظيفة المفصل الصدغي الفكِّي، فقد تؤدِّي المشاكل الموجودة في المفصل وفي العضلات المحيطة به إلى إصابتهم بما يلي:
•ألم ينتشر عبر الوجه أو الفكِّ أو الرقبة.
•تصلُّب عضلات الفكِّ.
•تحدُّد الحركة أو سوء إطباق الفكِّ.
•طقطقة مؤلمة في الفكِّ.
•تغيُّر في طريقة إطباق الفكِّين السفلي والعلوي.
قد يزول ألمُ الفكِّ ببعض المُعالجة أو من غير علاج؛ ويمكن أن تتضمَّن المُعالجة أشياء بسيطةً يستطيع المرء أن يفعلها بنفسه، وذلك من قبيل تناول الأطعمة الليِّنة فقط أو وضع كمادات باردة على مفصل الفك. وقد يُضاف إلى ذلك تناول بعض الأدوية المُسكِّنة أو وضع جهاز تثبيت داخل الفم. ولكن، قد يحتاج المريضُ إلى إجراء عملية جراحيَّة في بعض الحالات النادرة.
مقدمة
الاضطراباتُ الصدغية الفكِّية هي مجموعةٌ من المشكلات الطبِّية المرتبطة بالمفصل الفكِّي.
يمكن للاضطرابات الصدغية الفكِّية أن تسبِّب صداعاً وألماً في الأذن، ومشكلات في الإطباق، وأصوات طقطقة، وسوء إطباق للفكِّ، وغير ذلك من الأعراض التي يمكن أن تؤثِّر في نوعية حياة المريض.
يشرح هذا البرنامجُ التثقيفي اضطرابات المفصل الصدغي الفكِّي، ويستعرض تشريح الفكِّ، كما يناقش أعراض تلك الاضطرابات وأسبابها وتشخيصها وخيارات مُعالجتها.
تشريح المفصل الفكي الصدغي
يربط المفصلُ الصدغي الفكِّي الفكَّ السفلي بعظم الصدغ على جانبي الجمجمة، ممَّا يعني أنَّ هناك مفصلين صدغيين فكِّيين، واحد على كلِّ جانب من الفكِّ.
نظراً لمرونة المفصلين الصدغيين الفكِّيين، يمكن للفكِّ أن يتحرَّك بسلاسة إلى أعلى وإلى أسفل وإلى الجانبين، ممَّا يتيح لنا أن نتكلَّم ونمضغ ونتثاءب. وتسيطر العضلاتُ المتَّصلة بمفصل الفكِّ والمحيطة به على كلٍّ من وضعيَّته وحركته.
عند فتح الفم، تنزلق نهايتا مفصل الفكِّ السفلي المدوَّرتان اللتان تُدعيان اللقمتين، في حُقَّي المفصل أو تجويفيه الموجودين في عظم الصُّدغ.
وعند إغلاق الفم، تنزلق اللقمتان عائدتين إلى وضعهما الأصلي.
كي تبقى هذه الحركة سلسةً، هناك قرص ليِّن يقع بين اللقمتين وعظم الصدغ. وهذا القرص هو غضروف يمتصُّ صدمات المفصل الصدغي الفكِّي الناجمة عن المضغ وغيره من الحركات.
الوَتَرُ هو جزء من العضلة يربطها بالعظم.
أنماط اضطرابات المفصل الفكي الصدغي
يمكن تصنيفُ اضطرابات المفصل الصدغي الفكِّي إلى ثلاثة أصناف أساسية:
اضطرابات عضلية.
اضطرابات خَلَل المفصل.
اضطرابات المفصل التَّنَكُّسية.
الاضطرابات العضليةتضمُّ هذه الاضطرابات الألمَ في العضلات التي تتحكَّم بوظيفة الفكِّ؛ ويُدعى هذا النمطُ من الألم باسم "الألم العضلي الوجهي"، وهو الشكلُ الأكثر شيوعاً بين اضطرابات المفصل الصدغي الفكِّي.
اضطرابات خَلَل المفصلترتبط هذه الاضطراباتُ بخَلَل المفصل الصدغي الفكِّي، كخلع المفصل وانزياح القرص وإصابة العظم.
اضطرابات المفصل التنكسيةترتبط هذه الاضطراباتُ باهتراء المفصل الصدغي الفكِّي، مثلما يحصل في التهاب المفصل؛ وهي تؤدِّي إلى تدمر الغضروف الذي يغطِّي المفصل الصدغي الفكِّي.
أسباب اضطرابات المفصل الفكي الصدغي
قد تنجم اضطراباتُ المفصل الصدغي الفكِّي عن حدوث إصابات، وعن اهتراء ناجم عن التقدُّم في العمر، وعن عوامل سلوكية.
يمكن لإصابة شديدة في المفصل الصدغي الفكِّي أن تؤدِّي إلى اضطرابه؛ فعلى سبيل المثال، يمكن أن تؤدِّي ضربةٌ قوية على الفكِّ إلى كسر عظامه أو تضرُّر القرص، وقد تُدمر حركة المفصل السلسة، وتُسبِّب الألم أو سوء إطباق المفصل.
يمكن لاهتراء المفصل الصدغي الفكِّي، بسبب التقدُّم في العمر، أن يسبِّب اضطرابات في المفصل، كالتهاب المفصل مثلاً. كما يمكن لالتهاب مفصل الفكِّ أن يحدث بسبب إصابة أيضاً.
يمكن أن تسبِّب تصرُّفات أو حالات معيَّنة، في بعض الأحيان، اضطرابات في المفصل الصدغي الفكِّي؛ فعلى سبيل المثال، قد يؤدِّي مضغ العلكة المتواصل لدى بعض الأشخاص إلى اضطرابات في المفصل الصدغي الفكِّي.
يمكن للضغط على الأسنان والشدِّ عليها أن يزيد من اهتراء غضروف المفصل الصدغي الفكِّي؛ وهذا ما قد يؤدِّي إلى ألم في الأذن والفكِّ. وفي بعض الأحيان، يعمد الأشخاص الذين يعانون من التوتُّر النفسي إلى الضغط على أسنانهم والشدِّ عليها.
يمكن لسوء إطباق الفكِّين، أو اتِّباع عادات خاطئة في مضغ الطعام، أن يدفع الشخص إلى استخدام جانب واحد من الأسنان في عملية المضغ، ممَّا قد يسبِّب اضطرابات في المفصل الصدغي الفكِّي.
العلامات والأعراض
هناك مجموعة متنوِّعة من الأعراض التي ترتبط باضطرابات المفصل الصدغي الفكِّي. ويكون الألم، خاصَّةً في عضلات المفصل الصدغي الفكِّي، هو العرض الأكثر شيوعاً.
ومن بين الأعراض الأخرى لاضطرابات المفصل الصدغي الفكِّي:
تحدُّد الحركة أو سوء إطباق الفك.
ألم في الوجه أو الرقبة أو الكتفين.
طقطقة مؤلمة في الفكِّ عند فتح الفم أو إغلاقه.
تغيُّر مفاجئ وكبير في طريقة إطباق الفكَّين السفلي والعلوي.
تظهر، في بعض الأحيان، أعراض مثل الصُّداع وألم الأذن والدُّوار ومشكلات السمع، وتكون مرتبطة باضطرابات المفصل الصدغي الفكِّي.
من تظهر لديهم طقطقةٌ في مفصل الفكِّ، يكون القرص لديهم في وضع غير سويٍّ على الأرجح. لكن لا حاجة للمعالجة ما دام القرصُ المنزاح لا يسبِّب ألماً أو مشكلات أخرى.
من الشائع كثيراً أن يشعر المرءُ بانزعاج في مفصل الفكِّ أو عضلات المضغ، وهذا لا يدعو إلى القلق في العادة. غير أنَّ مراجعة الطبيب تصبح ضرورية إذا كان الألم شديداً أو إذا استمرَّ طويلاً.
تشخيص مشاكل المفصل الفكي الصدغي
يمكن أن يكون تشخيص اضطرابات المفصل الصدغي الفكِّي أمراً صعباً، لأنَّ الأسباب الدقيقة لهذه الاضطرابات وأعراضها ليست معروفة.
لا يوجد اختبارٌ معيَّن لتشخيص اضطرابات المفصل الصدغي الفكِّي. وفي معظم الحالات، يستفيد الطبيب من وصف المريض للأعراض، إلى جانب الفحص البدني البسيط للوجه والفكِّ، من أجل جمع معلومات تفيد التشخيص.
يشتمل الفحصُ البدني على تحسُّس مفصلي الفكِّ وعضلات المضغ بحثاً عن مكان الألم، وعلى الاستماع إلى أصوات الطقطقة في أثناء حركة المفصل، والبحث عن وجود حركة محدودة أو انعقال عند فتح الفم أو إغلاقه.
يعدُّ تقصِّي السوابق المرضية والسنِّية هاماً جداً. وهذا ما يوفِّر، في معظم الحالات، معلومات كافية لتحديد موضع الألم أو موضع المشكلة الفكِّية، بحيث يصبح وضعُ التشخيص ممكناً من أجل بدء المعالجة لإزالة الألم أو انعقال الفكِّ.
لا يكون تصوير الأسنان وتصوير المفصل الصدغي الفكِّي الشعاعيَّان الدوريَّان مفيدين في جميع الحالات من أجل تشخيص اضطرابات المفصل الصدغي الفكِّي؛ وقد نحتاج إلى طرائق شعاعية أخرى، مثل تصوير المفصل والتصوير بالرنين المغناطيسي والتصوير الطبقي المحوري.
علاج المفصل الفكي الصدغي
تبدأ معالجةُ اضطرابات المفصل الصدغي الفكِّي بالمُعالجات المُحافظة. وهذه المعالجاتُ بسيطة ولا تعتدي على أنسجة الوجه أو الفكِّ أو المفصل. وبما أنَّ معظم اضطرابات المفصل الصدغي الفكِّي تكون عابرة ولا تتفاقم مع الزمن، فإنَّ المعالجة المحافظة البسيطة هي كلُّ ما نحتاجه في العادة للتخلُّص من الإزعاج.
تسبِّب المُعالجاتُ غير العكوسة تغيُّرات دائمة في بنية أو وضعيَّة الفكِّ أو الأسنان.
تفيد ممارساتُ العناية الذاتية في تخفيف أعراض اضطرابات المفصل الصدغي الفكِّي، وهي تشتمل على الراحة والمعالجة بالكمَّادات الحارَّة أو كمَّادات الثلج والأدوية المضادَّة للالتهاب.
يمكن لإراحة الفكِّ أن تشفي المفصلين الصدغيين الفكِّيين. وعلى المرضى أن يتجنَّبوا مضغ العلكة، وأن يمتنعوا عن فتح أفواههم على اتِّساعها.
يمكن للكمَّادات الحارَّة وكمَّادات الثلج أن تُرخي العضلات. وتكون المعالجةُ بالكمَّادات الباردة، بعد إصابة المفصل الصدغي الفكِّي مباشرةً، أفضلَ من المعالجة بالكمَّادات الحارَّة.
يمكن للطبيب أن يصف أدوية لمعالجة الالتهاب، أو إرخاء العضلات، أو السيطرة على الألم. وإذا كان الألم خفيفاً، يمكن استخدام المسكِّنات العادية التي تُباع من دون وصفة طبِّية.
مع استخدام الدواء، قد ينصح الطبيب بمعالجة فيزيائيَّة في البيت، مع تركيز على تمارين تمطيط العضلات بلطف وإرخائها.
إذا كان الألمُ ناجماً عن الشدِّ على الأسنان بسبب الشدَّة النفسية، فإنَّ طرائق الاسترخاء الرامية إلى تخفيف الشدَّة يمكن أن تساعد على تخفيف الألم الناجم عن اضطراب المفصل الصدغي الفكِّي.
قد يوصي الطبيب بوضع جهاز معالجة فموي، وهو جَبيرة أو صفيحة للعضِّ؛ وهي واقية بلاستيكية توضَع على الأسنان العلوية أو السفلية. ويمكن للجبيرة أن تساعد على تخفيف الشدِّ على الأسنان، ممَّا يخفِّف التوتُّر العضلي.
ينبغي أن يكون استخدامُ الجبيرة الفموية لفترة قصيرة، وألاَّ يُحدث تغيُّرات دائمة في الإطباق. وإذا ما سبَّبت الجبيرة ألماً أو زادت الألم، فإنَّ على المريض أن يتوقَّف عن استخدامها ويراجع الطبيب.
من بين المعالجات غير العكوسة التي لم تثبت نجاحها (ولعلها تزيد الأمور سوءاً) نذكر تقويمَ الأسنان لتغيير الإطباق، واستخدام التيجان والجسور الهادفة إلى موازنة العضَّة، والشدَّ على الأسنان السفلية لموازنة الإطباق، أو ما يُدعى "تعديل الإطباق"، وإعادة وضع الجبائر، ممَّا يغيِّر الإطباق بشكل دائم.
تبقى المُعالجات الجراحية محلَّ خلاف، وهي غير عكوسة غالباً، وينبغي تجنُّبها ما أمكن؛ حيث لم تُجرَ حتَّى الآن اختباراتٌ سريرية مديدة لدراسة أمان المُعالجات الجراحية ونجاحها في معالجة اضطرابات المفصل الصدغي الفكِّي. وليس هناك أيضاً معايير لتحديد الأشخاص الذين من المرجَّح أن تفيدهم هذه الجراحة؛ فعلى سبيل المثال، لا يعني فشلُ الاستجابة للمعالجات المحافظة أنَّ الجراحة ضرورية بشكل تلقائي.
قد يسبِّب الاستبدالُ الجراحي للمفصلين الفكِّيين بغريستين صُنعيتين ألماً شديداً وضرراً فكِّياً دائماً. كما أنَّ بعض هذه الوسائل قد يفشل في القيام بالوظيفة المطلوبة، أو ينكسر في الفكِّ مع مرور الوقت. وإذا ما كان قد سبق للمريض أن أجرى جراحة في المفصل الصدغي الفكِّي، فإنَّ عليه أن يحذر أشدَّ الحذر من إجراء مزيد من العمليات، لأنَّ من يخضع لجراحات متعدِّدة في المفصل الفكِّي يصبح مظهرُ فكِّه بائساً عادة بالمقارنة مع المفصل السوي الذي لا ألم فيه. ولذلك، قبل إجراء أيَّة جراحة على المفصل الفكِّي، من الأهمِّية بمكان أخذ المشورة وفهم جميع المخاطر.
الخلاصة
اضطراباتُ المفصل الصدغي الفكِّي هي مجموعة من المشكلات الطبِّية المرتبطة بمفصل الفكِّ؛ ويمكن أن تُحدث صداعاً أو ألماً في الأذن أو مشكلات في الإطباق أو أصوات طقطقة أو انعقالاً للفكِّ.
لا تُسبِّب اضطرابات المفصل الصدغي الفكِّي عجزاً في العادة. ومن الممكن معالجتُها بالراحة والمُعالجة الفيزيائيَّة والأدوية.
بفضل التقدُّم الطبِّي، باتت معالجة اضطرابات المفصل الصدغي الفكِّي الأشدُّ خطورة أمراً ممكناً، ممَّا يتيح لمعظم المرضى أن يتمتَّعوا بحياة صحِّية خالية من الألم.
<<
اغلاق
|
|
|
|
|
سرطانات الفم في اللسان وفي قاع الفم. ويمكن أن يصابَ أيُّ شخص بسرطان الفم، ولكن خطر الإصابة يزداد عند الذكور فوق الأربعين من العمر الذين يدخِّنون أو يشربون الكحول أو سبق أن أُصيبوا بسرطان في الرأس أو الرقبة. كما أنَّ التعرُّضَ المتكرِّر للشمس يشكِّل عامل خطورة للإصابة بسرطان الشفة. أعراض سرطان الفم هي: • ظهور بقع بيضاء أو حمراء في الفم. • قرحة معنِّدة في الفم. • نزف من الفم. • تخلخل الأسنان. • مشاكل أو ألم عند البلع. • ظهور كتلة في العنق. • ألم في الأذن. ويمكن معالجة سرطان الفم بالجراحة أو بالمعالجة الشعاعية أو الكيميائيَّة. كما يمكن الجمع بين أكثر من طريقة للمعالجة.
مقدِّمة
يصيب سرطان الفم أيَّ جزء من جوف الفم، بما في ذلك الفمُ والشفتان، أو البلعوم الفموي، وهو الجزءُ من البلعوم الذي يشكِّل الجدار الخلفي للفم. سرطانُ الفم واحد من السرطانات الشائعة، لاسيَّما بين الرجال. يُصاب ستة من كل مائة ألف رجل بسرطان الفم كل سنة. كلما أمكن اكتشافُ سرطان الفم ومعالجته في وقت أبكر، كانت فرص نجاح المعالجة أكبر. يساعد هذا البرنامج التثقيفي على فهم سرطان الفم وخيارات علاجه فهماً أفضل.
تشريح جوف الفم
يتألَّف جوفُ الفم من الشفتين، والثلثين الأماميين من اللسان، واللثة والأسنان، ومخاطية الشدق، وقاع الفم تحت اللسان، والغدد اللعابية، والحنك الصلب.
تقوم الغدد اللعابية بإنتاج اللعاب. واللعابُ هو السائل المائي في الفم الذي يقوم بترطيب الطعام للمساعدة على هضمه. كما أنَّ اللعاب يحمي الفم من العدوى. يوجد الكثيرُ من الغدد اللعابية، ولكن الرئيسيَّة منها هي تلك الموجودة في قاع الفم قرب عظم الفك السفلي. البلعوم الفموي هو الجزء المتوسِّط من البلعوم، ويشمل الحنك اللين وقاعدة اللسان واللوزتين.
سرطان الفم
يتألَّف الجسمُ من خلايا بالغة الصغر. تنمو الخلايا الطبيعية وتموت وفق نظام مضبوط. في بعض الأحيان، تواصل الخلايا انقسامها بطريقة غير مضبوطة ممَّا يؤدِّي إلى نمو شاذ يُسمَّى الورم. إذا كان الورم لا يغزو الانسجة المجاورة والأجزاء الأخرى من الجسم، فإنه يسمَّى ورماً حميداً، أو غير سرطاني. والأورام الحميدة لا تشكِّل خطراً على الحياة في الأحوال العادية. إذا كان الورم يغزو الانسجة المجاورة أو الأجزاء الأخرى من الجسم، فإنَّه يُسمَّى ورماً خبيثاً أو سرطاناً. وتنتشر الخلايا السرطانية إلى مختلف أجزاء الجسم عبر الأوعية الدموية والقنوات اللمفية. اللمف هو سائلٌ رائق ينتجه الجسم، ويقوم بنزح الفضلات من الخلايا. وهو يسير عبر أوعية خاصة وأجسام تشبه حبات الفاصولياء تُدعى العقد اللمفية. إن السرطان الذي ينتقل من عضو إلى آخر يُسمَّى سرطاناً منتقلاً؛ فمثلاً، يمكن أن ينمو الورمُ الفموي ليصبح بحجم ثمرة الليمون، ويغزو الانسجة المجاورة مع مرور الوقت. تُسمَّى السرطاناتُ بحسب اسم العضو الذي بدأ فيه الورم؛ فالسرطانُ الذي يبدأ في جوف الفم يُسمَّى دائماً سرطان الفم، حتَّى إذا انتشر إلى أماكن أخرى.
عوامل الخطورة
من المستحيل عادة معرفةُ السبب المحدَّد للسرطان عند مريض معيَّن. لكنَّنا نعلم الأسبابَ العامَّة للسرطان. ويعرف الأطبَّاء أيضاً العوامل التي يمكن أن تزيد من فرص الإصابة بالسرطان. وهذه العوامل تُسمَّى عوامل الخطورة. معظم سرطانات الفم تنجم عن استخدام التبغ؛ فتدخين السجائر أو السيجار أو الغليون، أو استخدام التبغ غير المُدخَّن، يُسبِّب سرطان الفم. ويزداد خطرُ الإصابة بسرطان الفم مع طول مدة استهلاك الشخص للتبغ. كما أنَّ الأشخاصَ الذين يُسرفون في تناول الكحول معرَّضون أكثر للإصابة بسرطان الفم. ويزداد الخطرُ مع ازدياد كمِّية الكحول المستهلكة. يكون الأشخاص الذين يستهلكون التبغ والكحول أكثرَ تعرُّضاً لاحتمال الإصابة بسرطان الفم؛ فثلاثةٌ من كلِّ أربعة مرضى مُصابين بسرطان الفم هم ممن يستهلكون التبغ أو الكحول أو كليهما. يعدُّ فيروسُ الورم الحليمي البشري واحداً من الأمراض التي تنتقل عن طريق الجنس، ويمكن أن يسبِّب الثآليل التناسلية. ويمكن أن تصيب بعض هذه الفيروسات الفمَ والبلعوم. إنَّ سرطانات قاعدة اللسان والبلعوم الفموي واللوزتين والحنك الرخو لها صلة بهذا الفيروس. يزيد التعرُّضُ للشمس من خطر الإصابة بسرطان الشفة. ويمكن التخفيفُ من هذا الخطر باستخدام المُطري أو مرهم الشفة الواقي من الشمس. من عوامل الخطورة الأخرى القصَّةُ المرضية؛ فالشخصُ الذي سبق له أن أُصيب بسرطان الفم يكون معرَّضاً للإصابة به أكثر من غيره. يمكن أن يزيد النظامُ الغذائي للشخص من خطر الإصابة بسرطان الفم؛ فهناك دراساتٌ تقول إنَّ عدم تناول ما يكفي من الخضار والفواكه يزيد من خطر الإصابة بسرطان الفم. إن مضغ بذرة الفوفل قد يسبِّب سرطان الفم. وبذرةُ الفوفل هي نوع من بذور النخيل المغلَّف بورقة فوفل، تُمزج أحياناً مع البهارات والمحلِّيات والتبغ. وهي منتشرة كثيراً في آسيا. لا يعني التعرُّض لعوامل خطورة الإصابة بسرطان الفم أنَّ الشخص سيُصاب بسرطان الفم بالتأكيد. كما يمكن أيضاً أن يصابَ بسرطان الفم شخصٌ لم يتعرَّض لأيٍّ من عوامل الخطورة.
أعراض سرطان الفم
من الأعراض المنتشرة لسرطان الفم ظهورُ بُقع داخل الفم أو على الشفتين. ويحدِّد لونُ البقع مدى خباثة الورم. إن البقع البيضاء، التي تُسمَّى الطلوان، هي أكثر أشكال البقع مشاهدة، ويمكن أن تتحوَّل إلى خبيثة. أمَّا البقعُ المختلطة الحمراء والبيضاء والتي تسمَّى الطلوان الأحمر فتكون أكثرَ ميلاً إلى الخباثة. وأمَّا البقع الحمراء فهي ذات لون لامع وسطح أملس، وهي غالباً ما تتحوَّل إلى الخباثة. كما يمكن أن تظهر لدى مريض سرطان الفم الأعراض التالية أيضاً:
قرحة لا تشفى على الشفة أو في الفم.
نزف في الفم.
تخلخل في الأسنان.
صعوبة أو ألم في البلع.
ومن الأعراض الشائعة الأخرى لسرطان الفم:
صعوبة في وضع طقم الأسنان.
وجود كتلة في العنق.
ألم لا يزول في الأذن.
شعور خدر في الذقن والشفة السفلى.
هناك أمراضٌ أخرى يمكن أن تسبِّب أعراضاً مشابهة لأعراض سرطان الفم؛ فإذا ظهر أيٌّ من هذه الأعراض لديك أو لدى أحد من معارفك، فاحرص على مراجعة الطبيب لمعرفة السبب.
تشخيص سرطان الفم
إن الطريقةَ الأفضل لمعالجة سرطان الفم هي الكشف المبكِّر عنه. ومن الممكن أحياناً اكتشافُ هذا النوع من السرطانات قبل أن تعطي أيَّةَ أعراض. إذا كان لدى المريض سرطان الفم، فسوف يحاول الطبيب أن يجد ما إذا كانت الأعراضُ ناجمة عنه أم أنَّ هناك سبباً آخر. يسأل الطبيبُ عن القصَّة المرضية، ويقوم بالفحص السريري للفم والبلعوم بحثاً عن البقع البيضاء أو الحمراء، أو عن الكتل أو الأورام أو غيرها. يمكن أن يحيل الطبيبُ المريضَ إلى طبيب اختصاصي بأمراض الأذن والأنف والحنجرة إذا لم يتمكَّن من معرفة سبب الأعراض. كما يمكن أن يستخدم الطبيب الاختصاصي مرآةً صغيرة ذات ذراع طويلة أو أنبوباً مضاء لرؤية المنطقة الخلفية من الأنف واللسان والبلعوم. قد يحتاج الأمرُ إلى التصوير الطبقي المحوري للتحري عن وجود أورام غير ظاهرة. والتصويرُ الطبقي المحوري هو جهاز أشعَّة سينية موصول بحاسوب، يأخذ سلسلة من الصور المفصَّلة للأعضاء داخل الجسم. ويمكن إجراءُ تصوير بالرنين المغناطيسي لأخذ صور مفصَّلة عن مناطق داخل الجسم. ويستخدم هذا النوعُ من التصوير مغانط قوية لتصوير المناطق داخل الجسم. ويمكن أن تُكتشَف الأورام الخفية بواسطة التصوير بالرنين المغناطيسي أيضاً. كما يمكن أيضاً أخذ خزعة من الفم لتشخيص سرطان الفم. والخزعة هي استئصال خلايا أو نسيج من أجل إجراء التشريح المرضي. يدرس طبيبُ التشريح المرضي النسيجَ تحت المجهر بحثاً عن الخلايا السرطانية. وتعدُّ الخزعة هي الطريقةَ الأكيدة الوحيدة لتشخيص السرطان.
مراحل سرطان الفم
يعمل الطبيبُ على تحديد مرحلة سرطان الفم عند المريض. ويهدف تحديدُ المرحلة إلى معرفة هل انتشر السرطان أم لا، وإذا كان قد انتشر فإلى أيَّة أجزاء من الجسم. تُميَّز المراحل بترقيمها من 1 إلى 4؛ وكلَّما كان الرقم أدنى كان الورم في مرحلة أبكر. ويساعد تحديد مرحلة الورم على تحديد طريقة المعالجة. إذا انتقل سرطانُ الفم إلى العقد اللمفية، فمن الممكن أن ينتقل إلى مناطق أخرى من الجسم. ويمكن لسرطان الفم أن ينتقلَ إلى عقد لمفية بعيدة، وإلى العظام، والكبد والرئتين وغيرها من أجزاء الجسم. يمكن إجراءُ تصوير بالأشعَّة السينية لتحديد مرحلة سرطان الفم. إنَّ تصوير الفم كله بالأشعَّة السينية يمكن أن يبيِّن ما إذا كان الورم قد انتقل إلى الفك السفلي. كما يظهر تصويرُ الصدر بالأشعَّة السينية ما إذا كان الورم قد انتقل إلى هذه المنطقة. كما يمكن أيضاً إجراء التصوير الطبقي المحوري أو التصوير بالرنين المغناطيسي بحثاً عن الأورام في الفم أو البلعوم أو الرقبة أو الرئتين أو أيِّ مكان آخر في الجسم. يمكن إجراء التنظير لفحص إصابة البلعوم والرغامى والرئتين بالسرطان. وفي هذا الإجراء، يقوم الطبيب بإدخال أنبوب دقيق مُضاء عبر الفم أو الأنف. يمكن أن يُظهر التَّصوير المَقْطَعِيُّ بِالإِصدار البوزيترونيِّ ما إذا كان سرطان الفم قد انتشر إلى مناطق أخرى من الجسم. وفي هذا الاختبار، يجري حقنُ المريض بكمِّية قليلة آمنة من السكَّر المشع.
يلتقط التَّصويرُ المَقطَعِيُّ بِالإِصدار البوزيترونيِّ صوراً للأماكن من الجسم التي تلقَّفت السكَّر. وتظهر الخلايا السرطانية لامعةً، لأنَّها تستهلك السكَّر بشكل أسرع من الخلايا السليمة.
علاج سرطان الفم
يعتمد تحديدُ المعالجة بشكل أساسي على الصحَّة العامة للمريض، وعلى مكان بدء الورم في الفم أو البلعوم، وعلى حجم الورم، وما إذا كان قد انتشر أم لا. يمكن أن يُعالَج سرطانُ الفم بالجراحة أو بالمعالجة الشعاعية أو الكيميائية أو بالمعالجة بالاستهداف، أو بالجمع بين أكثر من طريقة من هذه الطرق. إنَّ الجراحةَ الهادفة إلى استئصال الورم من الفم أو البلعوم هي من الطرق الشائعة لمعالجة سرطان الفم. كما يقوم الطبيب أحياناً باستئصال العقد اللمفية في الرقبة واستئصال انسجة أخرى أيضاً. ويمكن أن تؤدِّي بعضُ الجراحات إلى صعوبات في البلع أو إلى ضعف عضلي في الفم. يستخدمُ العلاجُ الشعاعي أشعَّةً ذات طاقة عالية لقتل الخلايا السرطانية ومنعها من النموِّ والانتشار. وتصدر الأشعَّة الخارجية التي تعالج الخلايا من جهاز يُوجِّه الأشعَّةَ على منطقة محدَّدة من الجسم. يمكن استخدامُ أشعَّة داخلية لمعالجة سرطان الفم أيضاً، رغم أنَّ هذه الطريقة أقل انتشاراً. تصدر الأشعَّةُ هنا من مادَّة مشعَّة موضوعة في حبوب أو أسلاك أو أنابيب توضَع مباشرة في نسيج الفم أو البلعوم. المعالجةُ الكيميائية هي استخدام أدوية لقتل الخلايا السرطانية. وتجري المعالجةُ الكيميائية لسرطان الفم عادةً عن طريق الوريد، حيث تدخل الأدوية إلى الدم وتنتقل إلى أنحاء الجسم كلها. تستخدم المعالجةُ بالاستهداف، أو المعالجة الهدفيَّة، أدويةً ترتبط بخلايا سرطان الفم، وتعرقل نموَّ وانتشار هذه الخلايا. إن الدواء الأوَّل الذي جرت الموافقةُ عليه لمعالجة سرطان الفم بالاستهداف هو السِّيتوكسيماب. وهو يُعطى عن طريق الوريد عادة. كما قد يكون هناك تجارب سريرية على مرضى سرطان الفم أيضاً. وتقوم هذه التجارب السريرية باختبار معالجات وطرق طبِّية جديدة. يمكن أن يؤدِّي سرطانُ الفم وعلاجه إلى مشاكل صحِّية أخرى. ولذلك، من المهمِّ أن يتلقَّى المريض رعاية داعمة قبل وفي أثناء وبعد معالجة السرطان. وتهدف الرعايةُ الداعمة إلى تسكين الألم والسيطرة على الأعراض الأخرى، والتخفيف من الآثار الجانبية للمعالجة، ومساعدة المريض من الناحية النفسية. إذا أصبح لدى المريض صعوبةٌ في البلع، يمكن لاختصاصي التغذية أن يضع للمريض خطَّةً غذائية تلبِّي حاجاته الغذائية. يمكن أن يحتاج بعضُ مرضى سرطان الفم إلى جراحة تجميلية أو ترميمية لإعادة بناء العظام أو الانسجة في الفم. قد يحتاج المريضُ إلى تأهيل أيضاً. وفي التأهيل، يعلِّم اختصاصي الرعاية الصحية المريضَ كيف يدرِّب ويقوِّي العضلات في المناطق المتضرِّرة. وهذا ما يساعد المريض على استعادة القدرة على التكلُّم والأكل والمضغ. من المهم لمريض سرطان الفم أن يلتزمَ بمواعيده مع الطبيب من أجل المتابعة، فالطبيبُ يراقب أيَّةَ علامة من علامات عودة السرطان مجدَّداً.
الخلاصة
سرطانُ الفم هو السرطان الذي يصيب أيَّ جزء من جوف الفم، بما في ذلك الفم والشفتان، أو البلعوم الفموي وهو الجزءُ من البلعوم الذي يشكِّل الجدار الخلفي للفم. سرطان الفم هو نوعٌ شائع كثيراً، ولاسَّيما عند الرجال. يُصاب حوالي ستة أشخاص من بين كل 100 ألف شخص بسرطان الفم كلَّ سنة في أنحاء العالم. إن أهم سبل الوقاية من سرطان الفم هي الامتناعُ عن التدخين وعدم استهلاك منتجات التبغ وعدم تناول الكحول. كلما أمكن اكتشافُ سرطان الفم ومعالجته باكراً، كانت فرصُ نجاح المعالجة أكبر. ويمكن أن يعالج سرطان الفم بالجراحة أو بالمعالجة الشعاعية أو الكيميائية أو عن طريق المعالجة بالاستهداف أو بالجمع بين اثنتين أو أكثر من هذه المعالجات.
<<
اغلاق
|
|
|
|
|
مؤلم في عيادة طبيب الأسنان.
التخدير الموضعي
يكون بمادَّة مُخدِّرة تُحقَن في النُّسُج المحيطة بالسن، وتكون مثاليةً للسيطرة على الألم. قد يقوم الطبيبُ بدهن مكان الحقن بمادَّة مخدِّرة للتخفيف من الشعور بوخز الإبرة.
التَّخدير النِّسبِي RELATIVE ANALGESIA
يُستخدَم في هذا التَّخدير مَزيجٌ من الأُكسجين وغاز ثانِي أكسيد النِّتروجين بواسطة أقنعة أو قِطع أنفية خاصَّة. يجعل هذا الغازُ المريضَ يشعر بالرَّاحة والارتخاء. وتتميَّزُ هذه الوسيلةُ بزمن إِفاقة recovery time بَسيط، بحيث يمكن للمَريض قيادة السيَّارة والعودة إلى العمل في اليوم نفسه.
التركين الوريدي
يُستخدَمُ في هذه الطَّريقة عقارٌ مُهَدِّئ يجري حَقنُه وَريدياً إلى مجرى الدم. ويحتفظ المريضُ بقدرته على الكلام في هذه الطريقة، ولكنَّه يفقد الكثيرَ من تركيزه، وقد لا يتذكَّر معظمَ ما جرى في أثناء المعالجة. ويجري خلال هذا النوع من التهدئة قياسُ النَّبض وضغط الدم وسرعة التنفُّس بشَكلٍ مستمر، ويحتاج المريضُ إلى مُرافِق يصحبه إلى المنـزل ويبقى معه بقيَّةَ اليوم.
التركين الأنفي
يَقومُ ذلك على رشِّ شَكل مُركَّز من عقار مسكِّن في أنف المريض. ويُستخدَم هذا الإجراءُ عندَ المرضى الذين يبدون تَخوُّفاً من تلقِّي الحقنة المخدِّرة أو المرضى ذوي الاحتياجات الخاصَّة. وفي هذه الحالة، تَجري مُشاركةُ التَّهدئة الأنفيَّة مع التَّهدئة الوريديَّة للحُصول على تأثيرٍ أعمق.
التركين الفموي
يُستخدَم في هذا النَّوع عقارٌ يجري تناولُه عن طريق الفم. وكما في التَّهدئة الأنفيَّة، فمن الممكن أن تُرفقَ بتهدئة وريديَّة للحُصول على نتائج أكبر.
التخدير العام
يحتاج القليلُ من المرضى إلى هذا النوع من التَّخدير، ولا يُلجَأ إليه إلاَّ في حالة المرضى غير المتعاونين إطلاقاً مع المعالجة السنِّية بسبب الإعاقة الذهنية، أو المرضى الذين لديهم رهابٌ من المعالجة السنِّية وهم بحاجة إلى إجراءاتٍ علاجية سنِّية كثيرة. ولا يمكن إجراءُ هذا النوع من التَّخدير إلاَّ في المستشفى.
<<
اغلاق
|