|
والفيروسات، والطفيليات والفطريات.
سنتعرف من خلال المقال الآتي عن أبرز أسباب وطرق علاج الالتهاب الرئوي لدى الأطفال:
الالتهاب الرئوي لدى الأطفال
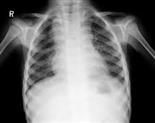
يقصد بالالتهاب الرئوي لدى الأطفال أيّ الذي يصيب النسيج الرئوي، وهو مرض يتميز بالحمى، والسعال، وضيق النفس، وتسرع التنفس، وقد تظهر الإصابة عادة على الصورة الشعاعية للصدر.
أسباب الالتهاب الرئوي لدى الأطفال
من أبرز أسباب الالتهاب الرئوي لدى الأطفال ما يأتي:
الجراثيم: كالمكورات الرئوية، والمكورات العقدية، والمكورات العنقودية.
الفيروسات: الفيروسات الغدية، والإنفلونزا.
الفطريات: الفطريات الرشاشية والكروانية.
الاستنشاق: الغبار، والأجسام الغريبة، والمواد الطعامية.
أسباب الالتهاب الرئوي لدى الأطفال الأخرى: اللولبية الشاحبة، والكلاميديا.
عوامل خطر الإصابة بالالتهاب الرئوي لدى الأطفال
إن سبب الالتهاب الرئوي هو حدوث خلل في وسائل الدفاع الرئوية وأهم أسباب هذا الخلل هي:
My Player placeholder
الإنتانات الفيروسية حيث تسبب الفيروسات تغير خصائص إفرازات الرئة الطبيعية وتثبط عملية البلعمة (Phagocytosis).
عوز المناعة، أيّ عدم القدرة على إنتاج الأضداد المناعية.
الداء الليفي الكيسي.
الاستنشاق.
التشوهات الخلقية، مثل: الناسور المريئي الرغامي، وانشقاق الحنك.
شذوذات تنظيف المخاط.
أعراض سريرية للالتهاب الرئوي لدى الأطفال
تختلف أعراض وعلامات ذات الرئة حسب شدة المرض، وعمر الطفل، والجرثوم المسبب، فالأطفال الرُضع قد لا تكون أعراضهم واضحة والأطفال الذين لديهم تثبيط مناعي تكون أعراضهم شديدة، وبصورة عامة تكون أعراض ذات الرئة الجرثومية هي:
السعال المنتج للقشع مع الحمى وتسرع التنفس وألم الصدر.
نقص في الأصوات التنفسية في منطقة الإصابة مع وجود خراخر تدل على الالتهاب.
الحمى مع تسرع التنفس وأحيانًا زرقة الشفاه، والكحة، وتسرع القلب.
مضاعفات الالتهاب الرئوي لدى الأطفال
قد تحدث بعض المضاعفات، مثل: تقيح الجنب، وخراج الرئة، وقد توجد إصابات في أماكن أخرى من الجسم، مثل: التهاب السحايا، أو التهاب الأذن الوسطى ويعتمد ذلك على نوع الجرثوم المسبب وحالة المناعة عند الطفل وعمر الطفل.
تشخيص الالتهاب الرئوي لدى الأطفال
من أبرز الفحوصات المتبعة من أجل تشخيص حالة الالتهاب الرئوي لدى الأطفال الآتي:
تعداد الكريات البيضاء الذي يكون مرتفعًا قد يدل على وجود الالتهاب.
صورة الصدر الشعاعية التي تكشف وجود ذات الرئة وتحدد نوعها، كما تحدد الصورة الشعاعية للصدر وجود انخماص رئوي (Atelectasis) أو انصباب جنبي (Pleural effusion).
ومن الجدير بالذكر أن التغيرات الشعاعية لا تتطابق دومًا مع المشاهدات السريرية.
علاج الالتهاب الرئوي لدى الأطفال
إن المبادئ العامة لمعالجة ذات الرئة الجرثومية هي:
إعطاء المضادات الحيوية فمويًا أو وريديًا حسب حالة الطفل والجرثوم المُسبب.
إعطاء السوائل بكثرة، فمويًا أو وريديًا.
إعطاء المسكنات، مثل الأسيتامينوفين.
إعطاء الأكسجين في الحالات التي تستدعي ذلك.
هل يجب علاج الالتهاب الرئوي في المستشفى؟
إن قرار القبول في المستشفى أمر يقرره الطبيب اعتمادًا على عوامل عديدة هي: عمر الطفل، وشدة الإصابة، ومدى قدرة الأهل على تقديم العناية التمريضية في المنزل، وبصورة عامة يمكن معالجة الأطفال الكبار في المنزل إذا لم تكن إصابتهم شديدة.
أما الرضع الصغار فيفضل أن يعالجوا في المشفى بسبب الحاجة لإعطاء السوائل والمضادات الحيوية عن طريق الوريد إضافة إلى ارتفاع نسبة المضاعفات عندهم.
<<
اغلاق
|
|
|
|
|
مبكرًا في السيطرة على المشكلة وتفادي العديد من المخاطر الصحية، فكيف يتم اكتشاف حساسية الصدر لدى الطفل؟
يساعد اكتشاف حساسية الصدر لدى الطفل مبكرًا في تقليل فرص تعرض الطفل لمخاطرها، في الآتي التفاصيل.
اكتشاف حساسية الصدر لدى الطفل
لا يعاني كل الأطفال من أعراض متماثلة لحساسية الصدر، حيث تختلف وفقًا لسبب الحساسية ومدى قوتها، في الآتي توضيح لكيفية اكتشاف حساسية الصدر لدى الطفل:
1. أعراض حساسية الصدر لدى الطفل
عندما يصاب الطفل بحساسية في الصدر، فسوف يعاني من أعراض عديدة تؤثر على حياته وقدرته على ممارسة الأنشطة اليومية بصورة طبيعية، وتشمل الأعراض التي تساعد في اكتشاف حساسية الصدر لدى الطفل ما يأتي:
نوبات سعال متكررة: والتي يمكن أن تحدث عند بذل مجهود حتى وإن كان بسيطًا، مثل: اللعب، أو الجري، أو أثناء الضحك، أو البكاء.
السعال المزمن: وذلك في حالة تفاقم الحالة وزيادة أعراضها.
انخفاض مستويات الطاقة لدى الطفل: يظهر ذلك من خلال عدم قدرته على اللعب وممارسة الأنشطة بشكل طبيعي.
سرعة التنفس: تزداد سرعة التنفس لدى الطفل في حالة التعرض لمصدر الحساسية.
شكوى الطفل من ضيق الصدر: وشعوره بألم شديد أثناء التنفس.
صوت الصفير أثناء التنفس: يسهل سماع صوت الصفير أثناء تنفس الطفل.
تشنجات في عضلات الرقبة والصدر: يمكن أن يصاب الطفل ببعض التشنجات العضلية في منطقة الرقبة والصدر.
الشعور بالضعف والتعب: يميل الطفل إلى الكسل والخمول نتيجة شعوره بالتعب والإرهاق.
2. طرق تشخيص حساسية الصدر لدى الطفل
تشمل أبرز الاختبارات التي تساعد في اكتشاف حساسية الصدر لدى الطفل ما يأتي:
اختبارات وظائف الرئة
عن طريق قياس التنفس حيث يشخص الأطباء الربو بنفس الاختبارات المستخدمة لتحديد المرض عند البالغين.
اختبار قياس أكسيد النيتريك في الزفير
إذا كان تشخيص الربو غير مؤكد بعد اختبارات وظائف الرئة، فقد يوصي الطبيب بقياس مستوى أكسيد النيتريك في عينة الزفير من أنفاس الطفل.
اختبارات الحساسية للربو التحسسي
إذا بدا أن طفلك يعاني من الربو بسبب الحساسية، فقد يوصي الطبيب باختبار حساسية الجلد، وأثناء اختبار الجلد يتم وخز الجلد بمستخلصات من المواد الشائعة المسببة للحساسية، مثل: وبر الحيوانات، أو العفن، أو عث الغبار، ويتم البحث عن علامات رد فعل تحسسي.
أسباب حساسية الصدر لدى الطفل
يعد العامل الوراثي هو السبب الأول لحساسية الصدر لدى الطفل، حيث تزداد فرص الإصابة بهذه المشكلة في حالة وجود تاريخ عائلي بالإصابة، ويمكن أن تتفاقم الحساسية نتيجة التعرض للمواد المهيجة مثل:
الأتربة والغبار.
دخان السجائر.
حبوب اللقاح.
المواد الكيميائية.
الحيوانات الأليفة.
طرق الوقاية من نوبات حساسية الصدر لدى الطفل
تساعد بعض الطرق في الوقاية من نوبات حساسية الصدر لدى الطفل، وتشمل:
1. تجنب مسببات الحساسية
يجب إبعاد الطفل عن مسببات الحساسية، فعلى سبيل المثال، لا ينبغي تنظيف المنزل بالمواد الكيميائية أو رش المبيدات أثناء وجود الطفل بالمنزل، ويفضل عدم قيام الطفل باللعب في الحدائق العامة التي تحتوي على الأشجار والزهور في حالة إصابته بحساسية من حبوب اللقاح.
كما يجب عدم تربية الحيوانات الأليفة في المنزل لتجنب تفاقم حساسية الصدر لدى الطفل.
2. تناول المشروبات الدافئة
يُنصح بإعطاء الطفل مشروبات الأعشاب الدافئة التي تحميه من مضاعفات الحساسية في الصدر، مثل: اليانسون والبابونج.
3. تناول الأطعمة الصحية
ينصح بالاهتمام بتغذية الطفل السليمة، ويتناول أطعمة تعزز المناعة لديه، وتقيه من أمراض الصدر والجهاز التنفسي، ومن أبرز هذه الأطعمة:
الخضروات: ينصح بإعطاء الطفل الخضروات الهامة لحمايته من الأمراض، مثل: السبانخ، والبروكلي، والفلفل، ويُفضل أن يتناول الطفل طبق السلطة الخضراء يوميًا.
الفواكه: أيضًا يجب إدراج الفواكه ضمن تغذية الطفل اليومية، مثل: التفاح، والبرتقال، والجوافة، حيث أنها تعزز صحة الجهاز المناعي وتقيه من العدوى.
الحبوب الكاملة: تساعد الحبوب الكاملة في الحفاظ على صحة الطفل وزيادة الطاقة لديه.
البروتين: يعد البروتين من أهم الأطعمة لتقوية صحة الطفل ووقايته من الأمراض، مثل: اللحوم الحمراء والدواجن، ويجب اختيار البروتين الخالي من الدهن.
الدهون الصحية: من الأطعمة الضرورية لصحة الطفل، حيث تتوفر الدهون الصحية في الأسماك الدهنية، والمكسرات، وزيت الزيتون.
العسل: عندما يتناول الطفل ملعقة من العسل يوميًا، فسوف تساعد في تعزيز الصحة والوقاية من الأمراض المختلفة، ويفضل إضافة عصير الليمون إليها.
<<
اغلاق
|
|
|
|
|
بالأطفال في هذا المقال سنطرح نتحدث عن أهم ما يجيب معرفته عنه.
التهاب الرئة عند الأطفال، وكما يشير الاسم هي التهابات تصيب الحويصلات الهوائية في رئة واحدة أو كلا الرئتين عند الأطفال.
قد تمتلىء الرئة جراء التهاب الرئة عند الأطفال بالسائل أو بالقيح مما يسبب السعال المصحوب بالصديد أو القيح أو مصحوبًا بالبلغم.
ويتميز التهاب الرئة عند الأطفال بتسبب للطفل المصاب بصعوبة التنفس، و يعود السبب التهاب الرئوي عند الأطفال للعديد من مسببات الأمراض مثل البكتيريا، الفيروسات أو الفطريات.
قد تتدرج حالة المصاب بالالتهاب الرئوي من العادية وغير خطرة إلى أن قد تصل إلى تهديد حياة المصاب.
ويجب الإشارة أنها أكثر خطورة على الأشخاص في المراحل العمرية الأولى كالأطفال والرضع و الأشخاص الذين تجاوزوا 65 سنة من أعمارهم.
أسباب إصابة الأطفال بالتهاب الرئوي
كما أشرنا بالسابق فإن التهاب الرئة عند الأطفال قد يتسبب به العديد من مسببات الأمراض كالفيروسات والبكتيريا، بعض مسببات الأمراض تنتقل عن طريق التعرض المباشر للأشخاص المصابين بها. من مسببات الأمراض هذه :
المكورات العقدية البكتيرية.
الالتهاب الرئوي الميكوبلازما، هذا النوع من مسببات الأمراض يسبب التهاب رئوي خفيف و يسمى الالتهاب الرئوي المشاء walking pneumonia.
المجموعة (ب) من المكورات العقدية.
الفيروس المخلوي التنفسي RSV، عادة ما يصيب هذا الفيروس الأطفال الذين لم يتجاوزوا 5 سنين.
فايروس البار انفلونزا Parainfluenza Virus.
فيروس الإنفلونزا أو بفيرزس
الفيروس الغدانية Adenovirus.
وقد يكون المسبب بالتهاب الرئة عند الأطفالل نوع من أنواع الفطريات.
الأطفال الأكثر عرضة للإصابة بالالتهاب الرئوي
يعد الطفل أكثر عرضة للإصابة بالتهاب الرئوي إن كان
جهازه المناعي ضعيفًا، مثل الإصابة بمرض السرطان مثلًا.
إن كان مصابًا بمشاكل صحية مزمنة، والأزمات التنفسية و التليف الكيسي.
مشاكل صحية الرئة والمجاري التنفسية.
أعراض الإصابة بالالتهاب الرئوي عند الأطفال
تختلف العلامات والأعراض اعتمادًا على العامل العمري والمسبب بالتهاب الرئة عند الأطفال، ولكنها قد تشتمل على:
سرعة في التنفس.
وجود أصوات لعملية التنفس كالصفير والشخير.
الإجهاد والمحاولة بجد لأخذ النفس، والذي قد يشتمل على التنفس من البطن استخدام العضلات الموجودة بين عظام القفص الصدري.
الحمى وارتفاع درجة الحرارة.
السعال.
انسداد مجرى الأنف.
الاهتزاز والقشعريرة.
التقيؤ.
الآم في منطقة الصدر.
الآم في منطقة البطن.
نشاط بدني قليل.
فقدان الشهية وسوء تغذية عند الأطفال، مما قد يؤدي إلى الإصابة بالجفاف.
لون الشفاه والأظافر مائل للون الأزرق في حالات متقدمة.
علاج التهاب الرئة عند الأطفال
علاج التهاب الرئة عند الأطفال يعتمد على نوع مسببات الأمراض إن كانت بكتيرية أو فيروسية.
1- التهاب الرئة عند الأطفال البكتيري
في حالة الالتهاب الرئوي الناتج عن البكتيريا، فيعطي الطبيب المختص مضادات حيوية، يمكن تناولها في المنزل عن طريق الفم، يتحسن الأطفال المصابون بالتهاب الرئوي الناتج عّن البكتيريا في غضون 48 ساعة من الوقت الذي أخذ في الدواء.
علينا الإشارة إلى أهمية أخذ الدواء حسب الوصفة الطبية حتى إذا أبدى الطفل تحسن، يستمر العلاج لمدة تتراوح بين 3 إلى 7 أيام.
وقد يستمر الطفل بالسعال إلى ترك تتراوح وقد تصل الى 3 أسابيع بعد الخضوع للعلاج، لذلك لا داعي للقلق.
2- التهاب الرئة عند الأطفال الفيروسي
الالتهاب الرئوي الفيروسي يكون حادًا مثله مثل الالتهاب الرئوي البكتيري ولكن، قد يكون مدة التعافي أطول وقد تصل إلى 4 أسابيع، ويجب أن ننوه أن الاتهاب الرئوي الناتج عن الفيروس لا يتم علاجه عن طريق أخذ مضادات حيوية.
قد يتم نقل الأطفال إلى المستشفى إن ظهرت أعراض مضاعفات الالتهاب الرئوي التالية:
صعوبة بالتنفس والحاجة الى اكسجين.
عدوى بكتيرية في الرئة قد تنتقل الى مجرى الدم.
مرض مزمن يؤدي الى التأثير على جهاز المناعة.
التقيؤ بشكل مستمر عند أخذ الأدوية عن طريق الفم.
الاستمرار بالإصابة بالالتهاب الرئوي.
احتمالية الإصابة بالسعال الديكي.
<<
اغلاق
|
|
|
|
|
من وإلى الرئتين، وعادةً ما يظهر عند الأطفال مع إمكانية ظهوره في أية عمر آخر.
تختلف آلية تطور المرض من شخص لآخر، إذ تختفي نوبات ضيق النفس بعد انتهاء مرحلة الطفولة عند معظم الأشخاص بينما تستمر عند مجموعة أخرى لفترات طويلة.
في الفترة الأخيرة كان هناك ازدياد ملحوظ في أعداد مرضى الربو، وقد يرجع ذلك إلى ازدياد العوامل المحفزة لحدوث المرض، مثل ارتفاع جودة النظافة والصرف الصحي (Sanitation)، وتقلص عدد الأولاد في العائلة.
يندر إصابة كبار العمر وفي مثل هذه الحالة لا يمكن تحديد العامل المسبب للربو، ويحتاج المريض إلى كميات كبيرة من الأدوية للسيطرة على الحالة.
أعراض الربو عند الأطفال
تشمل أعراض الربو ما يأتي:
نوبات تنفسية حادة تزداد خلال فترة الليل.
سعال شديد.
ازدياد معدل التنفس.
صعوبة في استنشاق الهواء.
ازرقاق الجسم (Cyanosis) بسبب نقص الأكسجين.
أسباب وعوامل خطر الربو عند الأطفال
يحدث الربو عند الأطفال بسبب إصابة الجهاز التنفسي ببعض أنواع الفيروسات إضافة إلى تعرض المريض لبعض المواد المسببة للحساسية (Allergen) خصوصًا أثناء فصول معينة مثل فصل الخريف والربيع.
العوامل المحفزة للإصابة بالربو
يوجد العديد من العوامل التي تزيد من خطر الإصابة بنوبات الربو، كما يأتي:
الجهد الجسدي الكبير.
التعرض للهواء البارد.
التعرض لبعض المواد المسببة للحساسية، مثل: العفن، ووبر الحيوانات، وغبار طلع الأشجار، والعشب، وبعض أنواع الأدوية.
ما هي نوبة الربو
مضاعفات الربو عند الأطفال
قد يسبب الربو عند الأطفال العديد من المضاعفات والتي تشمل ما يأتي:
التأثير على نوعية الأنشطة التي يمكن للمريض ممارستها.
انخفاض جودة النوم.
ضيق دائم في التنفس.
زيارة قسم الطوارئ بشكل متكرر في حالات حدوث نوبة حادة.
التعرض للآثار الجانبية طويلة الأمد للأدوية التي تستخدم لضمان استقرار حالة المريض.
تشخيص الربو عند الأطفال
يتم تشخيص الإصابة بالربو من خلال إجراء فحص أداء الرئتين (Spirometry) الذي يتم من خلاله معرفة كمية الأكسجين أثناء الشهيق والزفير، كما يتم إعطاء بعض الأدوية الموسعة للقصبات والتي يجب أن تحسن من حالة المريض.
في بعض الحالات يصعب تشخيص المرض عند الأطفال، خصوصًا عند وجود صفير إذ أنه يعد من الأمور الشائعة عند الأطفال بشكل عام، كما أنه يصعب إجراء فحص لأداء الرئتين للتأكد من إصابة الطفل بالمرض.
علاج الربو عند الأطفال
يمكن علاج الربو عند الأطفال من خلال ما يأتي:
مضادات الالتهاب
وتشمل الستيرويدات المستنشة والتي تقلل من الالتهاب في المنطقة وتقلل من احتمالية إصابة المريض بالنوبات الحادة، ويساعد استخدام هذا الشكل العلاجي على التقليل من الآثار الجانبية المرافقة لتعاطي الستيرويدات بالفم.
موسعات القصبات
يعمل هذا النوع من العلاج على توسيع القصبات ما يخفف من الحالة خلال ثوانٍ إلى دقائق معدودة ولمدة زمنية تتراوح بين 4-12 ساعة.
علاجات أخرى
وتشمل ما يأتي:
معدلات الليكوترينات.
العلاج المناعي.
الأدوية الحيوية.
الوقاية من الربو عند الأطفال
في الواقع لا يوجد طرق واضحة يمكن من خلالها تجنب الإصابة بمرض الربو، ولكن يمكن اتباع بعض الأمور التي تساعد على الوقاية من حدوث نوبات مثل ما يأتي:
الالتزام بتناول الأدوية الموصوفة من قبل الطبيب بالجرعات والأوقات الصحيحة.
تحديد مسببات الربو عند المريض ومحاولة تجنبها قدر الإمكان.
التنبه والاستجابة بشكل سريع عند حدوث النوبة لتجنب تفاقمها.
مراقبة التنفس بشكل مستمر.
<<
اغلاق
|
|
|
|
|
لجسم إنسان بالغ، تشمل هذه العملية نموًّا سريعًا للعظام والعضلات، وتغيرًا بشكل الجسم وحجمه، إضافة إلى اكتساب القدرة على التكاثر.
تحدث فترة البلوغ العادي بعمر 8 - 12 لدى البنات، وبين 9 - 14 لدى الأولاد، ولذلك تُعد فترة البلوغ مبكرة إذا ظهرت قبل سن الثامنة لدى البنات، أو قبل سن التاسعة لدى الأولاد.
عملية البلوغ الطبيعية
إن عملية البلوغ مركبة ومنظمة على يد الغدة تحت المهاد والغدة التناسلية النخامية (Hypothalamic pituitary gonadal axis)، تتم العملية على عدة مراحل:
تقوم الغدة تحت المهاد (Hypothalamus) بإفراز الهرمون المطلق لموجهة الغدد التناسلية (Gn - RH).
تقوم الغدة النخامية (Hypophysis) التي تقع في أسفل الدماغ بإفراز الهرمون المنبه للجريب (FSH)، وهرمون اللوتين (LH).
تؤدي هذه الهرمونات على إفراز الهرمونات الجنسية من الغدد الجنسية.
تنتج الخصيتان هرمون التيستوستيرون (Testosterone) عند الذكور، وعند النساء يفرز المبض الإستروجين (Estrogen).
تقوم الغدة الكُظرية (Adrenal gland) بإنتاج الهرمونات الجنسية كرد فعل.
تظهر التغييرات النموذجية للبلوغ بما يتناسب مع الجنس.
أعراض البلوغ المبكر
يعني البلوغ الجنسي المبكر ظهور أحد الأعراض الآتية قبل عمر البلوغ السليم:
1. أعراض البلوغ المبكر عند البنات
من أهم الأعراض التي تظهر عند الفتيات:
بدء نمو الثديين.
نزول الطمث لأول مرة.
2. أعراض البلوغ المبكر عند الأولاد
من أهم الأعراض المميزة عند الأولاد:
ازدياد حجم الخصيتين والعضو الذكري.
ظهور الشعر على الوجه، ويكون بصورة عامة فوق الشفة العليا.
الصوت أكثر خشونة.
3. أعراض البلوغ المبكر المشتركة
من الأعراض المشتركة بين الجنسين:
ظهور شعر العانة وتحت الإبطين.
النمو السريع.
ظهور حب الشباب.
رائحة جسم تُشبه رائحة الكبار، وتُعد مؤشرًا على البلوغ الجنسي.
أسباب وعوامل خطر البلوغ المبكر
هناك العديد من الأسباب والعوامل التي تُسبب البلوغ المبكر:
1. أسباب البلوغ المبكر
إن السبب المؤدي إلى البلوغ المبكر عامة غير معروف، يُمكن أن يكون منشأ البلوغ المبكر بسبب مشكلة رئيسة في المحفز المسؤول عن إفراز الهرمونات الجنسية، أو أن يكون البلوغ بسبب مشكلة جانبية تُؤدي إلى الزيادة هي في الهرمونات الجنسية من مصادر مختلفة.
العوامل الرئيسية التي تُسبب البلوغ المبكر
بالرغم من عدم وجود مسبب عضوي لحدوث البلوغ المبكر إلا أنه من الواضح وجود العوامل الآتية:
وجود ورم أو عدوى في الجهاز العصبي المركزي.
عيب خِلقي في الدماغ، مثل: الاستسقاء الدماغي (Hyderocephlus)، أو وجود ورم عيبي (Hamartoma).
التعرض للإشعاع أو إصابة مباشرة في جهاز الأعصاب المركزي.
فرط نشاط للغدة الكُظرية خِلقي المنشأ.
نقص نشاط الغدة الدرقية.
العوامل الجانبية التي تُسبب البلوغ المبكر
يكون البلوغ المبكر نادر الحدوث، وينتج بسبب إفراز الهورمونات الجنسية من مصادر مختلفة، وقد تكون العوامل:
أورام في الغدة الكُظرية أو الغدة النُّخامية التي تُفرز الهورمونات الجنسية.
التعرض لهرمونات جنسية صناعية.
متلازمة ماكون أولبرايت (McCune albright).
أورام أو أكياس في المبيضين عند النساء.
أورام في الخصيتين، تؤدي إلى إفراز الهرمونات الجنسية.
2. عوامل الخطر
تنتشر ظاهرة البلوغ المبكر أكثر في الفئات الآتية:
البنات.
أصحاب البشرة السمراء.
الأشخاص الذين يُعانون من مشكلة الوزن الزائد.
التعرض إلى الهرمونات الجنسية، مثل: الإستروجين، والبروجسترون الموجودة في المستحضرات.
مضاعفات البلوغ المبكر
من مضاعفات البلوغ المبكر ما يأتي:
يبدأ الأولاد في حالة البلوغ المبكر بالنمو المبكر، لذلك يصبحون في المراحل الأولى أطول نسبيًّا من أقرانهم، ولكن عندما يتقدمون في العمر تكون أطوالهم أقل من المعدل.
الإصابة متلازمة المبيض المتعدد الكيسات (Polycystic ovary syndrome) عند الفتيات.
تشخيص البلوغ المبكر
يقوم الطبيب بتقصي عملية البلوغ في تاريخ العائلة، وفحص سريري، ومجموعة من الفحوصات، أهمها الآتي:
تصوير بالأشعة السينية ليد وذراع الولد.
فحص معدل الهرمونات.
تصوير بالرنين المغناطيسي (MRI) للدماغ.
فحص هرمون الغدة الدرقية.
علاج البلوغ المبكر
يتم العلاج بالاعتماد على المسبب كالآتي:
1. علاج البلوغ المبكر غير معروف السبب
يُمكن علاج البلوغ المبكر المركزي عند الأولاد بصورة فعالة عن طريق العقاقير.
يشمل العلاج أخذ حقن شهرية من الهرمون المطلق لموجهة الغدد التناسلية، وهو هرمون كابح للغدة تحت المهاد مما يمنع استمرار عملية البلوغ المبكر، ويستمر العلاج حتى يبلغ الولد أو البنت عمر البلوغ المعتاد، إذا توقف العلاج ستستمر عملية البلوغ.
2. علاج البلوغ المبكر بالاعتماد على السبب
عندما يكون المسبب للبلوغ المبكر جسديًّا يتمركز العلاج بالمسبب الكامن للبلوغ المبكر، مثلًا إذا كان البلوغ ناتجًا عن ورم مفرز للهرمونات فإن إزالة الورم يؤدي إلى توقف البلوغ المبكر.
الوقاية من البلوغ المبكر
من أهم طرق الوقاية ما يأتي:
إبعاد الأولاد عن المستحضرات التي تحتوي الهرمونات الجنسية الموجودة في العقاقير والإضافات الغذائية.
الحفاظ على الوزن المعتدل.
<<
اغلاق
|
|
|
|
|
سن الخامسة، وتحدث حساسية الصدر عند الإصابة بالتهاب في القصبات الهوائية تظهر أعراضه بحدوث نوبات تهيج و تضيق في القصبات الهوائية، مما يجعلها أكثر حساسية للمؤثرات والذي يؤدي إلى صعوبة وضيق بالتنفس.
أسباب حساسية الصدر
توجد العديد من الأسباب التي قد تؤدي إلى الإصابة بحساسية الصدر عند الاطفال، و سنبين لك أهم هذه الأسباب:
يعتبر العامل الوراثي سبب رئيسي من أسباب حساسية الصدر عند الأطفال.
تلوث الهواء الذي نتنفسه.
التعرض أو استنشاق الدخان بشكل كبير.
استنشاق مواد تؤدي إلى الحساسية مثل استنشاق حبوب اللقاح، او التعرض لوبر الحيوانات.
نزلات البرد أو الانفلونزا والتهاب الجيوب الأنفية أو التهاب القصبات الهوائية.
البيئة الخارجية وعوامل الطقس، كالتعرض الشديد للبرد.
الإفراط في ممارسة التمارين الرياضية من خلال التعرض لمجهود بدني شديد يؤدي إلى الإصابة بحساسية الصدر عند الاطفال.
العلامات والأعراض
سنبين لك أهم وأبرز العلامات والأعراض، التي قد تنتج عن الإصابة بحساسية الصدر لدى الأطفال:
الكحة والتي تزيد حدتها عند الصباح الباكر أو في فترات الليل.
سماع صوت صفير عند التنفس.
الإحساس بشعور ثقل على الصدر.
الشعور بألم بالصدر.
الشعور بضيق التنفس.
المضاعفات
في الحالات الشديدة لحساسية الصدر يتطلب الذهاب الى المستشفى او الى اقرب عيادة لعلاج العلامات والاعراض التى تنتج عن حساسية الصدر لدى الأطفال، قبل ان تتحول الى مضاعفات خطيرة على صحته. أما أبرز المضاعفات التي قد تنتج عن حساسية الصدر فهي حدوث تضيق في القصبات الهوائية، والذي يؤدي الى عدم القدرة على التنفس، مما قد يؤدي الى رفع خطر الاصابة بالاختناق.
التشخيص
عادة في الأطفال الذين تبلغ أعمارهم فوق 5 سنوات، يقوم الطبيب بعمل عدة فحوصات من أهمها فحص كفاءة الرئة من خلال جهاز قياس التنفس الذي يقوم على فحص كمية الهواء التي يستطيع الطفل استنشاقها .
وعادة وكخطوة اولى في عملية التشخيص يقوم الطبيب بسماع صوت صدر الطفل، وفي حال شك بالإصابة، يطلب من الأهل فحص الحساسية وعادة ما يتم من خلال هذا الفحص تحديد السبب الذي أدى إلى الإصابة بالحساسية.
علاج حساسية الصدر
بما أن مرض حساسية الصدر مرض مزمن فلا يوجد له علاج نهائي، لكن الابتعاد عن مسببات حساسية الصدر مثل الابتعاد عن التدخين او العطور او الابتعاد عن الحيوانات الأليفة، عادة ما يساعد في التخفيف من الأعراض. وتوجد بعض الأدوية على شكل بخاخ والتي قد تخفف من الأعراض، ويوجد نوعين من البخاخات المخصصة لذلك:
البخاخ الذي يحتوي على أدوية تعمل على توسيع الشعب الهوائية، ويستخدم لفترة زمنية قصيرة ويعرف بالبخاخ المخفف لأعراض حساسية الصدر.
البخاخ الذي يحتوي على الكورتيزون، ويعمل على تقليل التهاب ممرات الهواء، وهو البخاخ المستخدم لمنع حدوث أزمة مرة اخرى.
<<
اغلاق
|
|
|
|
|
(HIV) في عام 2017. وفقاً لتحديث برنامج الأمم المتحدة المشترك المعني بفيروس نقص المناعة البشرية-الإيدز، ويظهر تقريرهم أيضاً أن هناك انخفاضاً في الإصابات الجديدة بفيروس نقص المناعة البشرية بين الأطفال بنسبة 8 ٪ منذ عام 2016. التفكير في طفل مصاب بفيروس نقص المناعة البشرية يمكن أن يكون مخيفاً. وبصفتك أحد الوالدين، قد ترغبين في معرفة المزيد عن فيروس نقص المناعة البشرية لدى الأطفال، وكيف يمكن أن يؤثر عليهم، وكيف يمكنك حماية طفلك منه، التقت سيدتي نت بالدكتور مجدي بدران عضو الجمعية المصرية للحساسية والمناعة، ليعرفنا أسباب فيروس نقص المناعة البشرية، وأعراضه، وعلاجاته، وتدابيره الوقائية.
1.ما هو فيروس نقص المناعة البشرية؟
فيروس نقص المناعة البشرية (HIV) هو فيروس يسبب حالة تسمى متلازمة نقص المناعة المكتسبة أو الإيدز. يهاجم الفيروس جهاز المناعة، وخاصة خلايا CD4. والمعروفة أيضاً باسم خلايا الدم البيضاء أو خلايا T التي تعد جزءاً مهماً من جهاز المناعة. بعد إصابة الشخص، يدمر الفيروس ببطء قدرة الجسم على مكافحة العدوى.
2.كيف يكتسب الأطفال فيروس نقص المناعة البشرية؟
يمكن للأطفال أن يصابوا بفيروس نقص المناعة البشرية من الأم المصابة، أثناء وجودهم في الرحم أو عند الرضاعة الطبيعية (من الأم إلى الطفل أو الانتقال العمودي). يمكن للفيروس أن ينتقل من خلال ما يلي:
نقل الدم، عندما يتم إعطاء دم الشخص المصاب إلى شخص سليم.
استخدام المحاقن الملوثة في المستشفيات أو للتخدير (موضح أدناه).
الاعتداء الجنسي، مثل التفاعل الجنسي القسري الذي ينطوي على الاختراق.
الجماع الجنسي غير المحمي (خاصة بين المراهقين). يمكن للشخص المصاب بفيروس نقص المناعة البشرية نقل الفيروس إلى الشريك.
خدش (خدش أو كشط للجلد لتعديل دائم للجسم مثل الوشم وثقب)، حيث يتم استخدام إبرة ملتهبة.
لاحظ أن فيروس نقص المناعة البشرية لا يمكن أن ينتشر عن طريق:
العرق.
اللعاب.
مشاركة الأواني أو الطعام أو الملابس.
لدغات الحشرات.
سيساعدك التعرف على أعراض هذه العدوى في طلب التدخل الطبي في الوقت المناسب.
3.ما هي أعراض فيروس نقص المناعة البشرية عند الأطفال؟
يمكن تصنيف أعراض فيروس نقص المناعة البشرية إلى معتدلة وشديدة وحادة، كما هو موضح في الجدول التالي.
- خفيف معتدل
- تورم الغدة النكفية (الغدة اللعابية في الجزء الأمامي من الأذنين).
- مرض القلاع الفموي لأكثر من شهرين.
- عدوى الخميرة في الجهاز الهضمي أو الرئتين.
- تضخم الغدد الليمفاوية.
- الالتهاب الرئوي: يترافق مع تورم والتهاب أنسجة الرئة
- الالتهابات البكتيرية الخطيرة مثل عدوى الدم، أو التهاب السحايا أو الالتهاب الرئوي خلال عامين.
- التهابات الأذن المتكررة أو المستمرة.
- حمى مستمرة تستمر لأكثر من شهر.
- الآفات أو الأورام الخبيثة.
- التهاب الجلد يسبب الطفح الجلدي وحكة الجلد.
- التهاب الكبد الناجم عن العدوى.
- الالتهاب الرئوي بالمكيسة الرئوية (الالتهاب الرئوي الأكثر شيوعاً مع فيروس نقص المناعة البشرية).
- التهابات الجيوب الأنفية المتكررة أو المستمرة.
- الإسهال المتكرر أو المستمر.
- اعتلال الدماغ.
- زيادة حجم الطحال والكبد (تضخم الكبد)، مما يتسبب في تورم البطن.
- جدري الماء المعقد.
- مرض كلوي.
تشمل الأعراض الأخرى التي قد تشير إلى الإصابة بفيروس نقص المناعة البشرية المحتملة:
- الاختلال الوظيفي العصبي مثل صغر الرأس (الرأس أصغر من المعتاد)، ضعف عصبي، فرط التوتر (انخفاض توتر العضلات مما يسبب جموداً في الثني والحركة)، تأخير تحقيق المعالم التنموية، أو الارتباك العقلي.
- طفح جلدي مؤلم مع بثور على الصدر والظهر.
إذا أصيب طفل مصاب بفيروس نقص المناعة البشرية بالإيدز، فقد يظهر الأعراض التالية:
- فقدان الوزن أو صعوبة اكتساب الوزن.
- طفح جلدي مستمر.
- تضخم الغدد الليمفاوية (جزء من جهاز المناعة، الذي يقوم بتصفية البكتيريا والفيروسات).
- مرض القلاع المزمن (عدوى فطرية في الفم والجلد والأظافر).
- الإسهال المزمن.
- الحمى المطولة.
- نقص الطاقة.
- مرض التهاب الحوض.
- التهابات غير عادية.
- فقدان الذاكرة على المدى القصير.
4.كيف يتم تشخيص فيروس نقص المناعة البشرية عند الأطفال؟
يتم اختبار الأجسام المضادة لفيروس نقص المناعة البشرية في الأطفال الذين تتراوح أعمارهم بين 18 شهراً وما فوق، والذين قد تظهر عليهم علامات الإصابة بفيروس نقص المناعة البشرية أو أولئك الذين يولدون لأم مصابة بفيروس نقص المناعة البشرية، عادة ما يتم الاختبار في خطوتين: فحص الممتص المناعي المرتبط بالإنزيم (EIA) يليه اختبار لطخة لتأكيد الأجسام المضادة لفيروس نقص المناعة البشرية.
يتضمن اختبار تقييم الأثر البيئي اختبار عينات الدم أو سوائل الفم التي تم جمعها من لثة وجنتَي المرضى لتحديد الأجسام المضادة لفيروس نقص المناعة البشرية. يتضمن اختبار Western Blot أيضاً اختبار الدم عن طريق فصل بروتينات الدم وتحديد البروتين الذي يشير إلى الإصابة بفيروس نقص المناعة البشرية.
يجب أن يؤدي كلا الاختبارين إلى نتائج إيجابية لتأكيد التشخيص. إذا تعرض الطفل لفيروس نقص المناعة البشرية من خلال مصادر أخرى (مثل الإبر أو الحقن المصابة، والاعتداء الجنسي) وأظهر الأعراض، ولكن نتائج الاختبار سلبية، فيجب تكرار الاختبار لاحقاً.
يجب أن يبدأ العلاج قريباً بما فيه الكفاية إذا أكد التشخيص الإصابة بفيروس نقص المناعة البشرية.
5.كيف يتم علاج فيروس نقص المناعة البشرية لدى الأطفال؟
يجب أن يتلقى الأطفال المصابون بفيروس نقص المناعة البشرية العلاج في أقرب وقت ممكن. يشمل العلاج إعطاء الأدوية المضادة للفيروسات القهقرية، والتي يمكن أن تبطئ معدل ضعف فيروس نقص المناعة البشرية في جهاز المناعة. يتوفر الدواء في شكل شراب للأطفال، رغم أنه قد لا يكون دائماً عملياً بالنظر إلى أنه يجب تناوله بكميات كبيرة، ويجب أن يتم تبريده دائماً بسبب فترة صلاحيته القصيرة.
تم العثور على أن الأدوية المضادة للفيروسات الرجعية التي تُعطَى للنساء الحوامل في وقت مبكر من الحمل والطفل عند الولادة؛ تقلل إلى حد كبير من فرصة الإصابة بفيروس نقص المناعة البشرية في الرضيع.
يمكن للأطفال الذين تقل أعمارهم عن 15 عاماً الاستفادة أيضاً من تناول مضاد حيوي يسمى co - trimoxazole، والذي يمكن أن يمنع بعض التهابات الطفولة. وقد وجد أنه يخفض معدل وفيات الأطفال المصابين بفيروس نقص المناعة البشرية بأكثر من 40٪.
6.هل يمكن للأطفال المصابين بفيروس نقص المناعة البشرية تلقي التطعيمات الروتينية؟
نعم. يمكن أن يمنع التحصين الأمراض لدى الأطفال المصابين بعدوى فيروس نقص المناعة البشرية، رغم أن استجابتهم للتطعيم قد تختلف اعتماداً على مستوى مناعة أجسامهم. توصلت منظمة الصحة العالمية بوضع معاير بالذي يمكن أو لا يمكن للأطفال المصابين بفيروس نقص المناعة البشرية بدون أعراض ،و من الأفضل استشارة طبيب الأطفال قبل المضي قدماً في أي جدول تطعيم للطفل المصاب بفيروس نقص المناعة البشرية.
7.كيفية منع فيروس نقص المناعة البشرية لدى الأطفال؟
تم القضاء على العدوى تقريباً في البلدان عالية الدخل بفضل خيارات الوقاية والاختبار والعلاج في الوقت المناسب. ومع ذلك، لا يزال الوضع قاتماً في أفريقيا جنوب الصحراء الكبرى وجنوب آسيا، فيما يلي بعض التدابير للوقاية من فيروس نقص المناعة البشرية لدى الأطفال:
- أفضل طريقة للوقاية من فيروس نقص المناعة البشرية لدى الأطفال هي منع انتقال العدوى من الأم إلى الطفل. يمكن أن تساعد إدارة الأدوية المضادة للفيروسات القهقرية في المرحلة الأولى من الحمل في الحفاظ على المناعة وتعزيز النمو والتطور وزيادة العمر الافتراضي. أيضاً، أظهر الأطفال الذين أصيبوا بالعدوى في الفترة المحيطة بالولادة وتلقوا العلاج الدوائي زيادة بنسبة 80٪ أو أعلى في معدل البقاء على قيد الحياة.
- إذا كانت الأم مصابة بفيروس نقص المناعة البشرية عندما تكون حاملاً، فإن الولادة تتم من خلال عملية قيصرية لمنع الطفل من الإصابة بالفيروس من خلال قناة الولادة.
- يجب على مثل هؤلاء الأمهات عدم إرضاع الطفل واستخدام البدائل بدلاً منه.
- إذا كان الطفل يرغب في إجراء وشم أو ثقب، فتأكدي من الاتصال باختصاصي يتبع جميع إرشادات السلامة بالمعدات المستخدمة لهذا الإجراء.
- من الناحية المثالية، يجب على الأطفال الذين تقل أعمارهم عن 18 عاماً تجنب الإصابة بالوشم، رغم أن بعض الآباء قد يرغبون في ثقب أذن الطفل أو ثقب الأنف.
- عندما يحين موعد تلقي طفلك لقاحاً أو حقناً لأي سبب، تأكدي من أن الاختصاصي الطبي يستخدم محاقن طازجة وغير مستخدمة لمنع انتقال العدوى.
<<
اغلاق
|
|
|
|
|
إلى ضغوط كثيرة؛ فهو يريد أن يكون محبوباً وأن يكون متفوقاً في مدرسته وأن يتماشى مع العائلة وأن يتخذ قرارات كبيرة. لا يكون المراهق قادراً على تجنب معظم تلك الضغوط، كما أن القلق بسبب هذه الأمور هو أمرٌ طبيعي. لكن شعور المراهق بالحزن الشديد وباليأس وبعدم القيمة يمكن أن يكون علامة إنذار تشير إلى احتمال وجود مشكلة في الصحة النفسية لدى المراهق.
إن مشاكل الصحة النفسية هي مشاكل حقيقية مؤلمة، بل هي خطيرة أحياناً. وقد يحتاج المراهق إلى مساعدة إذا كان يعاني من العلامات المذكورة أعلاه أو إذا لاحظ وجود أي مؤشر من المؤشرات التالية:
• الشعور بالغضب المتكرر أو بالقلق الشديد
• الشعور بالأسى لوقت طويل بعد خسارة إنسان أو موته
• الاعتقاد بأن أحداً ما يسيطر على عقله أو أن عقله خارج أي سيطرة
• تناول الكحول أو المخدرات
• الإفراط في ممارسة التمارين الرياضية واتباع نظام غذائي صارم
• إيذاء الآخرين أو تحطيم الممتلكات العامة
• أعمال طائشة قد تؤذي المراهق نفسه أو الآخرين
إن معالجة المشاكل النفسية التي تصيب المراهقين أمر ممكن. ومن أجل حصول المراهق على المساعدة يجب أن يتحدث المراهق عن مشاكله إلى والديه أو إلى المرشد الاجتماعي في المدرسة أو إلى الطبيب.
<<
اغلاق
|
|
|
|
|
وتنتشرُ العدوى غالباً بالتماس مع برازِ شخصِ مُصاب أو قطراتِ عُطاسِه أو سعاله. وقد يتلوَّثُ الطعامُ والماء بالفيروس إذا لم يغسلِ الناس أيديهم. لا تظهرُ أعراضٌ عند معظم الناس، وإن وُجِدَت فهي تتضمَّنُ الحُمَّى والوَهن والغثيانَ والصُّداع وأعراضاً شبيهةً بالإنفلونزا وتيبّس العنق والظهرِ وألمَ الأطراف، وقد يُصابُ بضعة مرضى بالشلل، ولا يوجد علاجٌ للشَّلل الذي يسبِّبه شَللُ الأطفال. تحدثُ لدى بعضِ المصابين بشلل الأطفال بعدَ عدةِ سنوات متلازمةُ ما بعدَ شللِ الأطفال (PPS)، وتتضمَّنُ أعراضُها التعبَ وضعفَ عضلاتٍ حديث وألمَ العضلاتِ والمفاصل. لا توجدُ طريقةٌ لمنعِ أو علاج متلازمةِ ما بعدَ شللِ الأطفال، غيرَ أنَّ لُقاحَ شللِ الأطفال قضى على شلل الأطفال في العديد من البلدان.
مقدمة
شللُ الأطفال مرض معدٍ يسبِّبُه فيروس، ويمكن أن يُحدِثَ شللاً عند قليلٍ من المصابين به، ولا يوجد علاج للشَّلل الذي يسبِّبه شَللُ الأطفال. تحدثُ لدى بعضِ المصابين بشلل الأطفال، بعدَ عدةِ سنوات، متلازمةُ ما بعدَ شللِ الأطفال (PPS)، ولا توجدُ طريقةٌ لمنعِ أو علاج متلازمةِ ما بعدَ شللِ الأطفال، غيرَ أنَّ لُقاحَ شللِ الأطفال قضى على شلل الأطفال في العديد من البلدان. تشرحُ هذه المعلوماتُ الصحية شللَ الأطفال ومتلازمةَ ما بعدَ شللِ الأطفال، وأسبابَ هذه الحالة وخياراتِ العلاج وطرقَ الوقاية.
شلل الأطفال
شللُ الأطفال مرضٌ مُعدٍ بشدَّة يسبِّبه فيروس. والفيروسُ هو شكلٌ من الأحياء المُمرضة تستطيع الدخولَ للجسم وإمراضَه. يمكنُ أن يسبِّبَ شللُ الأطفال شللاً غير عكوس خلال ساعات فقط. يغزو الفيروسُ الذي يسبِّبُ شللَ الأطفال الجهازَ العصبي، ويتضاعفُ فيه، ويدمِّر الخلايا العصبيةَ التي تتحكمُ بالعضلات. تصبح العضلاتُ المصابة بشلل الأطفال غيرَ وظيفية، وتصبحُ الأطراف رخوةً وعديمة الحياة، وتُعرفُ هذه الحالة بالشلل الرخو الحاد (AFP). لا تظهرُ الأعراضُ عند 90٪ من المصابين بفيروسِ شللِ الأطفال أو تظهرُ أعراضٌ خفيفة دون أن تُلاحَظ. وعندما توجدُ أعراض فهي تتضمَّن ما يلي:
تعب شديد.
حُمَّى.
صُداع.
تيبُّس العنق وألم الأطراف.
القيء.
الشكل الأشد من شلل الأطفال هو شلل الأطفالِ الشللي، وهو يؤدِّي إلى حالة الشّلل. يوجدُ شكلان لشللِ الأطفال الشللي:
شلل الأطفال البصلي.
شلل الأطفال النخاعي.
يُصيب شللُ الأطفال البصلي الخلايا العصبيةَ في جذع الدماغ، ممَّا يسبِّبُ صعوبةَ التنفُّس والبلع والكلام. يُصيب شللُ الأطفال النخاعي الخلايا العصبيةَ في النخاع الشوكي، ممَّا يؤدي إلى شللِ الرجلين عادةً. قد يُصابُ البعضُ بشلل الأطفال البصلي وشلل الأطفال النخاعي معاً، ويُدعى هذا الشكلُ بشللِ الأطفال البصلي النخاعي. قد يحدثُ شللُ الأطفال في أيِّ عمر، ولكنه وبشكلٍ رئيسي يصيبُ الأطفال دونَ عمر الخامسة.
متلازمة ما بعدِ شلل الأطفال
متلازمةُ ما بعدَ شللِ الأطفال حالةٌ تصيبُ بعضَ الناجين من شلل الأطفال بعدَ عدةِ سنوات من الشفاء من الهجمةِ الأولى للفيروس، وقد تحدثُ بعدَ 15 حتى 40 سنة من المرض الأصلي، ولا يزالُ سببُها مجهولاً. تتصفُ متلازمةُ ما بعدَ شللِ الأطفال باشتدادِ ضعف العضلات المُصابَة سابقاً بعدوى شللِ الأطفال، وأكثر أعراضها شيوعاً:
تناقص حجم العضلات.
تعب شديد.
ألم مفاصل.
تشوُّهات هيكليّة، كالجَنَف (ميلان العمود الفقري إلى إحدى الجهتين).
ضعف عضلات متدهوِر ببطء.
يعاني بعضُ المصابين من أعراضٍ بسيطةٍ فحسب، بينما يظهر لدى بعضهم الآخر ضعفٌ عضلي أكثر وضوحاً. ونادراً ما تكون متلازمة ما بعدَ شللِ الأطفال مهدِّدةً للحياة، لكن أعراضَها تؤثرُ بشكل ملحوظ في النشاطات اليومية للمصاب وقدرتِه على أدائِها لوحده. ومع أنَّ شللَ الأطفال معدٍ، إلا أنَّ متلازمةَ ما بعد شللِ الأطفال ليست كذلك، فهي لا تنتقل من شخصٍ لآخر، وهي لا تصيبُ إلا الذين أُصيبوا بشلل الأطفال من قبل. لا توجدُ طريقةٌ في الوقتِ الحالي لإيقافِ أو شفاءِ المشاكل التي تسببُها متلازمة ما بعد شلل الأطفال، غيرَ أنَّ بعض الدراسات أظهرَت أن التمارين البسيطة غير المُرهِقَة تحسِّنُ من قوة العضلات، وتخففُ التعبَ لدى المُصابين بمتلازمةِ ما بعدَ شلل الأطفال.
الأسباب
عندما يُصابُ شخصٌ بفيروس شلل الأطفال، يدخل الفيروسُ الجسمَ عبرَ الفم، ويتكاثر في الأمعاء. ينتشرُ الفيروسُ في البيئة عن طريقِ البرازِ، حيث يمكن لحاملي فيروس شلل الأطفال أن ينشروا العدوى من برازهم لعدَّةِ أسابيع. يمكن أن يتلوَّثَ الطعام أو الشراب بالبراز، مُسبِّباً انتشارَ الفيروس بسرعةٍ في المجتمع. ينتشرُ شللُ الأطفالِ أيضاً بالتماس المباشر بين الأشخاص، وهو معدٍ بشدّة، بحيث أن كلَّ شخص كان مؤخراً على تماسٍ مع مصاب بالعدوى يُحتمَل أن يُصابَ بها أيضاً. ينتشر شللُ الأطفالِ بشكل خاص في المناطق سيِّئة النظافة والصرف الصحِّي.
التشخيص
يسألُ مُقدّمُ الرعايَة الصحيّة المريضَ عن الأعراضِ والسوابق الطبية، وإذا كان المريضُ قد سافرَ مؤخراً، والأماكن التي سافر إليها. يُجري مُقدّم الرعايَة الصحيّة فحصاً جسدياً، ويبحث عن علامات المرض، وغالباً ما يمِّيِّزُ شللَ الأطفال من خلالِ أعراضه كصلابةِ العنق والظهر والمنعكسات غير الطبيعية. تُجمَعُ عيناتٌ من مفرزاتِ الحلقِ والبراز أو السائل الدماغي الشوكي لتأكيدِ التشخيص، وتُفحَصُ العيناتُ بحثاً عن فيروس شللِ الأطفال. ولتشخيصِ متلازمةِ ما بعدَ شلل الأطفال، يبحثُ مُقدّم الرعايَة الصحيّة عن:
إصابة سابقة بشلل الأطفال.
فترة طويلة منذ الإصابة بالمرض الأصلي، وهي غالباً 15 سنة على الأقل.
ظهور بطيء للأعراض.
تُجرَى الفحوصاتُ لاستبعاد الأسباب الأخرى للأعراض ولتشخيصِ متلازمةِ ما بعدَ شلل الأطفال، وتتضَّمنُ هذه الفحوص:
الفحوص الدمويّة.
إجراء الصور لرؤية الدماغ والنخاع الشوكي.
خزعة العضلات للبحث عن شذوذات الأعصاب.
دراسات النقلِ العصبي التي تقيسُ سرعةَ الإشاراتِ العصبية.
العِلاج
لا توجدُ معالجة شافية لشلل الأطفال، ولذلك يركزُ العلاج على التخفيفِ من الأعراض والوقاية من المُضاعفات. يتضمَّنُ علاجُ شلل الأطفال:
نظام غذائي متوازن.
ألتزام الراحة.
ممارسة التمارين المعتدلة لمنع التشوهات وخسارة وظيفة العضلات.
مسكِّنات الألم.
أجهزة التهوية المحمولة للمساعدة على التنفُّس.
تُعطى المضاداتُ الحيوية لعلاج العدوى الثانوية، لكنَّها لا تعالج شلل الأطفال. يتشابه علاجُ متلازمة ما بعد شلل الأطفال مع علاجِ شللِ الأطفال، وتساعدُ المعالجةُ الفيزيائية والمهنية ومعالجةُ مشاكل النطق على بقاء المُصابِ قادراً على الاعتماد على نفسه قدرَ الإمكان.
الوقاية
إن شللَ الأطفال لا يزالُ يصيب الأطفال والبالغين في مناطق معيَّنة من العالم، مثل:
أفغانستان.
نيجيريا.
الباكستان.
يمكن إنقاصُ انتشارِ شلل الأطفال بتحسين مرافقِ الصرف الصحي العامة وطرق النظافة الشخصية، غير أنَّ اللقاحَ هو الطريقةُ الأكثر فعاليةً في الوقايةِ من المرض. يوصى بإعطاء الأطفال أربعَ جرعات من لقاحِ شلل الأطفال في الأعمار التالية:
شهران.
4 شهور.
بين 6 و18 شهراً.
بين عمر 4 و 6 سنوات في سن دخولِ المدرسة.
لا يسبِّبُ اللقاحُ حدوثَ شلل الأطفال، وأكثر آثارِه الجانبية شيوعاً هي الألم والاحمرار مكانَ الحقن، ونادراً ما تحدثُ آثارٌ أكثر خطورة من ذلك، ويمكنُ أن يتحدثُ الأهلُ مع مقدّم الرعايةِ الصحية الذي يعالج ابنهم عن هذه المخاطر. قد تجري مشاركةُ لقاح شللِ الأطفال مع لقاحاتِ أمراضٍ أخرى، وهذا يعني عدد جرعات أقل. يُعطى لقاحُ شلل الأطفال للبالغين الذين لم يتلقُّوه من قبل، حيثُ تُعطى أولُ جرعتان بفاصل 4 إلى 8 أسابيع، وتُعطَى الجرعة الثالثة بعدَ 6 إلى 12 شهراً من الجرعةِ الثانية. لابدَّ من أخذِ الاحتياطات عندَ السفر إلى مناطقَ يرتفع فيها خطرُ الإصابةِ بشلل الأطفال، وتُعطى جرعةٌ داعمة للأشخاصِ الذين تلقُّوا اللقاحَ سابقاً. وتدوم المناعةُ بعدَ الجرعة الداعمة طوالَ الحياة.
الخُلاصة
شللُ الأطفال مرضٌ معدٍ يسبِّبُه فيروس، ويمكن أن يُحدِثَ شللاً عند بعض المصابين به، ولا يوجدُ علاج للشَّلل الذي يسبِّبه شَللُ الأطفال. يوجد فيروسُ شللِ الأطفال في حَلق المُصاب وأمعائِه، وتنتشرُ العدوى غالباً بالتماس مع برازِ شخصِ مُصاب أو قطراتِ عُطاسِه أو سعاله. وقد يتلوَّثُ الطعامُ والماء بالفيروس إذا لم يغسلِ الناس أيديهم. لا تظهرُ الأعراضُ عند 90٪ من المصابين بفيروسِ شللِ الأطفال أو تظهرُ أعراضٌ خفيفة تمرُّ دون أن تُلاحَظ. وعندما توجدُ أعراض، فهي تتضمَّن ما يلي:
تعب شديد.
حُمَّى.
صُداع.
صلابة العنق وألم الأطراف.
القيء.
تحدثُ لدى بعضِ المصابين بشلل الأطفال بعدَ عدةِ سنوات متلازمةُ ما بعدَ شللِ الأطفال (PPS)، ولا توجدُ طريقةٌ لمنعِ أو علاج متلازمةِ ما بعدَ شللِ الأطفال، غيرَ أنَّ لُقاحَ شللِ الأطفال قضى على شلل الأطفال في العديد من البلدان.
<<
اغلاق
|
|
|
|
|
الخامسةَ من العُمر أو أكثر. ومن الممكن تفسيرُ ذلك أحياناً بأنَّ مثانةَ الطفل تكون صغيرة جداً، أو بأنَّ كمِّيةَ البَول التي يُنتِجها جِسمُه في الليل تتجاوز حجمَ مثانته. كما أنَّ هناك من الأطفال من يكون نومهم عميقاً جداً، أو من يستغرقون زمناً أطول من غيرهم لتعَلُّم السيطرة على المَثانة. لكن من غير الجائز معاقبة الطفل عندما يبول في فراشِه، لأنَّه لا يفعل هذا عامداً، علماً أنَّ معظمَ الأطفال يتخَطَّون هذه المشكلةَ بعدَ أن يكبروا. وإلى أن يكبُرَ الطفل، يُمكن أن يكونَ استخدام "أجهزة إنذار التبوُّل" وأساليب "تدريب المَثانة" وبعض الأدوية أمراً مفيداً.
مقدِّمة
يستمرُّ بعضُ الأطفال أحياناً في التبوُّل في الفِراش حتَّى يبلغوا الخامسةَ من العُمر أو أكثر. ومن الممكن تفسير ذلك أحياناً بأنَّ مثانةَ الطفل تكون صغيرةً جداً، أو بأنَّ كمِّية البَول التي يُنتِجها جِسمُه في الليل تتجاوز حجمَ مثانته. لا يبول الطفلُ في فِراشه عمداً. كما أنَّ معظمَ الأطفال يتخَطَّون هذه المشكلةَ بعدَ أن يكبروا. وإلى أن يكبُر الطفلُ، يُمكن أن يكونَ استخدام "أجهزة إنذار التبوُّل" وأساليب "تدريب المَثانة" وبعض الأدوية، أمراً مفيداً. يساعد هذا البرنامجُ التثقيفي على فهم سبب تبوُّل الطفل في فِراشه. وهو يستعرض أيضاً عدداً من طرق مساعدة الطفل على تجنُّب ذلك. كما يشير البرنامجُ إلى الوقت الذي يصبح عندَه من الضروري أخذُ الطفل إلى الطبيب.
الأسباب
في معظمِ حالات التبوُّل في الفراش، يكون السبب جَسَديَّاً ولا ذَنب للطفل فيه. ويجب اعتبارُ التبوُّل في الفراش مُشكلةً طبيَّة، وليس مشكلة سُلوكيَّة. من أكثر أسباب التبوُّل في الفراش شيوعاًهي:
صِغَر حجم المَثانة.
شدَّة عمق نوم الطفل.
عدم القدرة على ضبط المثانة.
قد يكون التبوُّلُ في الفراش مشكلةً وراثية؛ ففي حالة وجود أب وأم كانا يتبوَّلان في الفراش في الطفولة، فمن الممكن أن يعاني طفلُهما من المشكلة نفسها. أمَّا إذا كان أحدُ الوالدين فقط قد مرَّ بهذه المشكلة في طفولته، فإنَّ احتمالَ معاناة الطفل منها ينخفض إلى النصف. لكن هناك من الأطفال من يبول في فراشه حتَّى إذا كان أبواه لم يعانيا من هذه المشكلة في الماضي. ومن الممكن أن يكونَ التبوُّلُ في الفراش ناجماً عن عدوى أو عن مرض عصبي. وقد يعاني الطفلُ المُصاب بمرض عَصبي من التَّبوُّل النهاري أيضاً. يحدث أحياناً أن يتوقَّفَ الطفلُ عن التبوُّل في الفراش، ثم تمرُّ عدَّةَ أشهر أو سنوات فيعود إلى التبوُّل في فِراشه من جديد. قد يكون السببُ في هذه الحالة هو مرور الطفل بمعاناة أو شدَّة عاطفية من قبيل فقدان شخص يحبُّه أو مشكلة في المدرسة أو وجود طفل جديد في الأسرة. ومن الممكن أحياناً أن يؤدِّي تدريبُ الطفل على استخدام النونيَّة (مَبولة الطفل) في وقت أبكر ممَّا يجب سبباً لعودة الطفل إلى التبوُّل في فراشه من جديد.
نصائح لتجنُّب التبوُّل في الفراش
هذه بعضُ النصائح لمساعدة الطفل على عدم التبوُّل في الفراش. يجب عدمُ إعطاء الطفل شراباً قبل النوم. كما يجب تجنُّبُ المشروبات التي تحوي الكافيين، مثل الصودا والشاي؛ فهذه المشروباتُ تزيد من سُرعة إنتاج البول في الجسم. يجب إعطاءُ الطفل مشروباً واحداً على العشاء، مع توضيح أنَّه المشروبُ الأخير له قبلَ النوم. يجب الحرصُ على ذهاب الطفل إلى المِرحاض قبلَ النوم. قد يشعر الطفلُ بالذنب لأنَّه يبول في فراشه. لذلك، يجب أن نجعلَه يفهم أنَّه ليس مُذنباً في ذلك. كما يجب أن نقدِّمَ له الدَّعمَ، وأن نُثني عليه عندما لا يبول في الفراش. من الممكن أن يستمرَّ الطفلُ في التبوُّل في فراشه رغم اتِّباع هذه النصائح كلِّها. ليست هذه النصائحُ إلاَّ نقطةَ البداية في التعامل مع المشكلة. ولابدَّ من التحلِّي بالصبر، لأنَّ معظمَ الأطفال يتمكَّنون من تجاوز الأمر بعد أن يكبروا قليلاً. كلُّ ما في الأمر هو أنَّ هناك أطفالاً يحتاجون إلى مزيد من الوقت.
متى يصبح الذهابُ إلى الطبيب ضرورياً
إذا كان عمرُ الطفل أقلَّ من خمس سنوات، فلا موجب للقلق بسبب التبوُّل في الفراش؛ فهناك من يستمرُّ في ذلك حتَّى سنِّ السابعة. لكنَّ معظمَ الأطفال يستطيعون تجاوزَ هذه المشكلة بعد أن يكبروا قليلاً. كما أنَّ مرورَ الطفل بمرحلة التبوُّل في الفراش لا يستدعي أيَّ قلق، حتَّى إذا كان عمرُه كبيراً بعضَ الشيء. إذا استمرَّ الطفلُ في التبوُّل في فِراشه بين الخامسة والسابعة من العُمر، إضافةً إلى عدم تمكُّنه من ضبط التبوُّل في النهار أحياناً، فإنَّ الذهابَ إلى الطبيب يصبح ضرورياً. وإذا كان عمرُ الطفل سبعَ سنوات أو أكثر، واستمرَّ في التبوُّل أكثر من مرتين أو ثلاث مرَّات في الأسبوع، فقد يتمكَّن الطبيب من المساعدة. يطرح الطبيبُ أسئلةً عن صحَّة الطفل وعن تفاصيل مشكلة التبوُّل. ومن المرَجَّح أن يأخذَ عيِّنةً من البول للبحث عن أيَّة علامات دالَّة على وجود العدوى. يستطيع الطبيبُ أن يتحَرَّى عن وجود ضرر في الأعصاب من خلال اختبار ردة الفعل في ساقي الطفل وقَدَميه. يكون التبوُّلُ في الفراش علامةً على مرض السُّكري أحياناً، وهو مرضٌ يُسَبِّب كثرةَ التبوُّل. أمَّا إذا كان الطفلُ مُصاباً بعدوى، فإنَّ الطبيبَ يستطيع إعطاءَه أدوية من أجل ذلك. في معظم الأحيان، يتوصَّل الطبيبُ إلى أنَّ الطفلَ سليم ومعافى. وإذا كان الطفلُ مُعافى، فإنَّ هناك عدداً من الطرق لمساعدته على التخلُّص من مشكلة التبوُّل.
المعالجة
هناك طرقٌ كثيرة لمساعدة الطفل الذي يواجه مُشكلةً في ضبط مثانته. ومن الأفضل أن يقرِّرَ الطفلُ بنفسه الوسيلةَ التي تناسبه. يمكن لتدريب المثانة أن يُعين الطفلَ على جعل مثانته تتَّسع لكمِّية أكبر من البول، بحيث يمتنع عن التبوُّل لمدَّة أطول. ويجري هذا التدريبُ بأن نُسجِّل أوقاتِ تبوُّل الطفل خلال النهار كلِّه، ثمَّ نحسب الوقتَ الفاصل بين "رحلتين" إلى المِرحاض. وبعدَ يوم أو يومين، يمكن أن نجعلَ الطفلَ يحاول الانتظارَ مدَّةَ ربع ساعة إضافية قبلَ الذهاب إلى المرحاض. إذا كان الطفلُ يذهب إلى المرحاض عادةً عندَ الساعة الثالثة والنصف بعدَ الظهر، فمن الممكن أن نجعلَه ينتظر حتَّى الرابعة إلاَّ رُبعاً؛ ثمَّ نزيد المدةَ تدريجياً وعلى نحو بطيء؛ وهذه الطريقة مخصصة للأطفال ذوي المثانة صغيرة الحجم ، وهي تساعد على توسيع المثانة بحيث تتَّسع لمزيد من البول. يجب التَّحلِّي بالصبر، لأنَّ هذا التدريبَ قد يستغرق عدَّةَ أسابيع، بل يمكن أن يمتدَّ شهوراً في بعض الأحيان. كما يُمكن أيضاً استخدامُ جهاز إنذار البول. وهو جهازٌ صغير يُوضَع في ملابس الطفل الداخلية أو في السرير. ينطلق الإنذارُ عندَ أوَّل قطرة من البول، فيصحو الطفلُ ويتوقَّف عن التبوُّل، ثمَّ ينهض ويذهب إلى المِرحاض. إنَّ الاستيقاظَ في هذه اللحظة مفيدٌ أيضاً في جعل الطفل يتعلَّم كيفيةَ الإحساس بامتلاء المثانة. وتتوفَّر أيضاً أدويةٌ لمعالجة مشكلة التبوُّل في الفراش. يعمل بعضُ هذه الأدوية على إبطاء سرعة إنتاج البول في الجسم. كما يعمل البعضُ الآخر على مساعدة المثانة على الارتخاء حتَّى تتَّسعَ لمزيد من البول. تُحقِّق هذه الأدويةُ نتائجَ جيِّدة غالباً. ويمكن سؤالُ الطبيب للحصول على مزيد من المعلومات عن الأدوية التي يمكن أن تكونَ مفيدة. من الممكن أن يعودَ الطفلُ إلى التبوُّل عندَ التوقُّف عن تناول الدواء. وإذا حدث هذا، فلابدَّ من العودة إلى تناول الدواء مدةً إضافية.
الخلاصة
يستمرُّ كثيرٌ من الأطفال في التبوُّل في الفراش حتَّى سنِّ الخامسة أو أكثر. ويتخلَّص كثيرون من هذه المشكلة عندما يكبرون قليلاً. لكنَّ ظهورَها لفترةٍ معيَّنة ليس سبباً للقلق، حتى إذا كان الطفلُ في سنٍّ أكبر. لا يتبول الطفلُ في فراشه عمداً؛ إنَّها مشكلةٌ طبيَّة وليست مشكلة سلوكية. وقد تكون علامةً على العدوى أو على مشاكل صحيَّة أخرى. قد ينزعج الطفلُ كثيراً عندما يتبوَّل في فراشه. وعلى الأهل إفهامه أنَّه ليس مُذنباً في ذلك، بل عليهم اتِّخاذ موقف داعم له. ويجب الثَّناءُ على الطفل عندما لا يبول في فراشه. أمَّا العِقابُ والتَّوبيخ فلا يفيدان شيئاً في مساعدة الطفل في التغلُّب على المُشكلة. إذا كان عمرُ الطفل سبعَ سنوات أو أكثر، وكان يتبوَّل في فِراشه أكثر من مرَّتين أو ثلاث مرَّات في الأسبوع، فقد يتمكَّن الطبيبُ من تقديم المساعدة. وتتضمَّن المعالجةُ تدريبَ المثانة واستخدام أجهزة الإنذار واستخدام الأدوية. لكنَّ معظمَ الأطفال يتجاوزون هذه الحالةَ بعدَ أن يكبروا قليلاً.
<<
اغلاق
|