|
طرق علاجها؟ وما الذي عليك معرفته عنها؟ معلومات هامة نطرحها في هذا المقال.
ملاحظة للمدقق: تم الحصول على موافقة آية مسبقاً لاستخدام مصادر المقال. فلنتعرف في ما يأتي على موت عصب السن.
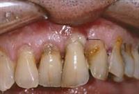
ما المقصود بموت عصب السن؟
موت عصب السن هي حالة تموت فيها الأعصاب الموجودة في داخل لب السن، مما قد يجعل السن عرضة للعديد من المشكلات الفموية، لا سيما إذا لم يخضع المريض للعلاج اللازم.
لا يتكون لب السن من أعصاب فقط، بل هو قلب السن الذي يحتوي على أعصاب وأوعية دموية وأنسجة أخرى هامة، ويلعب دورًا محوريًّا في الحفاظ على صحة السن من الداخل.
وعند إصابة اللب بخلل وتركه دون علاج، قد تتناقص الإمدادات الدموية لأعصاب اللب، ما قد يؤدي لالتهاب الأعصاب وموتها وموت اللب، لذا يطلق على حالات موت عصب السن تسميات أخرى، مثل: اللب النخري (Necrotic pulp)، والسن عديمة اللب (Pulpless tooth).
قد يؤدي موت العصب لظهور بعض الأعراض المزعجة، مثل الألم والليونة. بعد موت عصب السن وموت اللب، يصبح السن ميتًا، ومع مرور الوقت قد يسقط السن تلقائيًّا، ولكن يفضل عدم الانتظار، فإذا لم يتم تنظيف السن من الأنسجة الميتة، قد تنشأ العديد من المضاعفات.
أسباب موت عصب السن
يتواجد اللب في داخل غلاف يحميه، ولكن وإذا ما تمكنت البكتيريا من اختراق اللب، كما في حالات التسوس العميق أو حشوات الأسنان الملوثة مثلًا، عندها قد يتلوث اللب، ومتى ما تلوث اللب وما في داخله، فإنه غالبًا لن يكون قادرًا على التعافي لوحده.
عند تلوث اللب قد تتهيج أنسجته، وإن استمر التهيج مطولًا فإنه قد يؤدي لتقليص إمدادات الدم إلى السن، مما قد يسبب التهاب العصب أو موته.
عوامل الخطر
هذه أبرز العوامل التي قد ترفع من فرص الإصابة:
1. تسوس الأسنان
قد يؤدي إهمال النظافة الفموية لنشأة التسوس وخلق بيئة فموية تجعل من السهل على البكتيريا التسلل إلى داخل السن وصولًا للب.
بعد تعرضه للتلوث، قد يصاب اللب بالتهاب، ومع الوقت، قد يتفاقم الالتهاب لتنشأ حالة موت عصب السن والسن الميت.
2. تعرض السن لحادث
قد ينشأ موت عصب السن أحيانًا نتيجة التعرض لحوادث معينة، مثل الحوادث الرياضية، فعند حصول مثل هذه الحوادث قد يتضرر السن بطريقة تستدعي عناية طبية فورية، وإن لم يحصل المريض على العناية اللازمة، قد يتوقف الدم عن التدفق إلى السن، مما قد يؤدي لموت العصب.
3. عوامل أخرى
هذه بعض العوامل الأخرى التي قد ترفع من فرص الإصابة:
عمليات التحضير لتركيب تيجان الأسنان.
التعرض المتكرر لبعض الإجراءات الطبية القوية.
صك الأسنان باستمرار.
أعراض موت عصب السن
إليك أبرزها:
1. الألم
على الرغم من أن عصب السن فعليًّا ميت، إلا أن هذا لا يعني غياب الألم، فمصدر الألم بعد موت العصب ليس اللب، بل النهايات العصبية الموجودة في الطبقة المحيطة باللب، والتي قد تؤدي إصابتها بمشكلات مثل التسوس لفرض ضغط عليها قد يسبب تهيجها.
وإذا ما تسبب موت العصب بمضاعفات كالخراج، قد يترافق الألم مع أعراض أخرى، مثل: مذاق سيء في الفم، ورائحة فم كريهة.
2. تغير لون السن
يميل لون السن الميت للتغير مع الوقت، فتعرض الأوعية الدموية الموجودة في داخل السن للخلل قد يؤدي لموت خلايا الدم الحمراء، مما قد يجعل لون السن داكنًا أكثر من لونه الأصلي، أو قد يجعل السن يكتسب لونًا أصفر أو رمادي أو أسود.
موت عصب السن، هل يعني فقدان السن؟
موت عصب السن لا يعني فقدان السن، بل من الممكن للخضوع لبعض العلاجات أن يساعد على إنقاذ السن المتضرر.
فبمجرد قيام السن بشق اللثة، تصبح وظيفة عصب السن مقتصرة على الإحساس بالحرارة والبرودة، لذا فإن وجوده أو غيابه قد لا يؤثر سلبًا على وظائف السن، ولكن من الممكن لموت العصب أن يجعل السن أكثر عرضة للكسور مثلًا، كما أن عدم تلقي العلاج الملائم قد يؤدي لمضاعفات عديدة، مثل تكون الخراج السني.
علاج موت عصب السن
هذه بعض الطرق العلاجية التي من الممكن اللجوء إليها:
1. علاج قناة الجذر
خلال هذا الإجراء يتم عمل تنظيف عميق لتجويف السن لاستئصال الأنسجة الميتة من داخل السن، وعلى الرغم من أن السن الآن ميت، إلا أنه وبعد تنظيفه من الأنسجة الميتة سوف يبقى مفيدًا طالما لم يتعرض للكسر.
لكن ونظرًا لأن الأسنان الميتة تعد أكثر عرضة من الأسنان الحية للكسور،غالبًا ما يتم إتباع هذا الإجراء بعملية تركيب تاج على السن المتضرر.
2. خلع السن
إذا ما وصل السن الميت لمرحلة تجعل إنقاذه مستحيلًا، قد يقوم الطبيب بخلع السن، ليتم استبداله بعد ذلك بتركيبات سنية أو بجسور.
ما هي طبقات السن؟
يتكون السن من ثلاث طبقات مختلفة، وهي:
1. طبقة المينا (Enamel)
هي الطبقة الخارجية، وتتكون من مادة تعد الأكثر صلابة في الجسم، ولكن قد تتمكن بعض المواد من اختراقها، مثل البكتيريا والأحماض.
2. طبقة العاج (Dentin)
هي الطبقة المتوسطة التي تشكل غالبية حجم السن، وتساعد على حماية اللب من الملوثات. تحتوي هذه الطبقة على نهايات عصبية قد تساعد على تنبيهك في الحالات التي قد يخترق فيها التسوس أو أي نوع من الملوثات طبقة المينا.
3. لب السن (Pulp)
هو الجزء الداخلي من السن والذي يحتوي على الأعصاب والأوعية الدموية، ويتكون من قسمين، وهما:
قناة الجذر: هي القسم السفلي من اللب وتمتد في النصف السفلي من السن.
حجرة اللب: تتواجد في داخل المنطقة الظاهرة أعلى اللثة من السن.
<<
اغلاق
|
|
|
|
|
وهناك عدة أسباب يمكن أن تؤدي إلى انحسار اللثة، ويكون العلاج وفقًا لتشخيص الحالة لتفادي المضاعفات.
انحسار اللثة هي حالة تتراجع فيها اللثة عن سطح الأسنان لتكشف جزءًا من جذور الأسنان، وقد يكون هذا الانحسار طبيعيًا أو يؤشر بمشكلة صحية تحتاج إلى علاج لتفادي تفاقم الحالة.
تابع قراءة المقال لمعرفة المزيد من التفاصيل حول انحسار اللثة:
انحسار اللثة
تتكون اللثة من أنسجة وردية في الفم وتلتقي مع قاعدة الأسنان وتتسم بالكثافة، ولديها إمدادات جيدة من الأوعية الدموية الموجودة تحت سطح رطب يُعرف بالغشاء المخاطي، ويرتبط نسيج اللثة ببقية بطانة الفم، كما ترتبط اللثة بإحكام بعظم الفك، وتغطي كل سن حتى العنق.
عندما تكون اللثة سليمة فإنها تغطي جذور اللثة وتحميها، أما في حالة الإصابة بفقدان الأنسجة في اللثة فسوف يحدث انحسار باللثة ويؤدي هذا إلى كشف جذور الأسنان لتصبح معرضة للبكتيريا والبلاك مما قد يؤدي إلى تسوس الأسنان.
أسباب انحسار اللثة
فيما يأتي أبرز أسباب انحسار اللثة:
1. الإصابة بأمراض اللثة
في حالة الإصابة بأمراض اللثة البكتيرية فإنها تسبب تدمير أنسجة اللثة التي تدعم الأسنان في مكانها.
2. العوامل الوراثية
تزداد فرص الإصابة بأمراض اللثة لدى أشخاص أكثر من غيرهم في حالة وجود تاريخ عائلي للإصابة بالمرض.
3. تنظيف الأسنان بعنف
يقوم بعض الأشخاص باستخدام فرشاة أسنان قاسية أو فرك الأسنان بقوة أثناء تنظيفها مما يؤدي إلى تآكل مينا الأسنان وتراجع اللثة.
4. عدم الاهتمام بتنظيف الأسنان
يمكن أن يتسبب إهمال تنظيف الأسنان بالفرشاة والخيط والشطف باستخدام غسول الفم المضاد للبكتيريا في تراكم مادة الجير الصلبة على الأسنان أيضًا، ولا يمكن إزالة هذه المادة إلا بالتنظيف الاحترافي، مما يسبب تراجع اللثة.
5. التغيرات الهرمونية
قد تؤدي التقلبات في مستويات الهرمونات الأنثوية خلال فترات البلوغ والحمل وانقطاع الطمث إلى زيادة حساسية اللثة وتعرضها لمشكلات عديدة.
6. استخدام منتجات التبغ
تزداد فرص إصابة المدخنين بانحسار اللثة، حيث يتسبب التبغ في تراكم اللويحات على الأسنان والتي يصعب إزالتها ويمكن أن تسبب تراجع اللثة.
7. صرير الأسنان والضغط عليها
هي عادة خاطئة يقوم بها بعض الأشخاص ويمكن أن تؤدي إلى الضغط على الأسنان والتسبب في الانحسار.
8. عدم تساوي الأسنان
عندما تكون الأسنان ملتوية أو غير متسقة فيمكن أن تسبب ضغطًا على اللثة والعظام، مما يزيد من احتمالية الانحسار.
أعراض انحسار اللثة
يتسبب الانحسار في مجموعة من الأعراض، والتي تشمل الآتي:
وجود نزيف بعد تنظيف اللثة بالفرشاة أو الخيط.
تورم اللثة واحمرارها.
رائحة كريهة في الفم.
ألم في اللثة.
تقلص اللثة بشكل ملحوظ.
القدرة على رؤية جذور الأسنان.
خلخلة الأسنان.
المضاعفات الناشئة
يمكن أن يتسبب انحسار اللثة في تعريض الأسنان للتساقط، وذلك نتيجة عدم وجود أنسجة كافية لتثبيت جذور الأسنان في مكانها.
وقد يقوم الطبيب بإزالة بعض الأسنان التي أصيبت بالتخلخل قبل سقوطها.
العلاجات المُتاحة
تشمل الخيارات العلاجية ما يأتي:
1. الأدوية
يمكن أن يقوم الطبيب بوصف علاجات لإنقاذ أنسجة اللثة والأسنان، وتشمل:
المضادات الحيوية.
غسول الفم المضاد للميكروبات.
مثبطات الإنزيمات (Enzyme suppressants).
2. الجراحة
في الحالات المتقدمة يمكن أن يلجأ الطبيب للقيام بإجراء جراحي لمنع المزيد من التضرر، وخلال الجراحة يقوم الطبيب بتنظيف عميق للأنسجة، وذلك للتخلص من البكتيريا وتراكم الجير داخل اللثة.
ويكون إجراء الجراحة من خلال رفع اللثة ثم إعادتها مرة أخرى بعد الانتهاء من الجراحة.
طرق الوقاية من انحسار اللثة
تساعد بعض الطرق في الوقاية وتتمثل في الآتي:
تجنب الإفراط في استخدام فرشاة الأسنان: ينصح بتجنب الإفراط في فرك الأسنان بالفرشاة؛ لأنها يمكن أن تزيد فرص انحسار اللثة.
الحفاظ على نظام الفم والأسنان: يمكن أن يؤدي تراكم اللويحات والجير إلى الإصابة بأمراض اللثة واحتمالية حدوث الانحسار ولذلك ينبغي الاهتمام بنظافة الفم والأسنان.
زيارة طبيب الأسنان بشكل دوري: وخاصةً في حالة وجود أي مشكلات صحية بالأسنان تستدعي استشارة الطبيب.
<<
اغلاق
|
|
|
|
|
مع الطرق التي كانت تُتبع في الماضي.
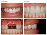
زراعة الأسنان تعرف اليوم كعلاج أبسط بكثير من ذي قبل، وذلك لأنه طريقة زراعة الأسنان قديمًا كانت معقدة، فقد كانت تتطلب الذهاب إلى المستشفيات، والانتظار طويلًا، مما كان يضطر المرضى لقضاء الكثير من الوقت في العيادة، لكن زراعة الأسنان اليوم، أصبحت علاجًا شائعًا ضمن العمليات الجمالية، فهي تتم في العديد من عيادات الأسنان خلال بضع ساعات.
طريقة زراعة الأسنان
تتم طريقة زراعة الأسنان من خلال اتباع الخطوات الآتية:
أخذ حقنة التخدير أو حبة الطمس.
بدء الطبيب بالحفر في عظمة الفك في الأماكن المعدة للزرع.
إدخال الغرسات التي تلصق بها التيجان المؤقتة داخل الثقوب الناتجة عن الحفر.
وضع التيجان النهائية عند استيعاب الغرسات في مكانها، وعندما تصبح التيجان جاهزة، يتم استدعاؤكم للعيادة لإجراء التثبيت للغرسات.
كيفية الاستعداد لزراعة الأسنان
يبدأ علاج زرع الأسنان عادةً بالآتي:
فحص شامل عند طبيب الأسنان، للتأكد من أن عملية الزرع هي الحل الأنسب.
فحص الخلفية الطبية من قبل الطبيب المختص ،وذلك إذا تقرر زرع الأسنان.
إجراء فحص التصوير بالأشعة السينية للأسنان والفكين.
إجراء فحص التصوير المقطعي المحوسب.
قيام الطبيب بأخذ قياسات للزرع.
قيام الطبيب بشرح كيفية تنفيذ عملية الزرع، وكيف يجب عليكم أن تتصرفوا في هذا اليوم؟ فإذا كنتم تعانون من الخوف الشديد من علاج الأسنان، يمكنكم استيضاح ما إذا كان بالإمكان إجراء زراعة الأسنان تحت التخدير العام، بالإضافة إلى قيامه بشرح إيجابيات وسلبيات هذا إجراء.
الهدف من زراعة الأسنان
إن زراعة الأسنان علاج يهدف إلى تصحيح الوضع الذي تكون فيه سن واحدة ناقصة أو عدة أسنان، وذلك نتيجة التعرض لضربة أو خلل أو لأي سبب آخر، حيث تُجرى عمليات زرع الأسنان في المعتاد، عندما لا تكون هناك إمكانية لإجراء علاج جذر أو تاج لإصلاح الوضع
نصائح بعد زراعة الأسنان
الجدير بالعلم أنكم ستشعرون بعد علاج زارعة الأسنان بألم، والذي سيزول في غضون يوم إلى يومين، وفي هذا الوقت يزول أيضًا التورم، كما يجب عليكم في هذه الأيام اتباع بعض النصائح التي تشمل كل من:
إجراء شطف لتطهير الفم.
أخذ المضادات الحيوية.
أخذ بضعة أيام عطلة من العمل، من أجل تسهيل عملية الشفاء.
تجنب التدخين.
أكل الأطعمة اللينة فقط.
<<
اغلاق
|
|
|
|
|
للغرس, الزرع الفوري, واستخدام الحاسوب في تركيب الأسنان.
هناك عدة طرق حديثة ومتطورة في مجال تركيب الأسنان. في حالات عدم تواجد الأسنان، يعتبر تركيب الأسنان حلا جماليا وطريقة مقبولة لإعادة تأهيل الأسنان. يمكن وضعها بين الأسنان الطبيعية دون الحاجة إلى إشراك هذه الأسنان بعملية إعادة البناء.
بينما تتطلب عملية وضع جسر الأسنان العاديّ القيام بشحذ الأسنان السليمة لتقوم بدعم الجسر؛ تتضرر الأسنان السليمة في هذه الحالة وقد يحتاج المُعالَج في المستقبل إلى الخضوع لعلاج جذر.
مراحل العلاج:
1. مرحلة الغِرسة، التي يتم فيها إدخال السن الاصطناعيّ إلى عظم الفك.
2. مرحلة البُنية، التي يتم تثبيتها لولبيا داخل الغِرسة وتخرج منها إلى فوق حد الفك.
3. مرحلة إعادة البناء (لسن واحدة أو أكثر)، التي يتم تركيبها فوق البُنية.
تشمل عملية الغرسة العملية الجراحية التي يتم من خلالها إدخال الغِرسة إلى عظم الفك. يتم بعد ذلك الانتظار لمدة 3 أشهر (في حالات الفك السفليّ)، وما يقارب الـ 6 أشهر (في حالات الفك العلويّ).
تعتبر فترة الانتظار أمرا ضروريا، إذ تُمكِّن هذه الفترة الجسم من إعادة بناء عظم الفك وعملية التضيُّق حول الغِرسة (عملية يُطلق عليها اسم التكامل العظميّ – Osteointegration).
بعد انتهاء فترة الانتظار، يكون الفكين قد غطيا الغرسة بحيث لا تُرى بتاتا في جوف الفم. في هذه المرحلة يصبح من الممكن أن نصل البُنية بها كما ويمكن البدء بعملية التحضير لإعادة البناء.
ثبات الأسنان الاصطناعية:
متانة وثبات الأسنان الاصطناعية التي يمكن فكّها تتحسّن بصورة كبيرة بواسطة الغرس. بمساعدة 2-4 غرس يتم وصل الاسنان القابلة للفك بها بمساعدة وصلات خاصة يمكن تحسين متانة وثبات الأسنان. مما يؤدي لزيادة جودة حياة المُعالج بسبب ارتفاع ثقته بنفسه وزيادة وظيفته مع الأسنان الاصطناعية بصورة ملحوظة.
تجديدات في مجال تركيب الأسنان:
الزرع الفوري:
زراعة الغرسة مباشرة بعد قلع السن. إذ يتم إدخال الغرسة في التجويف الناجم عن القلع، تحفظ الأسنان والفك المُحيطين بالسن المقتلعة دون مرورها بعملية امتصاص مُسرّعة، وبذلك لا يحتاج المُعالَج الخضوع لعملية جراحية اضافية. لا تلائم هذه الطريقة جميع الحالات، غير أن نتائجها تكون ممتازة في حال القيام بها على يد طبيب متمرس، وتكون احتمالات تقبل الجسم للغرسة شبيهة بتلك التي نراها في الزراعات العادية.
التركيب الفوريّ للغرس (Immediate function):
تعتمد إحدى طرق الزرع على عدم الانتظار لمدة 3-6 أشهر لتلقي الغرسة، لتتم بعد ذلك إعادة البناء فوقها. تسمى هذه الطريقة التي يتم من خلالها تركيب وإعادة بناء غرسة واحدة أو أكثر مباشرة أو على مقربة من موعد الزرع دون الانتظار، بالتركيب الفوري. تتم هذه الطريقة بنجاح منذ عدة سنوات. تُجرى هذه الطريقة في السنوات الأخيرة أيضا في حالات الغرسة الوحيدة التي تدعم التاج، بالإضافة لإجرائها في حالات تعدد الغرس الداعمة بإعادة البناء الثابت للفك كاملا، وليس فقط في حالات الفك السفليّ. يمكن القيام بهذه الطريقة العلاجية فقط عند استيفاء عدة شروط سريرية مُحددة، وعلى طبيب الأسنان أخذها بعين الاعتبار والتفكير فيها بصورة جدية. أفضليات هذه الطريقة واضحة: الاستغناء عن العملية الجراحية التي يتم من خلالها كشف الغرس، تقصير مدة العلاج الذي يشمل تركيب الأسنان الاصطناعية الثابتة في نفس يوم تركيب الغرس دون الحاجة لأسنان اصطناعية قابلة للفك في أي مرحلة من مراحل العلاج. تُحسّن هذه الأفضليات بصورة كبيرة من تقبل المُعالّج لفكرة خضوعه للعلاج بواسطة الغرس.
الزرع بتوجيه الحاسوب:
وهو أحد التجديدات الأكثر حداثة في مجال زراعة الأسنان. وهو عبارة عن برنامج حاسوب يقوم بتحليل صورة الـ CT لمنطقة الزرع ويمكِّن الطبيب وطاقم الزرع من التخطيط المسبق للمكان الدقيق للزرع في العظم وفقا لاعتبارات تشريحية، مثلا: كمية وشكل العظم، واعتبارات تقويمية لنوع وشكل إعادة البناء التي ستدعم في المستقبل بواسطة الغرس. في نهاية التخطيط، تنقل المعلومات لمخرطة محوسبة التي تقوم بدورها بتحضير جبيرة مع ثقوب في المكان الدقيق المخطط لثقوب الغرس في العظم.
في بعض الحالات يمكن وضع هذه الجبيرة الشخصية فوق فكيّ المُعالَج، وذلك بعد تخديره بواسطة حقنة تخدير عادية، واجراء الثقوب التي ستوضع بها الغرس من خلال الفكين. عند وجود امكانية القيام بهذه الطريقة من الزرع، لا تكون هناك حاجة لاستعمال مبضع الجراحة (scalpel) وبذلك نمتنع عن رفع الفكيّن من العظم. تقصر مدة العلاج بصورة كبيرة ويكون التعافي أسهل وأسرع دون غرز. تعبر هذه الطريقة بالتأكيد عن التوجه الأخذ بالازدياد تدريجيا في مجال الزرع ويمكن القول بالتأكيد أن المستقبل قد أصبح حاضرا في هذا المجال.
<<
اغلاق
|
|
|
|
|
شَديدًا من التهاب اللثة يحدث عندما يمتد التهاب اللثة إلى البنى التشريحية التي تعدم السن وتُثبته في موضعه.
ففي البداية، تتراكم اللويحة الجرثومية والقلح بين الأسنان واللثة ثم تنتشر إلى العظام تحت الأسنان.
يؤدي ذلك إلى انتفاخ اللثة ونزفها، وتصبح رائحة التنفُّس كريهة، وتتقلقل الأسنان.
يمكن لطبيب الأسنان إجراء صورة بالأشعَّة السِّينية وقياس عمق الجيب اللثوي لتقدير شدة التهاب النسج الداعمة.
كثيراً ما تتطلب الحالة إجراء تنظيف متخصص للأسنان في عيادة الطبيب بشكل متكرر، وأحيانًا إجراء جراحة لثوية ووصف مضادات حيوية للمريض.
يحدث التهاب النسج الداعمة للأسنان بمعدلات أكبر عند فئات من المرضى المؤهبين للإصابة به. هناك العديد من الحالات والاضطرابات التي تؤهب للإصابة بالتهاب النسج الداعمة للأسنان، بما في ذلك داء السكَّري (وخاصة السكّري من النمط الأول)، ومُتلازمة داون، وداء كرون، وتراجع أعداد الكريات البيض، والإيدز. يتميز التهاب النسج الداعمة للأسنان عند مرضى الإيدز بسرعة تقدمه وتطوره. كما يُعد كل من التدخين، ونقص الفيتامين C (داء الاسقربوط)، والاضطرابات العاطفية، وأحيانًا السمنة المفرطة من عوامل خطر التهاب النسج الداعمة للأسنان.
يمكن لالتهاب النسج الداعمة للأسنان أن يُصيب الأشخاص من جميع الفئات العمرية، بما في ذلك الأطفال الصغار. وفي الوقت ذاته، قد يعاني بعض المرضى من حالات شديدة من التهاب اللثة وقد تستمر لسنوات عديدة دون أن تتطور إلى التهاب نسج داعمة للسن. في حين يمكن لمرضى آخرين أن يُصابوا بالتهاب النسج الداعمة للأسنان دون أن يُصابوا أولًا بالتهاب في اللثة، ويحدث ذلك بشكل أكبر في الفئة العمرية بين 20 إلى 30 سنة.
يُعد التهاب النسج الداعمة للأسنان أحد الأَسبَاب الرئيسية لفقدان الأسنان عند البالغين، والسبب الرئيسي لفقدان الأسنان عند كبار السن. تؤدي العدوى إلى تآكل العظم السنخي الذي يؤوي الأسنان ويحافظ عليها في موضعها. حيث يُضعف هذا التآكل الأربطة السنية السنخية ويؤدي إلى تقلقل الأسنان. وفي نهاية المطاف قد يتطلب الأمر قلع الأسنان المتضررة أو قد تسقط من تلقاء نفسها.
أسباب التهاب النسج الداعمة للأسنان
غالبًا ما يكون التهاب النسج الداعمة للأسنان نتيجة لالتهاب اللثة والتراكم طويل الأمد للويحة الجرثومية (مادة رقيقة تتكون بشكل رئيسي من البكتيريا) والقلح (كلس متصلب) على الأسنان واللثة. تتشكل الجيوب تشكل بين الأسنان واللثة وتمتد نحو الأسفل بين جذر الأسنان والجدران العظمية المحيطة به. تتراكم اللويحة الجرثومية ضمن هذه الجيوب في وسطٍ خالٍ من الأكسجين، مما يوفر بيئة خصبة لنمو أشكال عدوانية جدًّا من البكتيريا، وخاصةً عند المرضى الذين يعانون من مشاكل مناعية. تسبب اللويحة والبكتيريا التهابًا مزمنًا يُخرِّب الأنسجة والعظام التي تُثبت الأسنان في مواضعها. وفي حال عدم علاج المرض، فسوف يؤدي الأمر إلى خسارة كبيرة في العظام، وبالتالي سوف تتقلقل الأسنان وقد تصبح مؤلمة، وتتراجع اللثة . غالبًا ما تبدأ خسارة الأسنان في أربعينيات العمر.
تتباين سرعة تطور التهاب النسج الداعمة بشكل كبير بين المرضى، حتى عند المرضى الذين توجد لديهم نفس المستويات من التراكمات القلحية. تُعزى هذه الاختلافات إلى تباين أنواع وأعداد المستعمرات البكتيرية ضمن اللويحة الجرثومية من جهة، ولأن التهاب النسج الداعمة يحدث بسبب الاستجابة النوعية التي يُبديها الجهاز المناعي للمريض تجاه تلك اللويحة. يمكن لالتهاب النسج الداعمة أن يُسبب فوعات من النشاط التخريبي تستمر لأشهر، تليها فترات من الهجوع التي لا يحدث فيها المزيد من التخريب للنسج الداعمة.
أعراض التهاب النسج الداعمة للأسنان
تشمل الأَعرَاض المبكرة لالتهاب النسج الداعمة كلاً من الألم بالجس، والتورم، والنَزف، واحمرار اللثة، بالإضافة إلى رائحة الفم الكريهة (البخر الفموي ). ومع فقدان المزيد من العظام، تتقلقل الأسنان وتتبدل مواضعها، ويُصبح المضغ عملية مؤلمة. وفي كثير من الأحيان، يؤدي التهاب النسج الداعمة إلى ميل الأسنان الأمامية نحو الخارج. لا يُسبب التهاب النسج الداعمة للأسنان عادةً أي ألم، إلا في حال تشكل عدوى، مثل تجمع القيح ضمن الجيب اللثوي (خراج لثوي)، أو تقلقل الأسنان بدرجة كبيرة بحيث تتحرك في أثناء المضغ، أو في حالة التهاب النسج الداعمة الناجم عن عدوى فيروس نقص المناعة المكتسب (الإيدز).
التهاب النسج الداعمة للسن
التهاب النسج الداعمة للسن
CNRI/SCIENCE PHOTO LIBRARY
تشخيص التهاب النسج الداعمة للأسنان
الفحص المباشر من قبل طبيب الأسنان
التصوير بالأشعَّة السِّينية في بعض الأحيان
لتشخيص التهاب النسج الداعمة، يقوم طبيب الأسنان بفحص الأسنان وقياس عمق الجيوب اللثوية باستخدام مسبار خاص. كما يقوم طبيب الأسنان بإجراء صور بالأشعَّة السِّينية لمعرفة مدى الخسارة في النسج العظمية.
علاج التهاب النسج الداعمة
علاج عوامل الخطر
تنظيف الأسنان الاختصاصي في عيادة الطبيب
قد يتطلب الأمر أحيانًا إجراء جراحة لثوية أو قلع بعض الأسنان
وصف المضادَّات الحيوية في بعض الأحيان
في حال وجود عوامل تزيد من خطر التهاب النسج الداعمة للأسنان، مثل سوء العناية الفموية، أو الإصابة بالسكّري، أو التدخين، فينبغي علاج عوامل الخطر تلك أيضًا. حيث إن علاج عوامل الخطر تلك يزيد من فرص نجاح علاج التهاب النسج الداعمة للأسنان.
وعلى عكس من التهاب اللثة الذي عادة ما يتعافى مع تحسين العناية الفموية (تفريش الأسنان بشكل يومي وتنظيف المسافات بين الأسنان بالخيط)، فإن التهاب النسج الداعمة للأسنان يتطلب علاجاً اختصاصياً عند طبيب الأسنان. يمكن للأشخاص الذين يتمتعون بصحة فموية جيدة أن ينظفوا بمقدار 2-3 ملم فقط تحت خط اللثة. في حين يمكن لطبيب الأسنان تنظيف الجيوب اللثوية التي تصل في عمقها إلى 6-7 ملم وذلك باستخدام تقنية التجريف وتسوية الجذور، والتي تزيل اللويحة الجرثومية بشكل كامل وتعالج سطوح جذور الأسنان المتضررة.
أما بالنسبة للجيوب التي يبلغ عمقها 7 مليمتر أو أكثر، فغالبًا ما يتطلب علاجها إجراء عملية جراحية. يمكن لطبيب الأسنان العام أو اختصاصي جراحة اللثة أن يقوم بهذه العملية من خلال إجراء شق جراحي يمكّنه من الوصول إلى باطن اللثة أسفل عنق السن (شريحة لثوية). يقوم الطبيب بعدها بتنظيف السن وجذره من أية تراكمات قلحية، وقد يقوم أيضًا بتشذيب وتسوية العظم تحت اللثة (قد يتطلب الأمر أحيانًا إجراء طعوم عظمية)، وبعدها يعمد الطبيب إلى إعادة الشريحة اللثوية إلى مكانها وخياطتها. كما قد يقوم الطبيب باستئصال جزء من اللثة المصابة بحيث تعود النسج اللثوية المتبقية للالتصاق بالأسنان بشكل محكم. وقد يتطلب علاج الحالة أحيانًا قلع بعض الأسنان. إذا شعر المريض بألم في الفم بعد الجراحة، فيمكن استخدام غسول فموي يحتوي على الكلورهيكسيدين والغرغرة به لمدة 1 دقيقة بمعدل مرتين في اليوم، وقد يكون ذلك بديلا مؤقَّتا عن تفريش الأسنان وتنظيفها بالخيط ريثما يتعافى القطع الجراحي.
يمكن لطبيب الأسنان وصف المضادَّات الحيوية (مثل الأموكسيسيلين أو الميترونيدازول)، وخاصة في حال تشكل خراجات لثوية. كما قد يقوم طبيب الأسنان باستخدام مواد دوائية (بشكل خيوط أو هلام) تحتوي على مضادات بكتيرية في عمق الجيوب اللثوية، مما يسمح للمادة الدوائية أن تتغلغل ضمن المنطقة المصابة. يمكن للخراجات اللثوية أن تسبب فوعات من التخريب العظمي، إلا أن العلاج الفوري بالجراحة والمضادَّات الحيوية قد يسمح باستعادة الكثير من النسج العظمية الضائعة.
<<
اغلاق
|
|
|
|
|
واستشاري زراعة الأسنان وإعادة تأهيل الفم في مدينة الملك فهد الطبية د. عدنان المغلوث، عن اكتشاف نوع جديد من الكائنات الحية الدقيقة تتركز بنسبة عالية في أمراض الفم والأسنان تسمى "بكتيريا بارفيريموناس ميكرا" (Parvimonas micra)، خاصة أمراض الأنسجة الداعمة للأسنان.
وأشار إلى أن هذه البكتيريا لديها القدرة على إضعاف قوة العلاج والتسبب في فشل الإجراء الجراحي للمريض، وذلك خلال دراسة بحثية حديثة، أجراها فريق متخصص بطب الأسنان من مدينة الملك فهد الطبية بالرياض ومستشفى جامعة جنيف بسويسرا على ثمانين مريضا جميعهم خضعوا لمراحل علاج اللثة قبل وبعد الجراحة.
وشدد المغلوث على ضرورة إجراء اختبارات إضافية لأي مريض يعاني من نفس المرض قبل العلاج، لتحديد هوية البكتيريا المصاحبة والقضاء عليها قبل مرحلة العلاج الجراحي لضمان نجاح العلاج والعملية الجراحية.
وحول طريقة العلاج قال: "يتم تطهير الفم بالكامل خلال 48 ساعة وعلاج الأنسجة الداعمة للثة والأسنان جراحيا مع استخدام نوعين من المضادات الحيوية، وهذه الطريقة هي الأحدث لعلاج هذا النوع من التقرحات والتي سبق نشرها في النشرة الدورية لمجلة علوم وأمراض اللثة 2000، ومن خلال الاختبارات المجهرية التي تم اجراؤها على المرضى أثناء وبعد العلاج تم فحص العلامات الميكروبيولوجية على المريض لتحديد نسبة التعافي بين المرضى".
وأظهرت النتائج أن الاختلاف المشار إليه في نسبة التعافي بين المرضى كان بسبب وجود هذا النوع من البكتيريا مما سبب في إضعاف قوة وفعالية العلاج.
<<
اغلاق
|
|
|
|
|
الأسنان وإعادة تأهيل الفم في مدينة الملك فهد الطبية الدكتور عدنان المغلوث، اكتشاف نوع جديد من الكائنات الحية الدقيقه تتركز بنسبة عالية في أمراض الفم والأسنان تسمى «بكتيريا بارفيريموناس ميكرا» (Parvimonas micra)، خاصة أمراض الأنسجة الداعمة للأسنان، مشيرا إلى أن هذه البكتيريا لديها القدرة على إضعاف قوة العلاج والتسبب في فشل الإجراء الجراحي للمريض، وذلك خلال دراسة بحثية حديثة، أجراها فريق متخصص بطب الأسنان من مدينة الملك فهد الطبية بالرياض ومستشفى جامعة جنيف بسويسرا على 80 مريضا، جميعهم خضعوا لمراحل علاج اللثة قبل وبعد الجراحة. وشدد المغلوث على ضرورة إجراء اختبارات إضافية لأي مريض يعاني من نفس المرض قبل العلاج، لتحديد هوية البكتيريا المصاحبة، والقضاء عليها قبل مرحلة العلاج الجراحي لضمان نجاح العلاج والعملية الجراحية، مبينا أنه سيتم تطهير الفم بالكامل خلال 48 ساعة وعلاج الأنسجة الداعمة للثة والأسنان جراحيا مع استخدام نوعين من المضادات الحيوية، وهذه الطريقة هي الأحدث لعلاج هذا النوع من التقرحات، والتي سبق نشرها في النشرة الدورية لمجلة علوم وأمراض اللثة عام 2000 ، حيث أظهرت النتائج أن الاختلاف المشار إليه في نسبة التعافي بين المرضى كان بسبب وجود هذا النوع من البكتيريا، مما سبب في إضعاف قوة وفعالية العلاج.
<<
اغلاق
|
|
|
|
|
فهد، وفقكم الله ونفع بكم الوطن.
<<
اغلاق
|
|
|
|
 26  27 في الجمعية السعودية لأمراض وجراحة اللثة يكرم المتحدث ، والرعاة كل من شركة التركي الطبية وشركة EMS.
عن: الجمعية السعودية لأمراض وجراحة اللثة
<<
اغلاق
|
|
|
|
 22  23 دانيا الجارودي بمشاركة سعادة المدير التنفيذي لمركز الأبحاث الدكتور أحمد البدر بالمدينة الطبية تكريم أفضل الأبحاث المقدمة خلال الندوة السنوية اللتي أختتمت اليوم بنجاح باهر والحمد لله للسنة الرابعة عشر.
<<
اغلاق
|
|
|
|
 18  19  20 تجارب النخبة من علماء الوطن الاستاذ الدكتور فوزان الكريع والأستاذ الدكتور أحمد باهمام، ونيابة عن كل الزملاء بلجان المؤتمر، نتقدم لهم بالشكر والعرفان.
<<
اغلاق
|
|
|
|
 15  16 بعقد ندوة رائعه من متحدثين رائعين ، تنظيم جميل وبداية موفقه, شكرا للمجهودات الرائعه دكتور عاصم الصويان ودكتور عدنان المغلوث ود. مها باهمام وجميع أعضاء مجلس الاداره.
عن: د. بسمة المغلوث
<<
اغلاق
|
|
|
|
 9  10  11 مركز بحثي لجائزة وزارة الصحة للريادة البحثية.
عن: التجمع الصحي الثاني بالمنطقة الوسطى
<<
اغلاق
|
|
|
|
|
لأكثر من عشر سنوات":
- أفضل مركز بحثي: مركز أبحاث مدينة الملك فهد الطبية بالرياض
- الباحثون الذين تمتد خبراتهم لأكثر من عشر سنوات: أ. د. زياد أحمد ميمش
عن: وزارة الصحة السعودية
<<
اغلاق
|
|
|
|
 5  6 من أ.د. فاتن عورتاني و د. حمد الزومان خلال اللقاء العلمي للجمعية السعودية لأمراض وجراحة اللثة بمدينة الرياض.
<<
اغلاق
|
|
|
|
|
مهارات مقدمي الرعاية الصحية في المجال البحثي.
<<
اغلاق
|
|
|
|
|
واستشاري زراعة الأسنان وإعادة تأهيل الفم في مدينة الملك فهد الطبية د. عدنان المغلوث، عن اكتشاف نوع جديد من الكائنات الحية الدقيقة تتركز بنسبة عالية في أمراض الفم والأسنان تسمى "بكتيريا بارفيريموناس ميكرا" (Parvimonas micra)، خاصة أمراض الأنسجة الداعمة للأسنان.
وأشار إلى أن هذه البكتيريا لديها القدرة على إضعاف قوة العلاج والتسبب في فشل الإجراء الجراحي للمريض، وذلك خلال دراسة بحثية حديثة، أجراها فريق متخصص بطب الأسنان من مدينة الملك فهد الطبية بالرياض ومستشفى جامعة جنيف بسويسرا على ثمانين مريضا جميعهم خضعوا لمراحل علاج اللثة قبل وبعد الجراحة.
وشدد المغلوث على ضرورة إجراء اختبارات إضافية لأي مريض يعاني من نفس المرض قبل العلاج، لتحديد هوية البكتيريا المصاحبة والقضاء عليها قبل مرحلة العلاج الجراحي لضمان نجاح العلاج والعملية الجراحية.
وحول طريقة العلاج قال: "يتم تطهير الفم بالكامل خلال 48 ساعة وعلاج الأنسجة الداعمة للثة والأسنان جراحيا مع استخدام نوعين من المضادات الحيوية، وهذه الطريقة هي الأحدث لعلاج هذا النوع من التقرحات والتي سبق نشرها في النشرة الدورية لمجلة علوم وأمراض اللثة 2000، ومن خلال الاختبارات المجهرية التي تم اجراؤها على المرضى أثناء وبعد العلاج تم فحص العلامات الميكروبيولوجية على المريض لتحديد نسبة التعافي بين المرضى".
وأظهرت النتائج أن الاختلاف المشار إليه في نسبة التعافي بين المرضى كان بسبب وجود هذا النوع من البكتيريا مما سبب في إضعاف قوة وفعالية العلاج.
<<
اغلاق
|
|
|
|
|
الأسنان، عن طريق استبدال الأسنان التالفة أو المعطوبة، أو لتعويض الأسنان المفقودة، وذلك نتيجة لأمراض تتسبب في تلف الأسنان المتقدم.
قد ينجم تلف وعطب الأسنان عن الإصابة بعدوى جرثومية مزمنة، في الأنسجة المحيطة بالسن (المسؤولة عن توفير الدعم للسن)، أولاً عن طريق تكون لويحة جرثومية على الأسنان، ولاحقاً عن طريق التسبب بحدوث إلتهاب بالأنسجة المحيطة.
يتم تثبيت الزرعات في الفك، وتستخدم لخلق قاعدة قوية لبناء هيكل فوق السن عن طريق وضع تاج، أو مبنى بديل آخر للسن من أجل إعادة بناء تجويف الفم.
يفضل في بعض الأحيان زراعة الاسنان الثابتة بدل القيام بعلاجات أخرى للإصلاح وإعادة البناء مثل الجسر أو علاج جذر العصب، التي تسبب إزعاجاً كبيراً للمريض والتي لا تكون ناجحة دائماً. ومن ناحية اخرى، فإن علاج زراعة الأسنان ليس بالعلاج السهل، كما أنه مكلف، ويسبب الشعور بالكثير من الألم وعدم الراحة. الميزة الرئيسية للعلاج هو أنه يوفر بديلا دائماَ وجيداَ للأسنان لسنوات عديدة.
التحضير لجراحة زراعة الاسنان:
تتم معظم عمليات زراعة الأسنان تحت تأثير التخدير الموضعي فقط، على الرغم من أنه يمكن أيضا أن يتم إجراء زرع الأسنان تحت تأثير التخدير العام.
قبل زراعة الأسنان ، يُطلب من المريض إجراء فحص تصوير للأسنان، وعادة يًطلب إجراء صورة خاصة (صورة أشعة بانوراما للأسنان) أو حتى فحص التصوير المقطعي المحوسب (CT)، للكشف والتشخيص عن حالات الأسنان التي ليس بالإمكان رؤيتها من خلال الفحص الإعتيادي.
لدى الاشخاص الذين يتمتعون بصحة جيدة لا توجد حاجة للقيام بتحضيرات خاصة. بينما الأشخاص الذين يكونون عُرضة للإصابة بإلتهاب الشغاف (Endocarditis)، كالأشخاص ذوي الصمامات الاصطناعية، منقوصي المناعة (Immunocompromised) وغيرهم، يجب عليهم إعلام الجراح بذلك، من أجل تلقي مضادات حيوية قبل إجراء زراعة الأسنان.
يُطلب من الأشخاص الذين يعانون من إضطرابات في تخثر الدم، إجراء فحوصات لوظائف تخثر الدم قبل العملية، لأنهم أكثر عُرضة للإصابة بنزيف.
إضافة إلى ذلك، من أجل الحصول على أفضل النتائج من الناحية التجميلية، عادة يلزم القيام بسلسلة من الاختبارات الأولية، لإنشاء مبنى سن ذو لون ملمس مشابه قدر الإمكان للأسنان الأصلية.
في الحالات التي تكون فيها أنسجة عظم الفك غير مناسبة لتقبل الغرسات، يجب القيام بعلاجات مسبقة لعدة أشهر قبل زراعة الأسنان لإنشاء منطقة مناسبة في الانسجة لتلقي الغرس (تركيب العظام).
مجرى عملية زراعة الاسنان:
يتم إجراء جراحة الأسنان في العيادة تحت ظروف معقمة، من قبل طبيب أسنان متخصص في زراعة الأسنان و / أو جراحة الفم والفك. يتم تخدير المريض بواسطة حقنه بمخدر موضعي في منطقة دواعم السن، كما هو الحال في علاجات الأسنان العادية (في بعض الأحيان هناك حاجة بتوسيع نطاق التخدير، وفقاً لموقع الغرسات).
إذا كان العظم على استعداد لتلقي الزرع (أحياناً بعد سلسلة علاجات مسبقة)، يمكن البدء بعملية زرع الأسنان. يتم تثبيت المسامير المعدنية اللولبيه براغي، بعظم الفك.
في سلسلة أخرى من العلاجات بعد فترة من إدخال البراغي، تبدأ عمليات إعادة البناء عن طريق أخذ القياسات وإنشاء التاج / الجسر. عندما يدور الحديث عن فترة الانتظار بين تركيب الغرسات وبين تنفيذ الاستبناء النهائي، فإن هنالك أكثر من نهج واحد. النهج المتبع غالباً هو الإنتظار لمدة 6 أسابيع على الأقل حتى تلتئم الأنسجة، وأحياناً تصل فترة الإنتظار لعدة شهور.
مخاطر عملية زراعة الاسنان:
المخاطر العامة للجراحة:
عدوى في الشق الجراحي – تكون عادةً سطحيةً ويتم علاجها بشكل موضعي، في بعض الحالات النادرة قد تظهر عدوى أكثر خطورة والتي قد تصل إلى مجرى الدم مسببة حدوث الإنتان (Sepsis)، وقد تصل العدوى إلى صمامات القلب مؤدية لحدوث إلتهاب الشغاف (Endocarditis) وغيرها، ونادرا ما يتطلب الأمر إعادة فتح الشق الجراحي في دواعم السن لإزالة البقايا الجرثومية.
النزيف - خاصة في منطقة العملية نتيجة لتعرض الأنسجة للرضح. يمكن أن يحدث النزيف فورا بعد الجراحة، وقد يحدث بعد 24 ساعة من الجراحة وفي حالات نادرة بعد أسابيع أو أشهر. يحدث النزيف نتيجة تمزق ونزف أحد الأوعية الدموية في دواعم السن. إذا كان النزيف شديداً، الأمر الذي يعتبر نادراً، يجب القيام بنزحه.
يحدث النزيف عندما تنفتح الأوعية الدموية الصغيرة في اللثة وتنزف. في الحالات التي يشتد فيها النزيف هناك حاجة بالتصريف لكن هذا نادر جداَ.
مخاطر التخدير – عادة تكون الأعراض مرتبطة بفرط التحسس تجاه أدوية التخدير (إستجابة أرجية). في بعض الحالات النادرة، قد يظهر رد فعل خطير يتمثل بهبوط شديد في ضغط الدم (صدمة تأقية - Anaphylactic shock).
مخاطر خاصة بجراحة زرع الأسنان :
إلحاق الضرر بالعصب – مما قد يسبب فقدان الإحساس / خدر في الفم أو تضرر حاسة التذوق. نادر الحدوث ويكون مؤقتاً في معظم الحالات.
الحساسية تجاه الحرارة / البرودة في تجويف الفم – غالباً ما يختفي بعد وضع المبنى.
العناية اليومية في الفم والاسنان- الجزء الاول
العناية اليومية في الفم والاسنان- الجزء الاول
كيف نعتني باسنانا يومياً؟ وما هي القواعد الاساسية للحفاظ على صحة اسناننا؟ شاهدوا الجزء الاول في الفيديو التالي:
العلاج بعد الجراحة:
لا داعي لأن يبقى المريض تحت المراقبة بعد عملية زراعة الأسنان . يجب عليه أن يتجنب الأكل أو الشرب لمدة ساعتين بعد الجراحة، حتى ينتهي تأثير التخدير. قد يشعر بألم في المنطقة، وخصوصا في اليوم الأول بعد زرع الغرسات المعدنية، ويمكن استخدام المسكنات حسب الحاجة. قد تنتفخ منطقة دواعم السن لعدة أيام.
من أجل الحصول على النتائج الأفضل بعد زرع الأسنان، يجب العناية بالأسنان وتنظيف الفم بشكل منتظم، بما في ذلك تنظيف الأسنان بواسطة فرشاة ناعمة (لمنع إصابة دواعم السن) والتنظيف بواسطة معدات خاصة. إذا كان هناك ارتفاع في درجة الحرارة، ألم شديد، نزيف أو إفرازات موضعية من الفم، يجب التوجه للطبيب فوراً.
<<
اغلاق
|
|
|
|
|
من قسم طب الأسنان على جائزة آرنست ميترال من جامعة جنيف وذلك عن رسالته المتخصصة في العلاجات الأولية لأمراض اللثه . هذا وقد شارك سعادة الأستاذ صلاح المريقب القنصل العام في جنيف في حفل توزيع جوائز كلية الطب في جامعة جنيف للفصل الحالي .
<<
اغلاق
|
|
|
|
|
الشريفين لدى سويسرا ولختنشتاين حازم بن محمد كركتلي في الحفل الذي أقامته جامعة جنيف السويسرية بمقرها في جنيف يوم الاثنين وتم خلاله مناقشة رسالة الدكتوراه في مجال طب الاسنان المقدمة من الطبيب السعودي عدنان بن علي المغلوث، واجتيازه للمناقشة بنجاح حيث تم بعدها منحه درجة الدكتوراه. وقد هنأ السفير الطبيب المغلوث على هذا الإنجاز الذي يضاف إلى إنجازات أبناء هذا الوطن الغالي والذي لم يأت من فراغ بل نتيجة الدعم اللامحدود الذي تقدمه حكومتنا الرشيدة بقيادة خادم الحرمين الشريفين وسمو ولي عهده الأمين وسمو النائب الثاني، الدعم الذي شمل كافة قطاعات الدولة الخاصة بالمواطنين وامنهم ورفاهيتهم وصحتهم وتعليمهم وغير ذلك. كما أعرب السفير كركتلي للدكتور المغلوث عن سعادته وفخره بحصوله على هذه الشهادة العليا من إحدى أرقى جامعات العالم، وانضمامه الى باقي اخوانه واخواته من أبناء الوطن الغالي عند عودته الى المملكة ليساهموا جميعاً في مسيرة النماء والبناء والتقدم الذي تشهده بلادنا في هذا العهد الزاهر المبارك في ظل قيادتنا الرشيدة.
كما اجتمع السفير كركتلي مع فريق الأطباء والأساتذة الذين قاموا بمناقشة الرسالة والذين يمثلون جامعتي زيورخ وجنيف وشكرهم على جهودهم وجهود جامعاتهم وتعاونها مع أبنائنا الطلاب، وبدورهم أعرب الفريق عن تقديرهم لحصول الأطباء السعوديون على هذه الدرجات العلمية العالية، كما شكروا السفير على اهتمامه ومشاركته في هذا الحفل.
ومن جهة ثانية اجتمع السفير بعد الحفل مع عدد من الأطباء والطبيبات السعوديين الذين يدرسون في جامعة جنيف مستعرضاً احوالهم الدراسية والمعيشية واستمع الى ملاحظاتهم معرباً لهم عن سعادته بلقائهم حيث نقل لهم تحيات القيادة الرشيدة كما نقل لهم تحيات سمو وزير الخارجية وتمنياتهم لهم بالنجاح والتوفيق، وابدى لهم السفير استعداده شخصياً وكافة أعضاء السفارة لتقديم أي مساعدة يحتاجونها باعتبار أن السفارة ماهي إلا بيت كُل سعودي وأن أولويات سعادته وأعضاء السفارة هي الاهتمام بالمواطن وتقديم الدعم اللازم له انطلاقا من شعورنا بواجبنا الوطني وتوجيهات ولاة أمر هذه البلاد المباركة وعلى رأسهم خادم الحرمين الشريفين وسمو ولي عهده الأمين وسمو النائب الثاني ومتابعة وحرص من سمو وزير الخارجية يحفظهم الله جميعاً. وقد أعرب الطلاب للسفير عن شكرهم لاهتمامه بلقائهم وتفقد احوالهم وتواصله الدائم معهم الامر الذي يخفف عليهم كثيراً من وطأة الغربة، ودعا الجميع الله أن يحفظ بلادنا من كل مكروه ويديم عليها نعمة الامن والأمان والرخاء والاستقرار، ويديم رايتها مرفوعة شامخة في ظل قيادتها المخلصة.
<<
اغلاق
|
|
|
|
|
عدنان المغلوث من قسم طب الأسنان، اليوم الاثنين 4 شعبان 1435 هـ الموافق 2 يونيو 2014م، والذي تم منحه جائزة (آرنست ميترال) عن رسالته في درجة الدكتوراه والتي كانت بعنوان (الأثار المنهجية للعلاجات الأولية لأمراض اللثة سواء باستخدام المضادات الحيوية المساعدة أم بدونها).
من ناحية أخرى شارك سعادة الأستاذ صلاح بن عبدالله المريقب القنصل العام بجنيف في حفل توزيع جوائز كلية الطب بجامعة جنيف لعام 2014م.
<<
اغلاق
|